یکی از مهمترین مواد بکار رفته در دندانپزشکی، ماده کامپوزیت دندان است که بسیار کاربردی است و در بخش های مختلف دندانپزشکی برای مصارف مختلف بکار گرفته می شود. طرفداران ماده کامپوزیت به قدری افزایش یافته است که متخصصان ترمیم و زیبایی دندان برای پر کردن دندان، دیگر کمتر از ماده آمالگام استفاده می کنند. اگر این نوشتار را بخوانید، بار دیگری که به کلینیک دندانپزشکی مراجعه کنید، تصویر واضح و بهتری از کامپوزیت در ذهن شما نقش ببندد. پایگاه سلامت دنیای دندان قصد دارد تمام ابهامات مرتبط با این موضوع را مورد بررسی قرار دهد؛ همراه ما باشید.
| ردیف | نوع کامپوزیت | سطح جلوه زیبایی بصری | سطح استحکام و مقاومت | مدت زمان دوام (بر حسب سال) | هزینه پرداختی |
|---|---|---|---|---|---|
| 1️⃣ | روکش سرامیکی | همانند دندان های طبیعی | قدرتمند | 10 تا 15 | گران ترین |
| 2️⃣ | رزین کامپوزیت | مناسب | قابل قبول | 4 تا 6 | تقریبا اقتصادی |
| 3️⃣ | آی پی اس | همانند دندان های طبیعی | زیاد | 8 تا 12 | نسبتا زیاد |
| 4️⃣ | میکروفیل | ایده آل | ضعیف | 3 تا 5 | اقتصادی |
| 5️⃣ | ماکروفیل | قابل قبول | زیاد | 4 تا 6 | ارزان ترین |
| 6️⃣ | نانوفیل | ایده آل | زیاد | 8 تا 10 | بین اقتصادی تا گران |
| 7️⃣ | هیبریدی | مناسب | زیاد | 6 تا 8 | اقتصادی |
| 8️⃣ | نانوهیبرید | ایده آل | زیاد | 8 تا 12 | مقرون به صرفه |
| 9️⃣ | فلو | مناسب | قابل قبول | 3 تا 5 | ارزان |
| 🔟 | ونیر کامپوزیت | همانند دندان های طبیعی | زیاد | 5 تا 8 | بین اقتصادی تا گران |
کامپوزیت دندان چیست؟
ماده مصنوعی کامپوزیت از تلفیق چندین ماده متفاوت شکل می گیرد. باید بدانید که اجزای متشکل کامپوزیت دارای ویژگی های منحصر به فرد و متفاوتی با یکدیگر هستند. این ماده ترکیبی از چندین مواد، تمام ویژگی های غیر قابل توصیف و مفید اجزای سازنده را در یک قاب دارا می باشد. ساده ترین کاربرد کامپوزیت دندان برای ترمیم و پر کردگی دندان های دچار مشکل پوسیدگی است. اما باید بدانید که برخی مواقع از ماده کامپوزیت نقش نوعی پوشش عیوب ظاهری دندان را بر عهده دارد؛ این روش با نام باندینگ یا روکش کامپوزیت و ونیر کامپوزیت شناخته می شود.

