پوسیدگی دندان ممکن است در هر سنی اتفاق بیفتد. پوسیدگی به معنای خراب شدن ساختار دندان است. این عارضه می تواند بر لایه بیرونی و درونی دندان تاثیر بگذارد و یکی از اصلی ترین دلایل لقی دندان کودکان است. در صورتی که بهداشت دهان و دندان رعایت شود و از رژیم غذایی مناسب پیروی کنید احتمال خرابی دندان ها تقریبا صفر است. در این مقاله از دنیای دندان به طور کامل با تعریف پوسیدگی دندان، علل و علائم و شیوه درمان و پیشگیری از این عارضه آشنا خواهید شد.
پوسیدگی دندان چیست؟
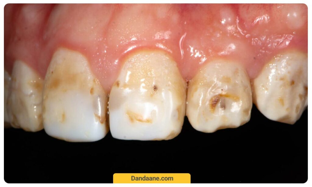
به سست شدن و تحلیل رفتن مینای دندان، پوسیدگی دندان گفته می شود که میتواند باعث درد و سایر علائم دیگری در ما شود. از مهمترین و شایع ترین علل مراجعه به کلینیک های دندانپزشکی وجود پوسیدگی در بافت دندان است. در ادامه می توانید عکس پوسیدگی دندان را ببینید.

پوسیده شدن دندان در اثر وجود پلاک های دندانی و تولید اسید توسط باکتری ها ایجاد میشود. این مشکل ابتدا مینای دندان را درگیر میکند و کم کم به بخش های داخلی تر مثل دنتین و در نهایت پالپ دندان گسترش یافته و درد بسیار زیادی را به شخص تحمیل میکند. پوسیدگی به دندان شما آسیب می رساند و ممکن است منجر به ایجاد حفره و یا حتی مرگ دندان شما شود. در ادامه توضیح خواهیم داد دقیقا مینای دندان، دنتین، پالپ دندان و پلاک دندان چیست.
- مینای دندان : مینای دندان پوشش محافظ، سفید رنگ و بیرونی دندان است. مینا سخت ترین قسمت بدن است.
- دنتین : نوعی بافت است که در زیر مینای دندان قرار دارد و بیشتر دندان را تشکیل می دهد.
- پالپ دندان : پالپ همان بخش زنده و نرم دندان است که حاوی عروق عصبی و رگ های خونرسان دندان است.
- پلاک دندان : یک لایه نازک از باکتری ها، مواد معدنی و ذرات ریز مواد غذایی است که به سطح دندانی شما متصل میشود.
👋🏻 خواندن این مقاله را از دست ندهید :

علت پوسیدگی دندان کدام است؟
ممکن است این سوال برای افراد پیش بیاید که چه بیماری هایی باعث خرابی دندان می شوند؟ یا دندان در چه شرایطی می پوسد؟ در این قسمت از مقاله به دلایل ایجاد پوسیدگی دندان اشاره می کنیم:
- تغذیه نامناسب
- وجود باکتری های بد
- عدم رعایت بهداشت دهان و دندان
- بیماری لثه
- وجود دندان های کج که تمیز کردن آنها سخت تر است.
- سیگار کشیدن
- مصرف داروهایی مانند داروهای بیماری آسم که باعث خشکی دهان می شوند.
- وارد شدن ضربه های شدید به دندان
| ردیف | عناوین | توضیحات |
|---|---|---|
| 1️⃣ | میزان شایع بودن | دومین بیماری شایع پس از سرماخوردگی ، 25% از کودکان 2-5 سال و 50% از نوجوانان 12-15 سال |
| 2️⃣ | علت اصلی | تجمیع پلاک های باکتری به همراه مصرف قند و اسید |
| 3️⃣ | علائم | درد دندان ، وجود لکه های تیره بر روی دندان ، ایجاد سوراخ در دندان ، بوی بد دهان |
| 4️⃣ | تشخیص | معاینه توسط پزشک هر 6 ماه یکبار |
| 5️⃣ | انواع پوسیدگی | 1 : سطح جونده دندان های عقب 2 : بین دندان های عقب 3 : بین دندان های جلو 4 : پوسیدگی به نوک دندان می رسد. 5 : طوق دندان 6 : لبه دندان |
| 6️⃣ | درمان | فلوراید تراپی در مراحل اولیه عصب کشی کشیدن |
علائم پوسیدگی دندان چیست؟
پوسیدگی دندان در مراحل اولیه معمولا علائم آنچنان قابل توجهی ندارد. معمولا به صورت اتفاقی دندانپزشک آن در عکس رادیولوژی مشاهده می کند و یا در معاینه فیزیکی وجود آسیب و حتی حفره داخل دندان تشخیص داده می شود. به همین دلیل است که شما باید به طور منظم به مطب دندانپزشک خود مراجعه کنید. زیرا در همان ابتدای پوسیدگی مانع از گسترش آن شده و اقدام به درمان میکنند.
با این حال موارد زیر تعدادی از علائم پوسیدگی دندان هستند:
1. حساسیت دندان به سرما و گرما
معمولا ایجاد حساسیت دندان ها نشانه تحلیل دندان است. حساسیتی که بعد از خوردن غذای سرد یا گرم از بین می رود می تواند نشانه پوسیدگی دندان شما نیز باشد. وقتی مینای دندان شروع به ساییدگی می کند، می تواند عاج را تحت تأثیر قرار دهد (عاج یا دنتین یک لایه حساس به درد در زیر مینای دندان است). عاج شامل تعداد زیادی پایانه عصبی است که در صورت نمایان شدن درد زیادی در دندان ایجاد میکند.
وقتی مینای دندان برای محافظت از عاج کافی نباشد، غذاهای گرم، سرد، چسبناک یا اسیدی می توانند سلول ها و عصب داخل دندان شما را تحریک کنند. این همان چیزی است که حساسیتی که احساس می کنید را ایجاد می کند.

