لمینت چیست و چه کاربردی دارد؟ مزایای لمینیت چیست؟ هر واحد لمینت دندان یعنی چه؟ آیا عوارضی بعد از نصب وجود دارد؟ هزینه نصب لمینت در سال 1404 چقدر است و چه عواملی بر قیمت نهایی تاثیرگذار می باشد؟ این سوالات خیلی از افرادی است که در ظاهر دندانهای خود مشکلات متفاوتی دارند و دندانپزشک متخصص برای اصلاح طرح لبخند به آنها لمینیت کردن دندانها را پیشنهاد کرده است. امروزه برطرف کردن مشکلات ظاهری دندانها مانند زرد شدن، لب پر شدگی دندانها، داشتن فاصله جزئی میان دندانها و … با اقدامات مختلف زیبایی به راحتی قابل اصلاح است.
ساده ترین تعریف لمینت دندان چیست؟
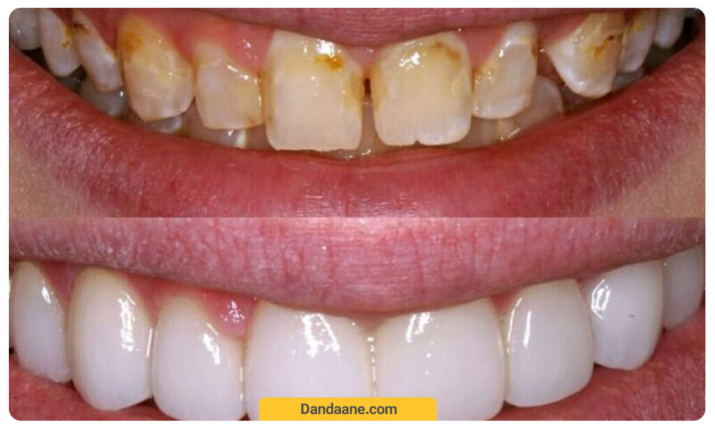
لمینیت ها که رایج ترین درمان زیبایی دندانها هستند، نوعی ونیر دندانی بوده که پوسته ها یا لایه های نازک، شیشه ای و همرنگ دندان هستند و توسط یک متخصص ترمیمی و زیبایی دندان به سطح جلوی دندان ها متصل می شوند. از این لایه های نازک که مخصوص هر شخص و هر دندانی است برای اصلاح رنگ، فرم، اندازه دندانها و فاصله دندانی استفاده می شود.

علاوه بر ایجاد تغییرات ظاهری در دندانها، این روکش های شیشه ای باعث افزایش مقاومت و استحکام دندانها می شوند. لازم به ذکر است که به لمینت های دندانی، ونیر پرسیلن می نامند که شامل دو نوع لمینت ونیر کامپوزیت و لمینت سرامیکی می شوند.
+ مزایا و معایب لمینت سرامیکی چیست؟
افرادی که در صدد نصب لمینت هستند و به دنبال مزایا و معایب لمینت سرامیکی می گردد، فهرست های بخش های ذیل را مطالعه نمایند:
مزایای لمینت سرامیکی عبارت اند از:
- دارای جنس سرامیک شفاف
- ظاهر کاملا طبیعی و جلوه بصری تماما زیبا
- همانند بافت های متشکل مینای دندان
- دارای سطح مقاومت بالا برای مقابله با صدمات ورودی از سوی عوامل طبیعی و غیرطبیعی
- برخورداری از سطح مقاومت بالا جهت جلوگیری از شکل گیری لکه و تغییرات رنگی بر روی سطح بافت های متشکل لمینت
- برخورداری از سطح استحکام بالا جهت صدمات ورودی از سوی فشار جویدن
- دارای مدت زمان ماندگاری بیشتر در مقایسه با لمینت کامپوزیتی (10 تا 15 سال)

