عفونت ایمپلنت دندان، یکی از مسائل مهمی است که ذهن افرادی را که اقدام به ایمپلنت دندان کرده اند به خود مشغول کرده است. اگر شما نیز قصد ایمپلنت دارید یا به تازگی این روش را اجرا کرده اید، ضرورت دارد که اطلاعات کاملی درباره عفونت ایمپلنت دندان داشته باشید تا در صورت ظهور هرگونه علامت مشکوک به عفونت، به دندانپزشک متخصص مراجعه کنید.
در این مقاله از دنیای دندان به طور دقیق به علائم، روش های درمان و پیشگیری، عوارض ناشی از عدم درمان به موقع عفونت ایمپلنت دندان و دیگر مسائل مرتبط پرداخته ایم. هدف ما این است که تا انتهای این مقاله، شما با تمام نشانه های عفونت ایمپلنت دندان آشنا شوید و در صورت بروز علائم مشکوک، به سرعت آن را تشخیص داده و برای درمان اقدام نمایید.
عفونت ایمپلنت دندان چیست؟
ایمپلنت دندان از جمله خدمات محبوب در زمینه دندانپزشکی است. افرادی که یک یا چند دندان خود را از دست داده اند، با استفاده از کاشت ایمپلنت می توانند فضای خالی را جایگزین کنند. این روش علاوه بر پیچیدگی و زمان بر بودن، هزینه های قابل توجهی را نیز به همراه دارد. هزینه ایمپلنت دندان، به خصوص در برخی از برندهای معتبر، ممکن است به میزان زیادی افزایش یابد. اما باید به این نکته توجه داشت که حتی با استفاده از برندهای برتر، خطر عفونت ایمپلنت دندان همچنان وجود دارد.
گاهی اوقات، ایمپلنت ها ممکن است دچار عفونت شده و علائم خاصی ایجاد کنند. عفونت می تواند منجر به التهاب بافت نرم شده و حتی باعث از بین رفتن استخوان های اطراف آن شود. در اکثر موارد، پدیده ای به نام “پری ایمپلنت” مسئول ایجاد این مشکل می شود. این التهاب به شکلی مشابه با ورم لثه عمل کرده و تاثیرات خود را بر روی استخوان و بافت لثه نشان می دهد.

علت عفونت ایمپلنت دندان
عفونت در ایمپلنت دندان ممکن است از راه های مختلف به وجود آید، اما مهمترین عوامل این مشکل به اشتباهات در عادات روزمره، بیماری های زمینه ای پیشین، ضعف استخوان های فک و خطاهای پزشکی مرتبط می شود.
دلیل اصلی ایجاد عفونت در ایمپلنت، حضور باکتری است. اگر پس از انجام ایمپلنت، بهداشت دهان و دندان به خوبی حفظ نشود، باکتری ها در دهان، به ویژه در اطراف پیچ های ایمپلنت، تجمع پیدا کرده و باعث ایجاد بیماری های لثه و عفونت در ایمپلنت دندانی می شوند. به طور کلی، عفونت ها از دو راه، خارج از دهان یا درون آن ایجاد می شوند. عفونت خارجی با ورود شیء خارجی و تماس با محیط خارجی اتفاق می افتد و راه های داخلی دهان نیز شامل بزاق، مخاط، لوزه، زبان و بیماری لثه می شوند. عفونت می تواند از طریق این مسیرها وارد دهان شده و به دندان و ایمپلنت آسیب جدی بزند. در ادامه به دلایل دیگری که می تواند منجر به عفونت ایمپلنت دندان شود اشاره می کنیم:
- عادات زندگی (مثل سیگار کشیدن و …)
- نقص در بهداشت دهان و دندان
- نظم نامناسب دندان ها
- سیستم ایمنی ضعیف
- وجود دندان قروچه
- حساسیت به مواد ایمپلنت
- آلرژی ها
- استفاده از مقدار اضافی سیمان در تاج دندان
- قرارگیری نزدیک ایمپلنت های دندانی به هم
- زاویه نامناسب در قرار گیری ایمپلنت در استخوان فک
- کیفیت ناکافی استخوان
- بیماری های خاص مانند دیابت
- شکستگی ایمپلنت
- پس زدن پیوند ایمپلنت
مقاله مرتبط : باید ها و نباید های تغذیه بعد از ایمپلنت دندان

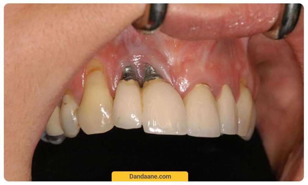
علائم عفونت ایمپلنت دندان
درد و مشکل در جویدن: پس از کاشت دندان، مقداری درد معمولی است که با استفاده از داروهای مسکن باید تسکین یابد. اگر درد افزایش یابد یا هنگام جویدن و صحبتکردن بیشتر شود، حتما به متخصص ایمپلنت دندان مراجعه کنید.
تب، تورم و قرمزی: تورم و قرمزی در چند روز اول عمل کاملا طبیعی است. اما اگر این علائم ادامه یابد یا با تب همراه شود، به دندانپزشک مراجعه کنید.
شل شدن ایمپلنت: ایمپلنت ها روی استخوان فک پیچ می شوند تا استحکام داشته باشند. اگر ایمپلنت شل شود، نشانه ای از مشکل در استخوان و لثه است. یکی از دلایل آن ممکن است عفونت باشد.
طعم و بوی نامطبوع دهان: با تجمع باکتری ها در لثه و دهان، ممکن است طعم نامطبوعی در دهان احساس شود. گاهی اوقات بوی بد دهان به طور دائمی نشان از عفونت دارد.
خونریزی یا ترشح چرک: حضور عفونت باعث تجمع گلبول های قرمز و سفید در آن ناحیه می شود، که ممکن است باعث خونریزی و ترشح چرک شود. اگر این علائم بیش از چند روز اول ادامه یابد، حتما به پزشک اطلاع دهید.
حتما بخوانید : همه چیز درباره ی عوارض ایمپلنت دندان

