
یکی از دلایل اصلی مراجعه افراد به کلینیک دندانپزشکی، پر کردن دندان یا همان ترمیم دندان است. به همین دلیل ما قصد داریم در این در این مقاله از دنیای دندان به بررسی اینکه ترمیم دندان چیست، هزینه پر کردن دندان در سال 1404 چقدر است و روش های کاهش هزینه آن صحبت کنیم.
پر کردن دندان چیست؟
به مراحلی که دندانپزشک برای از بین بردن پوسیدگی دندان و پر کردن آن با مواد پرکننده مانند کامپوزیت، آمالگام و … طی می کند ترمیم دندان یا پر کردن دندان می گویند. در برخی مواقع، شدت پوسیدگی دندان به قدری زیاد است که علاوه بر ترمیم نیاز به بازسازی با مواد مخصوص یا همان بیلداپ است.
قیمت پر کردن دندان در سال 1404
زمانی که برای پرکردن دندان به مطب متخصص دندانپزشکی مراجعه می کنید، ابتدا پزشک محل دقیق پوسیدگی دندان و عمق پوسیدگی را بررسی می کند.

سپس دندانپزشک قسمتی از دندان که دچار پوسیدگی شده است را با دریل و مته های مخصوص دندانپزشکی می تراشد. در ادامه مواد پر کننده ای مانند کامپوزیت یا آمالگام را داخل حفره پر می کند. بسته به اینکه محل پوسیدگی دندان و شدت آن چقدر است، چندین نوع ترمیم پوسیدگی وجود دارد.
در ادامه هزینه پر کردن دندان 1404 با مواد مختلف را اعلام خواهیم کرد:
| نوع ترمیم | هزینه به تومان |
|---|---|
| قیمت پر کردن دندان با آمالگام پنج یا یک سطحی | 1.020 هزار تومان |
| هزینه پرکردن دندان با آمالگام دو سطحی | 1.152 هزار تومان |
| هزینه پرکردن دندان با آمالگام سه سطحی | 1.400 هزار تومان |
| قیمت پر کردن دندان با کامپوزیت پنج یا یک سطحی | 1.400 هزار تومان |
| هزینه پر کردن دندان با کامپوزیت دو سطحی کلاس سه | 1 میلیون و 400 هزار تومان |
| هزینه پرکردن دندان با کامپوزیت سه سطحی یا کلاس چهار | 2 میلیون و 800 هزار تومان |
| ترمیم بیلداپ با آمالگام (دندان دائمی) | 1 میلیون و 870 هزار تومان |
| ترمیم بیلداپ با کامپوزیت (دندان دائمی) | 4 میلیون و 320 هزار تومان |
چه موقع نیاز به ترمیم دندان داریم؟
در صورت شرایط زیر، شما نیاز به پرکردن دندان دارید:
- در صورتی که لکه های روی دندان به هیچ روشی از بین نمی روند.
- زمانی که دندانتان دچار پوسیدگی شده است.
- وقتی که دندانتان دچار شکستگی، لب پر شدگی و ترک خوردگی شده است.
- زمانی که مینای دندان در اثر سایش دندان تحلیل رفته است.
- در مواقعی که پر کردگی های قبلی دندان شکسته شده و یا کاملا افتاده است.
- افرادی که پس از غذا خوردن دندان درد دارند.
- در صورت گیر کردن غذا درون دندان.
- افرادی در هنگام میل کردن نوشیدنی های سرد و گرم احساس دندان درد دارند.

چه عواملی در هزینه پر کردن دندان تاثیرگذارند؟
عوامل زیر می توانند در هزینه نهایی پر کردن دندان موثر باشند:
- تخصص و مهارت دندانپزشک: قیمت پر کردن دندان توسط یک دندانپزشک حاذق قطعا بالاتر از هزینه این خدمات توسط یک دندانپزشک مبتدی است.
- موقعیت جغرافیایی مطب دندانپزشک: اصولا هزینه پر کردن دندان در تهران و سایر شهرهای بزرگ بیشتر از شهرستان های کوچک است.
- نوع بیمه بیمار: هر نوع بیمه ای بخشی یا کل هزینه پرکردن دندان را تقبل می کند.
- شدت پوسیدگی دندان: چناچه پوسیدگی دندان عمقی باشد هزینه پر کردن آن بیشتر از پوسیدگی های سطحی خواهد بود.
- مراکز دولتی یا خصوصی: تعرفه خدمات دندانپزشکی در مراکز دولتی کمتر از کلینیک های خصوصی دندانپزشکی است.
- مشکلات جانبی: در برخی موارد قبل و یا بعد از ترمیم ممکن است هزینه هایی مثل عکس دندان و … بر قیمت پر کردن موثر باشد
- تعداد سطح دندان های نیازمند پر شدن: در برخی موارد ممکن است همه ی سطوح یک دندان نیاز به پر شدن داشته باشد که این عامل بر هزینه آن تاثیر گذار است
انواع مواد پرکننده دندان و تاثیر آنها در قیمت پر کردن دندان
برای ترمیم دندان به نسبت شدت پوسیدگی و محل پوسیدگی از مواد مختلفی استفاده می شود که هزینه پرکردن دندان با مواد مختلف از یکدیگر متفاوت هستند.