معایب لمینت سرامیکی عبارت اند از:
- مخارج درمانی بیشتر
- نیازمندی اجرای بیشتر فرآیند تراشیدن بافت های متشکل مینای دندان اصلی
- غیر قابل بازگشت
- سخت و دشوار بودن انجام تعویض کلی و اجرای فرآیند ترمیم
- انجام در چندین جلسه
+ مزایا و معایب لمینت کامپوزیتی چیست؟
مزایای لمینت کامپوزیتی عبارت اند از:
- مخارج درمانی کمتر
- نیازمند اجرای کمتر فرآیند تراشیدن بافت های متشکل مینای دندان اصلی
- انجام در یک جلسه
- عدم نیازمندی به فرآیند قابل گیری دندان
- عدم نیازمندی به لابراتوار جهت طراحی لمینیت
- ساده تر بودن فرآیند ترمیم در مقایسه با لمینت سرامیکی

معایب لمینت کامپوزیتی عبارت اند از:
- سطح مقاومت لمینت کامپوزیتی برای مقابله با صدمات از سوی عوامل طبیعی و غیرطبیعی کمتر است
- سطح مقاومت پایین تر برای مقابله با شکل گیری لکه و تغییرات رنگی
- سطح استحکام کمتر
- افزایش احتمال شکل گیری لب پر شدگی دندان یا ایجاد ساییدگی با گذر زمان
- ماندگاری کمتر (مدت زمان 5 تا 7 سال)
هر واحد لمینت دندان یعنی چه؟
هر واحد لمینت دندان یعنی هر لمینتی که قرار است بر روی یک دندان نصب شود. باید بدانید که این اصطلاح کاربردی بیشتر از سوی دندانپزشکان مطرح شده و در اکثر مواقع معنا و مفهوم قسمت اعظمی از هزینه درمان را می رساند.

مطرح شدن این اصطلاح از سوی متخصص ترمیم و زیبایی یعنی تعداد دندان هایی که متقاضی نیازمند درمان آن ها است؛ مثلا اگر دندانپزشک بگوید که 10 واحد لمینت دندان نیاز است، مفهوم نیازمندی 10 دندان طبیعی دهان متقاضی به نصب 10 روکش مختلف لمینت ساخته شده در لابراتور دندانپزشکی است.
معرفی کامل مراحل لمینت دندان با عکس
اگر به دنبال مراحل لمینت دندان با عکس هستید، همراه ما باشید:
| ردیف | مراحل | جزئیات مراحل |
|---|---|---|
| 1️⃣ | معاینه ارزیابی اولیه | + جلسه مشاوره + اجرای فرآیند جرم گیری + انجام عملیات تراشیدن سطح دندان |
| 2️⃣ | انتخاب بهترین رنگ لمینت | + در نظر گرفتن بودجه + متناسب با چهره + در نظر گرفتن رنگ سایر دندان ها |
| 3️⃣ | فرآیند قابل گیری دندان | + کمک از خمیر قابل گیری توسط متخصص لابراتور دندانپزشکی جهت طراحی قابل دندان های متقاضیان نصب لمینت |
| 4️⃣ | قرارگیری لمینت اولیه به صورت موقتی | + قرارگیری لمینت اولیه بر روی سطح دندان ها به صورت موقتی |
| 5️⃣ | طراحی لمینت | + طراحی لمینت سفارشی توسط متخصص لابراتوار |
| 6️⃣ | باندینگ یا روکش لمینت | قرارگیری روکش لمینت |
| 6️⃣ | فرآیند نور درمانی | بالا بردن مدت زمان دوام لمینت و تثبیت موقعیت مکانی آن |