درمان عفونت ایمپلنت دندان
پس از تشخیص عفونت، ضروری است فورا برای درمان اقدام نمود. درمان عفونت ایمپلنت دندان بر اساس میزان عفونت و فقدان استخوان تعیین می شود. دندانپزشک یک یا چند روش از گزینه های زیر را برای درمان انتخاب خواهد کرد.
تجویز آنتیبیوتیک
در صورتی که عفونت در مراحل اولیه قرار گرفته باشد، ممکن است قرص چرک خشک کن قوی برای عفونت دندان تجویز شود. بهترین آنتی بیوتیک برای عفونت ایمپلنت، نیترومیدازول و قرص های مشابه آن است. اما چنانچه میزان عفونت متوسط تا شدید باشد، دیگر داروهای آنتی بیوتیک ممکن است کارآمد نباشند و باید از روش های دیگر استفاده نمود.
تمیز کردن فیزیکی ایمپلنت
این فرآیند به نام “دبریدمان زیر مخاط” معروف است. با استفاده از کورت فیبر کربن یا دستگاه اولتراسونیک، کیسه های مخاطی پاک سازی می شوند. امواج با فرکانس بالا آلودگی اطراف ایمپلنت را تمیز می کنند. گاهی اوقات، دندانپزشک از ابزارهای جرم گیری دقیق نیز استفاده می کند.
جراحی
وقتی که ایمپلنت در محل نادرست قرار گرفته باشد، راه حل تنها جراحی است. در این روش، فلپ باز می شود و از مواد ضد عفونی کننده و تمیز کننده فیزیکی استفاده می شود. به همین دلیل، این روش گاها به نام “دبریدمان فلپ باز” شناخته می شود.
نوشته پیشنهادی : عوارض ایمپلنت فوری چیست ؟
برداشتن ایمپلنت
در صورتی که به دلیل عفونت، مقدار زیادی از استخوان از بین رفته باشد، جراح ممکن است مجبور به خارج کردن ایمپلنت شود. اگر ضخامت استخوان نگهدارنده کمتر از ۳ یا ۴ میلی متر شود، برداشتن ایمپلنت توصیه می شود. معمولا پس از پیوند استخوان و چندین ماه بهبودی کامل، می توان مجددا کاشت دندان را انجام داد.

درمان خانگی عفونت ایمپلنت دندان
در صورتی که واقعا پیچ ایمپلنت آلوده و دچار عفونت شده باشد، هیچ روش درمان خانگی برای این مشکل وجود ندارد. افراد با تشخیص علائم عفونت ایمپلنت دندان باید فورا با دندانپزشک خود تماس بگیرند و از هر گونه خود درمانی خودداری کنند. درمان خانگی تنها ممکن است شامل مصرف دارو عفونت ایمپلنت و مسکن برای تسکین درد باشد تا زمانی که امکان مراجعه به دندانپزشک وجود داشته باشد.
بیشتر بخوانید :
مراقبت های بعد از ایمپلنت دندان چیست؟
راه های پیشگیری از عفونت ایمپلنت
برای جلوگیری از عفونت ایمپلنت، لازم است نکات مراقبتی را به دقت رعایت نمایید. مراقبت از ایمپلنت از زمان انجام جراحی شروع شده و همیشه باید به دقت پیگیری شود. برای پیشگیری از عفونت ایمپلنت، اقدامات زیر را انجام دهید:
- دو بار در روز دندان های خود را مسواک بزنید.
- از نخ دندان استفاده کنید.
- پس از مصرف غذاهای شیرین، بلافاصله مسواک بزنید.
- مراجعه به دندانپزشک و انجام معاینات منظم را در برنامه خود جای دهید.
سوالات پر تکرار در زمینه عفونت ایمپلنت دندان
بله، دندان ایمپلنت شده نیز ممکن است دچار عفونت بشود. عفونت در دندان ایمپلنت می تواند از عوامل مختلفی نظیر نقض بهداشت دهان، تراکم باکتری ها در اطراف ایمپلنت، یا مشکلات جراحی ناشی از قرار گیری نادرست ایمپلنت به وجود آید.
در صورت عدم درمان به موقع، عفونت پیشرفت کرده و بافت لثه و استخوان از بین میرود. در این شرایط ایمپلنت شل می شود و تنها راه برای درمان عفونت خارج کردن ایمپلنت به صورت کامل است.