2. حساسیت مزمن به شیرینی ها
گرچه سرما و گرما معمول ترین علل حساسیت دندان حین پوسیدگی هستند؛ اما داشتن یک حساسیت طولانی مدت به شیرینی ها و نوشیدنی های شیرین نیز می تواند به پوسیدگی و خرابی دندان اشاره کند. مشابه حساسیت به سرما و گرما، ناراحتی طولانی مدت از شیرینی جات اغلب نتیجه آسیب به مینای دندان و به طور خاص، شروع حفره و خرابی است.
3. درد دندان
درد مداوم در یک یا چند دندان شما می تواند نشان دهند حفره یا پوسیدگی دندان باشد. در حقیقت، درد یکی از رایج ترین علائم حفره و سوراخ دندان است. بعضی اوقات ممکن است این درد به طور ناگهانی ظاهر شود، یا ممکن است در اثر چیزی که می خورید اتفاق بیفتد. این وضعیت شامل درد و ناراحتی در دهان یا اطراف آن است. در هنگام گاز گرفتن غذا نیز ممکن است احساس دندان درد و فشار زیادی کنید.

4. ایجاد لکه روی دندان ها
لکه های روی دندان شما ممکن است ابتدا به صورت لکه های سفید ظاهر شوند. با پیشرفت بیشتر علائم
خرابی و فاسد شدن لکه ممکن است تیره تر شود. تغییر رنگ ناشی از حفره و پوسیدگی می تواند قهوه ای، سیاه یا سفید باشد و به طور معمول در سطح دندان ظاهر می شود.
5. سوراخ شدن دندان ها
اگر لکه سفید روی دندان شما که نشان دهنده شروع پوسیدگی است، بدتر شود، در نهایت سوراخ یا حفره ای در دندان شما ایجاد می شود که ممکن است با نگاه کردن در آینه یا لمس آن متوجه اش شوید. برخی از سوراخ ها به ویژه سوراخ های بین دندانی، قابل مشاهده و احساس نیستند. اما ممکن است هنوز در ناحیه پوسیدگی احساس درد یا حساسیت کنید.

چه موقع به دندانپزشک مراجعه کنیم؟
اگر در مورد علائم پوسیدگی دندان نگران هستید، وقت آن است که برای ملاقات با یک دندانپزشک خوب در شهر خودتان وقت بگیرید. اگر احساس می کنید که با درد یا علائمی که در این مقاله ذکر شد مواجهید ظرف 24 تا 48 ساعت بعد از شروع علائم به یک دندانپزشک ترمیمی مراجعه کنید.
علاوه بر این، مراجعه منظم به دندانپزشک هر 6 ماه یکبار و انجام اشعه ایکس به طور منظم یکی از بهترین راه ها برای جلوگیری از ایجاد علائم پوسیدگی دندان یا جلوگیری از رشد این پوسیدگی است. پیشرفت پوسیدگی می تواند منجر به مشکلات ریشه دندان شود و شما را نیازمند درمان ریشه دندان یا روت کانال تراپی کند. طبیعی است که هزینه درمان پوسیدگی دندان هرچه زودتر به دندانپزشک مراجعه کنید، کمتر خواهد بود.
اگر حفره دندان داشته باشم چه اتفاقی خواهد افتاد؟
معمولا کسانی که روی دندان هایشان سوراخ کوچک و یا اصطلاحا حفره دندان دارند، دندان های حساسی دارند. مثلا زمانی که غذاهای شیرین یا نوشیدنی های گاز دار و اسیدی میخورند دندانشان درد میگیرد.
زمانی که پوسیدگی گسترش میابد و به داخل پالپ دندان (بخش زنده دندان که حاوی و عروق خونی است) میرسد، درد دندان شروع شده و اتفاقا درد بسیار وحشتناکی است. هرچه پوسیدگی و حفره به داخل پالپ گسترش میابد طول درد هم بیشتر می شود و برای مثال ممکن است تا چند ساعت و یا چند روز ادامه داشته باشد. این درد با مسکن هایی مثل پاراستامول و ایبوپروفن تسکین میابد. اما تسکین درد موقتی است و برای درمان و رسیدگی باید به یک کلینیک دندانپزشکی خوب مراجعه کنید.