مرحله اول؛ مشاوره و اقدامات اولیه درمان
اولین مراحل لمینت دندان با ارزیابی وضعیت دهان و دندان متقاضی توسط دندانپزشک یا متخصص ترمیمی و زیبایی شروع می شود و اهداف درمان مشخص شود. در قدم اول متخصص ترمیمی و زیبایی با استفاده از فرآیند جرم گیری دندان به نابودی جرم و پلاک های تجمع یافته روی سطح دهان ها می پردازد. با از بین بردن آلودگی های مضر دهانی، عملیات آماده سازی دندان ها جهت نصب لمینت در حال اجرا است. مقداری از سطح مینای سفت و سخت دندان ها تراشیده خواهد شد تا تثبیت موقعیت مکانی لمینت به خوبی شکل گیرد.
مرحله دوم؛ انتخاب مناسب ترین رنگ لمینت
در مرحله بعدی متخصص مشخصات، اندازه و ابعاد دقیق، به همراه رنگ لمینت شما را مشخص می کند. رنگ آن باید با رنگ دندان های شما کاملا هماهنگ باشد تا طرح لبخند شما دو رنگ و بدشکل نباشد. عواملی مختلفی نظیر رنگ پوست و چشم متقاضی، سلیقه شخصی، سن، ساختار چهره و فرم آن به همراه در نظر گرفتن رنگ طبیعی سایر دندان ها در انتخاب بهترین رنگ توسط متخصص ترمیم و زیبایی تاثیرگذار هستند. برای انتخاب بهترین رنگ لمینت باید از تجربیات و دانش متخصص ترمیم و زیبایی دندانپزشکی استفاده نمود تا ایده آل ترین نتیجه شکل گیرد. باید بدانید که طیف رنگی انواع لمینت دندان در 4 دسته رنگی خلاصه می شود:
- گروه ای (A): ترکیبی از رنگ قرمز و قهوه ای (رنگ قهوه ای رو به رنگ قرمز)
- گروه بی (B): ترکیبی از رنگ زرد و قرمز (رنگ زرد رو به رنگ قرمز)
- گروه سی (C): رنگ خاکستری
- گروه دی (D): ترکیبی از رنگ خاکستری و قرمز (رنگ خاکستری رو به رنگ قرمز)

3. مرحله سوم؛ اجرای فرآیند قابل گیری لمینت در لابراتوار
متخصص ترمیم و زیبایی دندانپزشکی بعد از ارزیابی، مشخصات به دست آمده متقاضی را به لابراتوار می فرستد تا لمینیت مخصوص وی ساخته شود. این مشخصات نتیجه گاز زدن خمیر مخصوص قالب گیری لمینت توسط متقاضی در مطب دندانپزشک ترمیم و زیبایی انتخابی صورت می گیرد. فرآیند قالب گیری با بالاترین دقت و باکیفیت ترین مواد مصرفی شکل خواهد گرفت؛ جلوگیری از شکل گیری اختلال در اندازه دقیق، شکل مناسب و طبیعی دندان ها. این قالب خمیری به متخصص لابراتوار جهت طراحی و ساخت ارجاع داده می شود.

4. مرحله چهارم؛ قرارگیری لمینت اولیه به صورت موقتی
ساخت لمینت های شما حدود چند هفته زمان می برد و در این مدت برای محافطت از دندانهای تراش خورده، از لمینت موقت استفاده می شود. هدف پزشک از قرارگیری لمینت اولیه به صورت موقتی، قرار دادن متقاضی در محدوده استفاده از لمینت دائمی است. قرارگیری در چنین شرایطی چند مزیت دارد:
- عادت دادن بیمار به احساس جدید دندان ها
- عادت دادن بیمار به شکل جدید دندان ها
- شناسایی تغییرات لازم برای شکل گیری تنظیمات بهتر لمینت های دائمی

5. مرحله پنجم؛ طراحی لمینت های دائمی در لابراتوار
متخصص لابراتوار دندانپزشکی از باکیفیت ترین مواد مصرفی جنس های سرامیکی و کامپوزیتی، به طراحی روکش های لمینت می پردازد. باید بدانید که اجرای این فرآیند حداقل نیازمند چند روز و حداکثر چند هفته است. اگر به دنبال لمینت های باکیفیت و ماندگار هستید، باید در انتخاب بهترین متخصص ترمیم و زیبایی دقت بالایی را خرج نمایید تا بتوانید به بهترین متخصص لابراتوار دست بیابید. سطح تخصص تکنسین و مقدار دقت متخصصان لابراتوار در طراحی لمینت های دائمی باید بسیار بالا باشد تا باکیفیت ترین نتیجه شکل گیرد.
6. مرحله ششم؛ نصب روکش بر روی لمینت
وقتی لمینت های دائمی آماده شدند، دندانپزشک موقت ها را برمی دارد. برای اطمینان از تناسب کامل، لمینت های جدید تحت معاینه قرار می گیرند و سپس دندانپزشک آنها را به سطح جلوی دندان های شما متصل می کند. البته لازم به ذکر است که قبل از چسباندن ونیر دندان، باید سطح دندانها تمیز شده و در صورت نیاز کمی زبر شوند تا لمینت ها به خوبی به روی دندانها چسبانده شود.