ونیر دندان نوعی روکش ها و پوسته های نازک و همرنگ دندان هستند که به جهت زیبایی به دندان ها متصل می شوند و عیوب ظاهری دندان ها مانند تغییر رنگ، لب پر شدگی، شکستگی، ترک خوردگی، کوتاهی و فاصله بین دندان ها و …. را پوشش می دهند. ما دو نوع ونیر دندانی به نام های لمینت دندان و ونیر کامپوزیت داریم که احتمالا نام هر دو را شنیده اید. لمینت ها از جنس سرامیک هستند و برای ساخت ونیر کامپوزیت نیز از رزین کامپوزیت استفاده می شود. بیشترین کاربرد کامپوزیت دندان در دندانپزشکی زیبایی، استفاده از آن برای فرآیند اصلاح طرح لبخند در قالب ونیر دندانی است.
انواع کامپوزیت دندان را بشناسید …
دسته بندی انواع کامپوزیت دندان بسته به نوع طراحی ساختاری، کاربردهای درمانی، مشخصات و پارامترهای فنی متفاوت است. شایان ذکر است که ویژگی های هر دسته بندی نوع کامپوزیت نظیر سطح مقاومت، مقدار شفافیت، میزان استحکام جهت مقابله با سایش، تطبیق پذیری با رنگ سایر دندان های طبیعی و توانایی هم پوشانی مطرح است. انتخاب بهترین نوع کامپوزیت دندان بعد از ارزیابی وضعیت دهان بیمار توسط متخصص ترمیمی و زیبایی با در نظر گرفتن نیازهای فردی ارائه می شود. انواع کامپوزیت دندان عبارت اند از:
- روکش های سرامیکی؛
- رزین کامپوزیت؛
- کامپوزیت ای پی اس؛
- کامپوزیت میکروفیل؛
- کامپوزیت ماکروفیل؛
- کامپوزیت نانوفیل؛
- کامپوزیت هیبریدی؛
- کامپوزیت نانوهیبرید؛
- کامپوزیت فلو؛
- ونیر کامپوزیت؛
نوع شماره 1؛ روکش های سرامیکی مواد پرسلن
محبوب ترین و پرطرفدارترین انواع کامپوزیت دندان با نام روکش های سرامیکی مواد پرسلن شناخته می شود. این نوع از کامپوزیت دارای بالاترین سطح استحکام و مقاومت در برابر تغییر رنگ و فشارهای ورودی است. بهترین دندانپزشک کامپوزیت برای نصب روکش دندان های دچار آسیب دیدگی یا شکستگی، روکش های سرامیکی متشکل از مواد پرسلن را در نظر می گیرد تا جلوه بصری بسیار زیبا و طبیعی همانند دندان های اصلی را به بیمار هدیه دهد.

نوع شماره 2؛ روکش متشکل از مواد رزین کامپوزیت
آیا می دانید که چرا دندانپزشکان متخصص ترمیم و زیبایی از روکش های کامپوزیتی مواد رزین جهت ترمیم ساختار دندان صدمه دیده یا افزایش جلوه بصری زیبایی دندان کمک می گیرند؟ بالا بودن قابلیت تغییر شکل و قادر به اعمال تغییرات فرم پذیری. عموم کاربرد این نوع از انواع کامپوزیت دندان بیشتر در درمان و رفع نواقص جزئی خفیف نظیر تغییرات رنگی سطوح دندانی، لب پر شدن یا پرکردن فواصل بین دندانی خلاصه می شود.

نوع شماره 3؛ کامپوزیت های IPS
طراحی و ساخت کامپوزیت های IPS نیازمند تکنولوژی مدرن و بروز به همراه مواد متشکل سرامیکی نوین ارتقایافته است. پوشش گسترده کاربردهای روکش های کامپوزیت IPS توسط جامعه دندانپزشکان متخصص ترمیم و زیبایی به دلایل ساختار پیشرفته پروسه طراحی، بالا بودن سطح مقاومت، مدت زمان دوام قابل توجه و جلوه بصری کاملا طبیعی مانند دندان های اصلی، غیر قابل توصیف است. همچنین، کامپوزیت IPS برای نصب روی ساختار و سطوح متشکل لمینت سرامیکی کاربرد گسترده ای دارد.

نوع شماره 4؛ کامپوزیت میکروفیل
اندازه ذرات متشکل کامپوزیت میکروفیل از آن چیزی که تصور کنید، بسیار ریزتر است. آیا می دانید که ذرات ریز متشکل کامپوزیت میکروفیل قادر به ایجاد سطحی کاملا صاف بر روی سطوح لایه های متشکل دندان هستند؟ یا می دانید که این ذرات بالاترین سطح براقی و درخشانی روکش سطوح دندانی را به همراه دارد؟ بخش گسترده کاربرد کامپوزیت میکروفیل در دندان های قدامی (جلویی) فکین فوقانی و تحتانی خلاصه می شود. کمترین سطح مقاومتی انواع کامپوزیت دندان متعلق به روکش های کامپوزیت میکروفیل است.