درمان پوسیدگی دندان چیست؟
اگر پوسیدگی خیلی جدی نباشد و به اصطلاح دچار پوسیدگی سطحی دندان شده باشید، تیم دندانپزشکی تمام پوسیدگی ها را برداشته و آن را با پر کردن ترمیم می کند. اما بعضی اوقات عصب وسط دندان آسیب می بیند. در این صورت، دندانپزشک باید عصب را بردارد و با کمک تاج دندان یا مواد پر کننده اقدام به ترمیم دندان خراب کند. اینکار معمولا توسط دندانپزشک ترمیمی انجام داده میشود و مشهور به درمان ریشه یا روت کانال است. از طرفی اگر دندان آنقدر پوسیده شده باشد که قابل ترمیم نباشد، ممکن است دندانپزشک مجبور شود دندان را خارج کند و آن را بکشد.
🦷 مطالعه این مطالب را از دست ندهید:
پوسیدگی دندان عقل
اصولا دندان های عقبی که دسترسی به آنها برای مسواک زدن و نخ کشیدن سخت تر است خیلی سریع تر دچار پوسیدگی می شوند. پوسیدگی دندان عقل و آسیاب تقریبا یک اتفاق عادی در اکثر افراد است. علاوه بر دسترسی سخت به این دندان ها این نوع از دندان ها شیارها، شکاف ها و ریشه های زیادی دارند که منجر به تجمع ذرات غذا روی آن دندان ها یا در لابه لای آنها می شود.

پوسیدگی دندان جلو
با اینکه اکثر پوسیدگی ها در دندان های عقبی اتفاق می افتد، اما امکان پوسیدگی دندان جلو هم وجود دارد. در صورتی که دندان های جلو خراب شوند نشان هایی مثل دندان درد، حساسیت دندانی و ایجاد لکه روی دندان ها مشاهده می شود.
به دلیل اینکه دندان های جلویی تاثیر زیادی در زیبایی چهره و لبخند دارند در صورت خرابی آنها باید هر چه سریعتر نسبت به رفع آن اقدام کنید.
پوسیدگی دندان کودکان
دندان کودکان هم ممکن است پوسیده شوند به خصوص کودکانی که کمتر به بهداشت دهان و دندان خود اهمیت می دهند یا از شیرینی جات و تنقلات زیادی می خورند. پوسیدگی دندان کودکان به دلیل نرم تر و نازک تر بودن مینا بسیار راحت تر و سریع تر اتفاق می افتد.
تغذیه کودکان قبل از خواب نیز می تواند در خرابی دندان آنها نقش داشته باشد. زمانی که به کودکان خود قبل از خواب شیر، شیر خشک، آبمیوه یا سایر مایعات قند دار می دهید، این نوشیدنی ها که حاوی قند هستند در ساعات خواب کودک روی دندان او باقی می ماند و باکتری ها عمل پوسیدگی را انجام می دهند. به این نوع آسیب اغلب پوسیدگی دندان شیشه شیر گفته می شود.