7. مرحله هفتم؛ فرآیند نور درمانی
سپس لمینت ها با استفاده از نورهای مخصوصی (لیزری یا ال ای دی (LED)) به مدت حدود 60 ثانیه، جهت سفت شدن و تثبیت موقعیت مکانی روکش های بر روس سطح دندان ها متصل می شوند. باید بدانید که اجرای این فرآیند نه تنها به بالا بردن سطح استحکام لمینیت ها کمک بسزایی می کند، بلکه باعث بیشتر شدن مدت زمان ماندگاری آن ها می شود.

مراحل لمینت دندان چقدر طول می کشد؟
باید بدانید که اجرای مراحل لمینت دندان نیازمند انجام چندین جلسه معاینه در گذر زمان چندین هفته ای برای طراحی و نصب است. شایان ذکر است که تعداد لمینت های مورد نیاز، شرایط متقاضیان، فناوری یا تکنولوژی های درمان به همراه لابراتوار و متخصصان آن در تعیین زمان نهایی تاثیرگذار هستند.
| ردیف | مراحل | مدت زمان مصرفی (به صورت تقریبی) |
|---|---|---|
| 1️⃣ | جلسات معاینه ابتدایی | 60 الی 120 دقیقه |
| 2️⃣ | آماده سازی دندان های متقاضیان برای اجرای فرآیند قالب گیری | 60 الی 120 دقیقه |
| 3️⃣ | طراحی لمینت توسط متخصصان لابراتوار | 14 الی 28 روز |
| 4️⃣ | نصب و تثبیت موقعیت مکانی لمینت | 60 الی 120 دقیقه |
کاربرد لمینت دندان چیست؟
باید بدانید که متخصصان ترمیم و زیبایی دندانپزشکی به کمک لمینت، افزایش زیبایی بصری و اصلاح طرح لبخند را به افراد هدیه می دهند. هنگام تشخیص اختلالات ظاهری، تغییرات ساختار شکلی و عدم داشتن رنگ مناسب دندان ها توسط متخصص، یکی از راهکارهای درمانی پیشنهاد نصب لمینیت خواهد بود تا بتوان عیوب را پوشاند و از اُفت سطح زیبایی بصری لبخند جلوگیری نمود. اگر به دنبال لیست کاربرد لمینت دندان هستید تا آگاهی روشنی از پاسخ سوال “برطرف کردن کدام عیوب دندانی با نصب لمینیت امکان پذیر است؟” داشته باشید، فهرست ذیل جواب این ابهام است:
- شکل گیری تغییرات رنگی در رنگ طبیعی دندان ها
- ایجاد لب پر شدن در سطح دندان ها
- ایجاد شکستگی در دندان
- بروز ترک خوردگی در سطح لایه های متشکل دندان ها
- هم تراز کردن سطوح نامتوازن دندان های قدامی (جلویی) هر 2 فکین
- نوعی پوشش برای عدم مشاهده کجی های بسیار خفیف دندان های قدامی (جلویی) هر 2 فکین.
- نوعی روکش برای پوشاندن کوتاهی تعدادی از دندان های قدامی (جلویی) هر 2 فکین.
- نوعی روکش برای عدم مشاهده سطوح دندان های عصب کشی شده قدامی (جلویی) در هر دو فک.