نوع شماره 5؛ کامپوزیت ماکروفیل
این نوع از کامپوزیت بر خلاف کامپوزیت میکروفیل متشکل از ذرات درشت است. طبیعی است که ذرات درشت تر از سطح بالاتری برای مقابله با فشار و ساییدگی برخوردار هستند. همچنین شایان ذکر است که فشار وارده بر دندان های خلفی (پشتی) از قدامی (جلویی) بیشتر می باشد؛ اگر قرار است که کامپوزیت بر روی دندان های خلفی نصب شود، متخصص ترمیم و زیبایی از کامپوزیت ماکروفیل استفاده خواهد کرد. باید بدانید که سطح براقی این کامپوزیت کمتر است و احتمال زبر به نظر آمدن لایه های سطوح متشکل آن وجود دارد.

نوع شماره 6؛ کامپوزیت نانوفیل
اگر دندانپزشک متخصص ترمیم و زیبایی تصمیم بر نصب یک روکش از میان انواع کامپوزیت دندان بر روی سطوح دندان های جلویی و پشتی در نظر بگیرد، از کامپوزیت نانوفیل استفاده خواهد کرد. ذرات ریز متشکل کامپوزیت نانوفیل با فناوری نانو طراحی می شوند. ذرات متشکل این کامپوزیت قادر به ایجاد برقراری تعادل میان سطح مقاومت و جلوه بصری زیبایی است.

نوع شماره 7؛ کامپوزیت هیبریدی
اما شاید برای شما سوال شود که اگر ذرات متشکل یک کامپوزیت در ترکیب اندازه های درشت و ریز شکل گیرد، کدام نوع از انواع کامپوزیت دندان است؟ پاسخ این ابهام کامپوزیت هیبریدی است. ترکیب شدن ذرات درشت و ریز باعث افزایش سطح مقاومت برای مقابله با فشاروهای ورودی به سطوح دندانی می شود. همچنین سطح زیبایی جلوه بصری خروجی از نصب کامپوزیت هیبریدی قابل قبول است. اگر دندانپزشک ترمیم و زیبایی تشخیص دهد که بیمار نیازمند ترمیم های گسترده و بازسازی نواحی دارای سطح بالای فشار ورودی است، این کامپوزیت را در نظر می گیرد. کامپوزیت هیبریدی در ترمیم دندان های آسیاب کوچک و بزرگ نقش بسزایی دارد.

نوع شماره 8؛ کامپوزیت نانوهیبرید
حالا فرض کنید که طراحی کامپوزیت هیبریدی و کامپوزیت نانوفیل با یکدیگر تلفیق شود؛ طراحی ذرات ریز و درشت متشکل کامپوزیت نانوهیبرید با فناوری بروز و تکنولوژی پیشرفته نانو. کامپوزیت نانوهیبرید تضمین دهنده بهترین کیفیت پکیج مقاومت بالا، جلوه بصری عالی و مدت زمان دوام ایده آل است. کامپوزیت نانوهیبرید یکی دیگر از انواع کامپوزیت دندان است که دندانپزشک متخصص ترمیم و زیبایی بعد از ارزیابی اولیه وضعیت بیمار احتمال دارد برای ترمیم دندان های آسیب دیده قدامی و خلفی در نظر گیرد. نگران سایش سطوح متشکل کامپوزیت نباشید؛ کامپوزیت نانوهیبرید با طراحی بسیار حرفه ای مانع از شکل گیری این عارضه می شود.

نوع شماره 9؛ کامپوزیت فلو
بافت های متشکل کامپوزیت فلو بسیار نرم هستند. شاید برایتان جالب باشید که بدانید کامپوزیت فلو به عنوان بهترین کامپوزیت جهت پرکردن شکاف های کوچک و نواحی باریک دندانی شناخته می شود. اگر دندانپزشک متخصص ترمیم و زیبایی تشخیص دهد که ناحیه درمانی نیازمند دسترسی دشوار و سخت است، احتمال دارد از این کامپوزیت برای ترمیم و درمان استفاده کند.