روش توقف پوسیدگی دندان در خانه
- یک روش توقف پوسیدگی دندان در خانه، توجه به رژیم غذایی روزانه است. در صورتی که در مصرف قند و شیرینی جات دقت داشته باشید و اصول بهداشت دهان و دندان را رعایت کنید می توانید از پوسیده شدن دندان هایتان جلوگیری کنید.
- از خمیردندان ها و دهان شویه حاوی فلوراید در مواقعی که خراب شدن سطحی دندان دارید می توانید استفاده کنید.
- مصرف کلسیم و ویتامین دی در افزایش استحکام دندان ها و کاهش پوسیدگی موثر است.
- از آدامس های بدون قند استفاده کنید.
- یکی دیگر از روش های خانگی رفع خرابی دندان در خانه این است که روغن های گیاهی مثل روغن نارگیل، روغن کنجد و … را به مدت 20 دقیقه در دهان خود بچرخانید و سپس به بیرون تف کنید. این روش می تواند منجر به کاهش پلاک دندانی، التهاب لثه و کاهش تعداد باکتری های دهان شود.
- لازم به ذکر است که با استفاده از فلوراید می توان به تقویت دندان پوسیده (اگر در مراحل اولیه پوسیدگی باشد) پرداخت.
🦷 مطالعه این مطلب هم به شما کمک میکند: فلوراید تراپی چیست؟
برای جلوگیری از پوسیدگی چه کاری می توانم انجام دهم؟
بهترین روش برای توقف و حتی پیشگیری از پوسیدگی دندان ها مسواک زدن است. شما باید دست کم روزی دو بار هم مسواک و هم نخ دندان استفاده کنید. حتی الامکان به جای خمیردندان های معمولی سعی کنید از خمیردندان های حاوی فلوراید استفاده کنید.
تمام سطوح دندان ها (جلو، سطوح طرفی، عقب، لبه ها ) و خلاصه تمام بخش های آن را با دقت مسواک بزنید و هیچ بخشی را از قلم نیاندازید. برس ها و مسواک های بین دندانی هم میتوانند در این کار به شما کمک کنند اما حتی برس یا مسواک بین دندانی هم نمیتواند در تمیز کردن از نخ دندان ها سبقت بگیرید. زیرا نخ دندان ها ذرات ریز بین دندان ها که عامل اصلی پوسیده شدن دندان ها هستند را از بین میبرد.

برای جلوگیری از پوسیدگی دندان چه بخوریم؟
مرتباً طبق توصیه ها به تیم دندانپزشکی خود مراجعه کنید. غذاهای قندی و اسیدی و نوشیدنی های گازدار کمتری بخورید. از خوردن میان وعده هایی مثل چیپس و یا تنقلات و حتی میوه های خشک چسبنده خودداری کنید. این ها بیشتر از هر ماده غذایی دیگری باعث اسیدی شدن دهان و پوسیدگی دندان ها می شوند.
به جای این موارد سعی کنید که آدامس بدون قند و شکر بجوید. بعد از خوردن غذا می توانید به مدت 20 دقیقه آدامس بجوید که این کار نه تنها به گوارش شما کمک می کند؛ بلکه به افزایش بزاق، کاهش محیط اسید و تمیز شدن دهان و دندان کمک می کند.
دندانپزشک و متخصصان دندانپزشکی چگونه در پیشگیری از پوسیدگی به شما کمک میکنند؟
تیم دندانپزشکی شما اولین کاری که می تواند در این خصوص برایتان انجام دهد این است که به شما نحوه صحیح مراقبت و نگهداری از دندان ها و روش های رعایت بهداشت دهان و دندان را آموزش دهد. برای مثال از آنجایی که نخ دندان کشیدن مهمترین روش توقف پوسیدگی دندان است، شما باید حتما نحوه درست این کار را از دندانپزشک خودتان یاد بگیرید و به طور منظم هم برای ارزیابی ها دقیق دندانپزشکی به مطبش مراجعه کنید.
سوالات متداول درباره پوسیدگی و خرابی دندان
کمبود ویتامین های D، C، A، K، کلسیم و فسفر می تواند به پوسیدگی دندان ها منجر شود. همچنین، لثه های سالم و قوی نیاز به ویتامین C و K دارند. برای حفظ سلامت دندان ها، رژیم غذایی مناسب و بهداشت دهان و دندان را رعایت کنید.
بهتر است که پوسیدگی دندان با مراجعه به دندانپزشک درمان شود. اما راهکارهایی برای جلوگیری از پیشرفت پوسیدگی دندان ها در خانه وجود دارد. استفاده منظم از نخ دندان و شست و شوی دهان با آب نمک به عنوان درمان خانگی پوسیدگی دندان شناخته می شود.
خیر اگر میزان پوسیدگی کم باشد دندانپزشکان بدون مواد پر کننده و تنها با شستشوی منظم و ارائه توصیه های لازم به شما در درمان پوسیدگی و جلوگیری از رشدآن کمک می کنند.
به طور کلی درد دندان خبر از یک اتفاق ناخوشایند در دهان شما می دهد. به محض اینکه دندانتان درد گرفت بهترین گزینه مراجعه به دندانپزشک است. اگر هرچه زودتر به درمان پوسیدگی دندان اقدام نشود، احتمالا گسترش آسیب و حتی مرگ دندان وجود دارد که خود نیازمند درمان ریشه و عصبی کشی دندان است.
سطوح بالایی که بیشتر با مواد غذایی در تماس است و برای جویدن غذا مورد استفاده قرار میگیرند به همراه لابلای دندان ها بیشترین احتمال پوسیده شدن را دارند. زیرا غذا و پلاک دندان معمولا در این مناطق بیشتر حضور دارند. اما پوسیدگی دندان میتواند در هر بخشی و برای هر دندانی ایجاد شود.