فواید و مزایای لمینت دندان چیست؟
لمینت از جهات مختلف زیباسازی و همینطور ترمیم دندان، مزایای زیادی برای فرد دارد که در ادامه به مزایای لمینت دندان اشاره خواهیم کرد:
- به حداقل آماده سازی دندان نیاز دارند.
- برای نصب آن ها به تراشیدن اندک مینای دندان نیاز است.
- بسیار طبیعی و همرنگ مینای دندان هستند.
- ماندگاری بالایی دارند.
- استحکام نسبتا خوبی دارند.
- از ترک خوردن و شکستگی دندانها پیشگیری می کنند.
- بدرنگی دندانها را اصلاح می کنند.
- اصلاح طرح لبخند فرد

معایب لمینت دندان شامل چه مواردی می شود؟
با وجود تمام قابلیت ها و فواید، لمینت مانند سایر خدمات دندانپزشکی و زیبایی بدون عارضه نخواهد بود. موارد زیر مهمترین معایب و یا جوانب منفی عوارض لمینت دندان هستند:
- قابل برگشت نیستند. (چون مینا را برای نصب آن ها تراش می دهند دیگر نمی توان آن را برگرداند.)
- در صورت ابتلا به بیماری های لثه، ضعف دندان ها یا سایر موارد، لمینت ها گزینه مناسبی نیستند.
- هزینه لمینت دندان از ونیر کامپوزیت بسیار بیشتر است.
- در صورت شکسن یا ترک خوردگی، قابل تعمیر نیستند و باید آن ها را تعویض کنید.
- دندان های طبیعی شما ممکن است به درجات مختلفی از حساسیت به سرما و گرما واکنش نشان دهند. (در موارد بسیار محدود)
- ممکن است آنها دقیقاً با رنگ دندان های دیگر شما مطابقت نداشته باشد. اگر قصد سفید کردن دندان های خود را دارید، باید این کار را از قبل انجام دهید.
- اگر دندانی که ونیر پرسیلن دارد آسیب ببیند، ممکن است نیاز باشد آن را با تاج یا روکش دندان جایگزین کنید.
لمینت برای چه کسانی مناسب نیست؟
برای چسباندن این نوع ونیرهای دندانی باید از مقدار کافی مینای دندان بهره مند باشید و این مینا تراکم و بافت ایده آلی داشته باشد تا بعد از تراش دادن لایه نازکی از آن، دچار مشکل نشود. پس اگر مینای دندانتان تحلیل رفته است و یا بخشی از آن را از دست داده اید، گزینه مناسبی برای این پروسه زیبایی نیستید.
کسانی که با التهاب شدید لثه و سایر مشکلات دهان و دندان دست و پنجه نرم می کنند، نمی توانند لمینت کنند و باید در ابتدا آن مشکلات را حل کرده و سپس به سراغ لمینت بروند. اگر شما هم جزو کسانی هستید که با عاداتی مانند دندان قروچه، ناخن جویدن و … به دندانهای خود فشار زیادی وارد می کنید، باید بیخیال این درمان شوید.
👋 مطالعه این مقاله را از دست ندهید: فرق کامپوزیت و لمینت دندان
کاندیدای مناسب برای لمینت دندان چه کسانی هستند؟
از این ونیر دندان برای بهبود و زیبایی دندان های افرادی که در یکی از وضعیت های زیر قرار دارند، استفاده می شود:
- ترک خوردگی دندان ها
- لب پر شدن دندان
- کج بودن جزئی دندان ها
- وجود فاصله بین دندان ها (بیش از 0.5 میلی متر)
- تغییر رنگ دندان ها به شرطی که با روش دیگری مانند بلیچینگ دندان برطرف نمی شود.
- شلوغی دندان ها که در صورت جزئی بودن به عنوان روش جایگزین ارتودنسی دندان می توان از لمینت استفاده کرد.

قیمت لمینت دندان 1404 چقدر است؟
قیمت ونیر پرسلین در کشوری مانند آمریکا با بهترین متریال از 925 دلار تا 2500 دلار است اما به طور متوسط حدود 1500 دلار برای هر دندان هزینه بر می دارد. ما در یک مقاله مجزا به جزئیات قیمت لمینت دندان پرداخته ایم؛ چنانچه مایل هستید از محدوده قیمت این ونیر دندانی مطلع شوید کافیست روی لینک قیمت لمینت دندان کلیک کنید.