نوع شماره 10؛ ونیر کامپوزیت دندان
ونیر کامپوزیت نسخه نازک تر نوع رزین کامپوزیت است که بر روی سطوح جلویی دندان قرار می گیرد تا جلوه بصری دیداری را زیبا سازد. کاربرد ونیر کامپوزیت در اصلاح سازی ترک خوردگی، شکستگی، تغییرات رنگی و پرکردن فواصل بین دندانی (اگر غیر عادی باشد) خلاصه می شود. دلایل محبوب بودن ونیر کامپوزیت دندان عبارت اند از:
- آسان بودن تغییر شکل
- کم بودن هزینه پرداختی
- نیازمندی به تراش خوردگی بافت های متشکل مینای دندان برای نصب در مقایسه با ونیرهای سرامیکی
- کوتاه بودن مدت زمان نصب
لازم به ذکر است که مدت زمان ماندگاری ونیر کامپوزیت حدود 3 تا 5 سال است و از سطح مقاومت کمتری برخوردار می باشد.

بهترین برند کامپوزیت دندان چیست؟ (5 برند محبوب)
ترمیمی یا زیبایی بودن فرآیند درمان، نصب کامپوزیت بر روی دندان های قدامی و خلفی، میزان تخصص و تجربه دندانپزشک معالج و بودجه هزینه پرداختی توسط بیمار در تعیین بهترین برند کامپوزیت دندان تاثیرگذار هستند. بدون تردید برخی از برندهای کامپوزیت به دلیل قوی بودن سطح فرمولاسیون، کیفیت بالای خروجی، مدت زمان ماندگاری و میزان زیبایی جلوه بصری دیداری، از نظر دندانپزشکان متخصص ترمیم و زیبایی محبوب تر می باشند. با توجه به تحقیقات و اطلاعات موجود، بهترین برندهای کامپوزیت عبارت اند از:
- سارمکو (Saremco): برند تولیدی از کشور سوئیس با تکنولوژی منحصر به فرد برای خلق کامپوزیتی با مدت زمان ماندگاری بالا و سطح استحکام قدرتمند جهت مقابله با فشارهای ورودی.
- کولتن (Coltene): برند تولیدی دیگری از کشور سوئیس که قادر به تغییر شکل راحت و آسان در کنار خلق جلوه بصری دیداری کاملا طبیعی همانند دندان های اصلی است.
- توکویاما (Tokuyama): برند تولیدی کشور ژاپن با موادی که از طریق تکنولوژی و فناوری پیشرفته تولید می شود. این کامپوزیت از سطح بالای استقامت برای مقابله با نشست لکه و تغییرات رنگی بر روی سطوح متشکل خود برخوردار است. طیف رنگی کامپوزیت توکویاما متنوع می باشد.
- بیسکو (Bisco): برند تولیدی کشور آمریکا که از سطح تطبیق پذیری بالا برای سازگاری با بافت های متشکل دهان جهت جلوگیری از فعال شدن واکنش های حساسیتی برخوردار است. استقامت و مقاومت کامپوزیت بیسکو غیر قابل توصیف است.
- ایوکلار ویوادنت (Ivoclar Vivadent): معروف ترین برند تولیدی کامپوزیت های نانوهیبرید. ارائه یک سطح کاملا صاف (بدون احساس زبری) با سطح مقاومت بسیار ایده آل جهت قرارگیری بر روی دندان های قدامی و خلفی.
کامپوزیت دندان چگونه انجام می شود؟