انواع مواد پرکننده دندان عبارتند از:
- مواد فلزی: این نوع پرکننده ها ماندگاری بسیار بالایی دارند. طلا و نقره از جمله رایج ترین پرکننده های فلزی دندان هستند. البته هزینه پر کردن دندان با طلا و نقره به نسبت زیاد است.
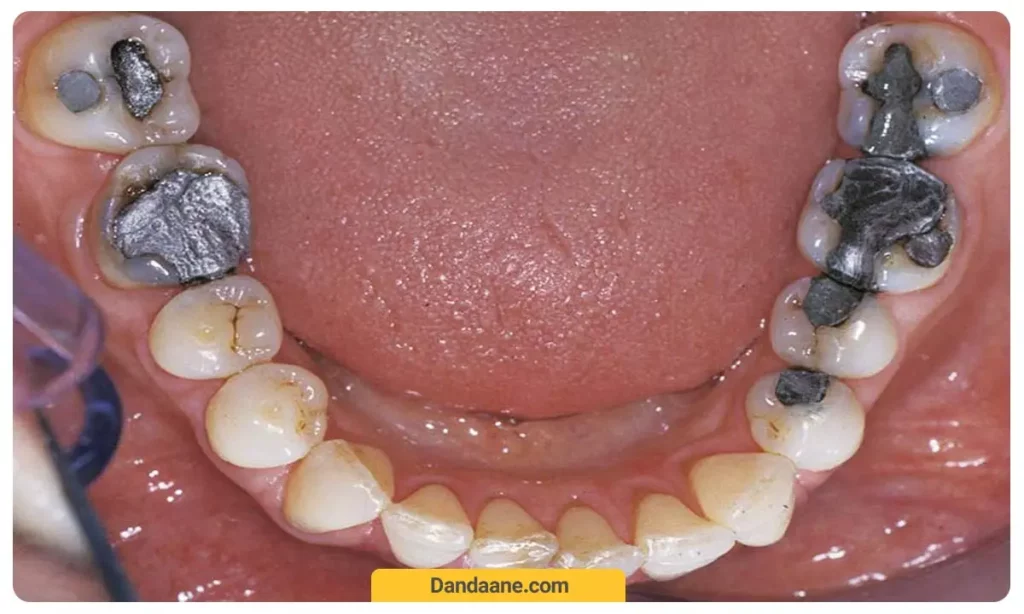
- آمالگام: یکی از رایج ترین پرکننده های دندانی آمالگام است.
- کامپوزیت: کامپوزیت یک نوع پرکننده همرنگ دندان است و از آن برای پر کردن دندان های جلویی استفاد می شود. هزینه پرکردن دندان با کامپوزیت بیشتر از آمالگام است
- سرامیک: این نوع پرکننده ها نیز جزء مواد پرکننده سفید دندان هستند.
کلاس بندی ترمیم دندان چیست؟
ترمیم کلاس 1 چیست و هزینه پر کردن دندان در کلاس 1
در واقع پنج سطح کلاس ترمیم دندانی در علم دندانپزشکی وجود دارد که به ترتیب از 1 تا 5 شماره گذاری شده اند. این بدین معناست که ما 5 سطح پوسیدگی دندان داریم.

پوسیدگی های دندان در سطح 1 اصولا سطحی هستند و به لب تاج نرسیده است. هزینه پرکردن دندان در کلاس 1 حدود 1.020.000 تومان است.
ترمیم کلاس 2 چیست و هزینه پر کردن دندان در کلاس 2
رایج ترین نوع پوسیدگی دندان در بین ما ایرانیان این سطح از پوسیدگی است. چنین پوسیدگی هایی اصولا در سطوح بین دندانی رخ می دهند و دلیل اصلی آن نیز عدم استفاده از نخ دندان است. حداقل هزینه برای پر کردن دندان در این سطح 1.152.000 هزار تومان است.
ترمیم کلاس 3 تا 5 چیست و هزینه پر کردن دندان ها در این سطوح
ترمیم کلاس سه مشابه با ترمیم کلاس سطح قبلی است و تنها تفاوت آن در شدت پوسیدگی دندان است. قیمت پر کردن دندان در این سطح حدودا 1.440.000 هزار تومان است.
در کلاس 4 پوسیدگی از تنه تاج دندان به لبه تاج رسیده است و شدت و عمق پوسیدگی در این سطح بسیار زیاد است؛ مسلما هزینه پر کردن دندان در سطح 4 بالاتر از سطوح قبلی است. پوسیدگی در این سطح اصولا بین تاج دندان و ریشه دندان است.
چنانچه دندان جلو دچار این سطح از پوسیدگی شود باید با کامپوزیت ترمیم شود، قیمت پر کردن دندان با کامپوزیت در این سطح حدود 1.320.000 تومان است. چنانچه دندان های پشتی دچار این نوع پوسیدگی شوند باید مواد پرکننده آمالگام پر شود که قیمت آن حدود 1.020.000 تومان است.