این روش دندانپزشکی ترمیمی و زیبایی به طور کلی نیاز به چندین جلسه مراجعه دارد و اگر نیاز به ویزیت بیشتر باشد یا چندین واحد لمینت لازم باشد، هزینه کلی شما ممکن است افزایش یابد. اما در حالت کلی، هزینه لمینت بین 6 تا 8 میلیون تومان به ازای هر دندان است.
👋 مقاله مرتبط: روکش دندان طلا چگونه است؟
چه عواملی بر قیمت لمینت دندان تاثیر می گذارد؟
در اصل هزینه این نوع ونیرهای دندانی بر اساس تعداد واحدهای دندان محاسبه می شود، اما عوامل دیگری نیز هستند که این قیمت را تحت تاثیر خود قرار می دهند و شامل موارد زیر می شوند:
- کیفیت مواد مصرفی
- کیفیت تجهیزات دندانپزشکی استفاده شده
- مهارت و تخصص دندانپزشک
- موقعیت مکانی کلینیک و یا مطب دندانپزشکی
لمینت دندان چقدر دوام دارد؟
ونیرهای پرسلن دندان می توانند سال های زیادی دوام بیاورند. میزان ماندگاری آنها به میزان رسیدگی به بهداشت دهان و دندان، رژیم غذایی و سلامت دندان های فرد بستگی دارد. به نظر می رسد که اگر به خوبی از آنها مراقبت شود تا 20 سال و یا حتی بیشتر عمر کنند.

آیا نصب لمینت درد دارد؟
بسیاری از دندانپزشکان و متخصصان ترمیمی و زیبایی، نوعی بی حسی را برای قسمت اول فرآیند آماده سازی و نصب آنها در نظر می گیرند. هنگامی که بیمار بی حس شد، دردی احساس نمی شود. اما اکثر افرادی که دو تا چهار لمینت نصب می کنند، بعد از نصب درد کمی تجربه خواهند کرد که خیلی زود برطرف می شود.
در نهایت افرادی که هشت عدد لمینت یا بیشتر دارند، ممکن است در لثه ها و شاید فک احساس درد کنند. این ناراحتی معمولاً خفیف است و با داروهای مسکن بدون نسخه رفع می شود.
آیا ونیر لمینت به دندان آسیب می رساند؟
ونیر پرسلن به هیچ وجه به دندان های طبیعی شما آسیب نمی رساند. در واقع این ونیرها دندان های طبیعی شما را از پوسیدگی دندان و همچنین آسیب های دیگر محافظت می کند.
از طرفی دندان هایی که با تحلیل مینا روبرو بوده و شکننده هستند، می توانند مشکلاتی برای ما ایجاد کنند. اما لمینت کردن دندان می تواند یک لایه محافظ در جلوی دندان ایجاد کند و نه تنها حساسیت آن را کاهش دهد بلکه استحکام و ماندگاری آن را نیز بیشتر می کند. بنابراین نه تنها ونیرها به دندان آسیب نمی زنند بلکه از آن محافظت نیز می کنند.
آیا لمینت دندان دچار تغییر رنگ می شود؟
هرچند که لمینت مشابه مینای دندان طراحی می شود، اما یک مزیت بزرگ در مقایسه با مینای دندان دارد. ساختار مینا متخلخل است و به همین خاطر زود دچار تغییر رنگ و لکه می شود. اما لمینت ها صاف و یکدست هستند و به سختی لکه می گیرند یا تغییر رنگ می دهند. اما با این وجود حتی لمینت ها هم می توانند دچار تغییر رنگ شوند. گذر زمان و عدم رعایت بهداشت دهان و دندان می تواند باعث ایجاد لکه شود.
موارد زیر بیشترین تاثیر را روی تغییر رنگ یا زرد شدن لمینت های دندان دارند:
- افزایش سن
- افزایش طول عمر لمینت
- وارد شدن ضربه به آن
- مصرف غذاهای رنگدانه دار
- عدم رعایت بهداشت دهان و دندان
- استفاده از خمیر دندان های ساینده
- استفاده از دهانشویه های حاوی الکل

چرا نباید از دهانشویه های حاوی الکل برای تمیز کردن ونیرهای دندانی استفاده کرد؟
از نظر فنی، اگر ونیر دندانی دارید، واقعاً نیازی به استفاده از دهان شویه ندارید. ما به افرادی که لمینیت دارند توصیه می کنیم که روزانه دو بار با خمیردندان های غیر ساینده مسواک بزنند و یک بار از نخ دندان استفاده کنند. با این کار می توانید به مناطق پنهان بین مینا و روکش دست یافته و آن را تمیز کنید.
اما چنانچه می خواهید با وجود لمینت از دهانشویه استفاده کنید، از یک دهانشویه بدون الکل استفاده کنید. دهان شویه حاوی الکل می تواند به ترکیبات اتصال دهنده لمینیت دندان شما آسیب برساند. این بدان معناست که الکل به تدریج در پیوندی که روکش دندان را نگه می دارد نفوذ کرده و آن را از بین می برد. با گذشت زمان، این موضوع می تواند منجر به شل شدن لمینت ها شود. در موارد شدید، پیوند آن چنان تضعیف می شود که ونیرها می افتند.
آیا می توان لمینت دندان را سفید کرد؟
اگر لمینت شما تغییر رنگ داده (رنگ آن زرد یا قهوه ای شده) ممکن است وسوسه شوید برای سفید کردن آن ها در خانه اقداماتی انجام دهید. اما بهتر است بدانید که ونیرها به روش های سفید کردن دندانها در خانه پاسخ نمی دهند. بهترین کار این است که برای بلیچینگ دندان به مطب یک متخصص ترمیمی و زیبایی مراجعه کنید. این متخصص به خوبی تغییر رنگ لمینت و لکه های آن را از بین می برد. اگر به هر دلیلی خواستید به روش خانگی لمینت ها را سفید کنید حتما پیش از آن با متخصص ترمیمی و زیبایی دندان مشورت کنید.
آیا جایگزینی برای لمینت دندان وجود دارد؟
به جای این ونیرها می توان از باندینگ کامپوزیت دندان استفاده کرد. اگر دندان آسیب زیادی داشته باشد نیز می توان از روکش دندان برای ترمیم و زیباسازی دندان استفاده کرد. به طور معمول بین 0.5 میلی متر – 0.7 میلی متر دندان تنظیم می شود تا فضای مناسبی برای روکش پرسلن روی سطح دندان ایجاد شود بدون اینکه حجیم به نظر برسد.
پاسخ به سوالات رایج درباره لمینت سرامیکی
به طور معمول بین 0.5 تا 0.7 میلی متر از ضخامت مینای دندان برداشته می شود. دلیل آن نیز همانطور که در مقاله ذکر شد، جلوگیری از برآمدگی لمینت روی دندان و هماهنگ شدن آن با دندانهای مجاور است.
بله با توجه به اینکه برای نصب آن ها ضخامت مینا تراش خورده و این بخش برداشته شده قابل ترمیم نیست و باید برای همیشه از لمینت استفاده کرد.
برای نصب این ونیرها لازم است تا تمام دندان های دائمی در آمده باشند و یکی از شرایط داخل مقاله را نیز داشته باشید. برای مثال دندان تحلیل رفته باشد، ترک خورده، شکسته یا دچار تغییر رنگ شده باشد و …
هزینه این نوع ونیرها به ازای هر دندان چیزی بین 2.0 تا 3.2 میلیون تومان است.
افراد بزرگسال واجد شرایط می توانند لمینت نصب کنند. کودکان به هیچ عنوان واجد شرایط این پروسه نیستند.
نصب لمینت اغلب به دو جلسه مراجعه جداگانه نیاز دارد و تنها در موارد خاصی ممکن است این جلسات از 2 تا بیشتر شود.