هزینه بیلداپ دندان با کامپوزیت و آمالگام چقدر است؟
بیلداپ دندان به معنای بازسازی دندان است. چنانچه شدت تخریب بافت دندان ها بسیار زیاد باشد و امکان بازیابی و پر کردن دندان ها وجود نداشته باشد توسط کامپوزیت یا آمالگام بازسازی می شوند. قیمت بیلداپ دندان با کامپوزیت از آمالگام بیشتر است و حدود 3.400.000 تومان است.
منظور از پر کردن دندان با مواد سفید چیست؟
مواد سفید پرکننده دندان همان سرامیک و کامپوزیت دندان هستند. از این مواد اصولا برای پرکردن دندان های جلو استفاده می شود چرا که کاملا همرنگ دندان ها هستند.
منظور از پر کردن دندان با مواد سیاه چیست؟
مواد سیاه پرکننده دندان همان آمالگام است. از این نوع پرکننده دندان برای پر کردن دندانهای عقبی استفاده می شود.

چرا هزینه پر کردن دندان با کامپوزیت بیشتر از آمالگام است؟
همیشه قیمت پر کردن دندان با کامپوزیت از آمالگام بیشتر است زیرا ماده کامپوزیت همرنگ دندان است. اما رنگ آمالگام تیره است به همین دلیل مناسب دندان های جلو نیست.
چه دندانپزشکی دندان ها را ترمیم می کند؟
برای ترمیم یا پرکردن دندان ها باید به یک متخصص دندانپزشکی ترمیم و زیبایی دندان مراجعه کنید. البته این کار توسط دندانپزشکان عمومی نیز انجام می شود و هزینه پرکردن دندان نزد دندانپزشک عمومی کمتر از متخصص است.
روش های کاهش قیمت پر کردن دندان
اگر به دلیل شرایط مالی قادر به مراجعه به مراکز خصوصی نیستید، می توانید با روش های زیر هزینه پرکردن دندان هایتان را کاهش دهید:
- به مراکز دولتی مانند جهاد دانشگاهی مراجعه کنید.
- به کلینیک ها یا درمانگاه هایی که زیر نظر دانشگاه دندانپزشکی هستند مراجعه کنید.
- در صورت داشتن بیمه تکمیلی اصولا قیمت پر کردن دندان با عصب کشی هر چقدر باشد تمام آن یا اکثر هزینه را تقبل می کند.
با رعایت این نکات دیگر نیازی به پر کردن دندان ندارید
با رعایت موارد زیر دیگر نیازی به ترمیم دندان نخواهید داشت:

- مسواک زدن در دو وعده فراموش نشود.
- زمان مسواک زدن حداقل دو دقیقه است.
- استفاده از نخ دندان را فراموش نکنید.
- با مشورت از دندانپزشک می توانید از دهانشویه هم استفاده کنید.
- رژیم غذایی سالم داشته باشید.
- چکاپ های 6 ماهه از دندانتان داشته باشید.
- مصرف دخانیات را ترک کیند.
- مصرف نوشیدنی های الکل دار را به حداقل برسانید.
کلام آخر
هزینه پر کردن دندان بسته به شدت پوسیدگی و سایر عوامل حداقل 850 هزار تومان و حداکثر 3 میلیون و 600 هزار تومان است. البته شرایط دیگری مانند تخصص و مهارت پزشک، موقعیت جغرافیایی مطب دندانپزشکی، نوع بیمه بیمار و … نیز می توانند باعث کم یا زیاد شدن این هزینه شود.
🦷 شاید این نوشته ها هم به درد شما بخورد:
- هزینه روکش دندان
- هزینه ارتودنسی دندان
- باندینگ دندان چیست و چگونه انجام می شود ؟
- تعرفه دندانپزشکی در سال 1404
- قیمت کامپوزیت دندان در سال 1404 چقدر است ؟
- چگونه یک دندانپزشک ترمیمی خوب پیدا کنیم ؟
سولات متداول هزینه پر کردن دندان
اصولا دندان هایی که دچار شکستگی می شوند با پر کردن معمولی قابل ترمیم نیستند. برای ترمیم دندان شکسته جلو اصولا از کامپوزیت استفاده می شود.
در واقع منظور از مواد سفید همان کامپوزیت یا سرامیک است. این مواد همرنگ دندان هستند و تاثیر منفی در چهره فرد نخواهد داشت. قیمت پرکردن دندان با مواد سفید بسته به میزان ترمیم و نوع موادی که استفاده می شود متفاوت است.
مواد سیاه یک نوعی از آمالگام هستند که هزینه پر کردن دندان با این مواد به نسبت ارزان تر است
برای پرکردن دندان های جلو از کامپوزیت استفاده می شود که هزینه آن بسته به شدت خرابی می تواند متفاوت باشد.
گفته می شود بیمه تامین اجتماعی تنها بخشی از هزینه مربوط به پر کردن دندان (50 درصد ) را پوشش می دهد
قیمت پر کردن دندان به همراه عصب کشی از 2.500 تا 5 میلیون تومان متغیر خواهد بود .