شاید برای شما هم سوال شود که مراحل کامپوزیت دندان به چه صورت است. باید بدانید اجرای فرآیند کامپوزیت تنها بر نصب آن ها روی لایه های متشکل سطوح دندانی خلاصه نمی شود. انجام فرآیند قرارگیری کامپوزیت در ابتدا با ارزیابی اولیه در جلسه معاینه و مشاوره شروع شده و سپس با اجرای عملیات آماده سازی اولیه واحد های دندانی به همراه ایجاد تغییرات ظاهری و صیقل دادن سطوح آن ها به اتمام می رسد. لازم به ذکر است که میزان تجربه و سطح تخصص دندانپزکش متخصص ترمیم و زیبایی انتخابی توسط متقاضی در نتایج موفقیت آمیز درمان بسیار حائز اهمیت است. دندانپزشک متخصص ترمیم و زیبایی باید با استفاده از تجهیزات پیشرفته و مواد باکیفیت پروسه درمان را انجام دهد. جدول بخش ذیل به بررسی مراحل انجام کامپوزیت می پردازد:
| ردیف | مراحل | توضیح مختصر |
|---|---|---|
| 1️⃣ | برگذاری جلسات معاینه و مشاوره اولیه از سلامت وضعیت دهان بیمار | + ارزیابی اولیه وضعیت دهان + بررسی انتظارات متقاضی برای ارائه بهترین برنامه ریزی مسیر درمان |
| 2️⃣ | انجام عملیات آماده سازی دندان ها | + پاکیزه سازی آلودگی های دندانی + اجرای عملیات تراشیدن بافت های متشکل مینای دندان (اگر دندانپزشک معالج تشخیص دهد) |
| 3️⃣ | انتخاب بهترین رنگ کامپوزیت برای نصب | + در نظر گرفتن رنگ پوست، چشم و دندان های اصلی برای ایجاد تطابق رنگی |
| 4️⃣ | قرارگیری مواد متشکل کامپوزیت | + قرارگیری مواد متشکل کامپوزیت بر روی سطوح دندانی |
| 5️⃣ | لایت کیور | + تاباندن پرتوهای نور آبی مخصوص + جهت تقویت سطح اتصال بین مواد متشکل کامپوزیت با سطوح دندان |
| 6️⃣ | فرم دادن به سطوح دندان | + استفاده از تجهیزات مخصوص برای شکل گیری بهترین فرم دندان + شکل دادن به سطوح دندان |
| 7️⃣ | پالیش کردن سطوح دندان | + نابودی سطوح غیرطبیعی دندان با ظاهری غیرصاف + صیقل دادن به سطوح دندانی |
| 8️⃣ | ارزیابی جفت شدن واحدهای دندانی فکین فوقانی و تحتانی | + تنظیم جفت بودن دندان های بالا و پایین در زمان بسته شدن دندان |
کاندیدای مناسب کامپوزیت دندان چه کسانی هستند؟
مهم ترین نکته در رابطه با موضوع کامپوزیت دندان، قرارگیری متقاضی در لیست کاندیداهای مناسب است. تکنیک درمانی نصب کامپوزیت جهت اجرای فرآیندهای ترمیم و زیبایی برای افرادی توصیه می شود که در حال دست و پنجه نرم کردن با مشکلات خفیف و جزئی هستند. باید بدانید که لیست کاندیداهای مناسب نصب کامپوزیت از سلامت کامل عمومی لثه و دندان برخوردار هستند. شایان ذکر است که حضور مشکلات دندانی نظیر پوسیدگی های شدید، شکستگی های سطوح دندان و خرابی آن ها در این افراد وجود ندارد.

اگر شما با بیماری عفونت لثه در حال دست و پنجه نرم کردن هستید، جز کاندیداهای مناسب نصب کامپوزیت قرار نمی گیرید. به طور کلی افراد مناسب برای کامپوزیت عبارت اند از:
- شکستگی های بسیار کوچک و خفیف سطوح دندانی
- لکه های نشسته بر روی سطوح دندانی
- زرد شدن لایه های دیداری دندان
- پرکردن دندان با مواد کامپوزیت
- کم کردن سطح فواصل بین واحدهای دندانی
- جلوگیری از فرسایش بیشتر بافت های متشکل مینای دندان
- …
اگر به دنبال پاسخ سوال “درمان ونیر یا کامپوزیت برای چه کسانی توصیه می شود؟” هستید، پیشنهاد می کنیم که صحبت های دکتر هادی درویش پور را در این رابطه گوش دهید:
کاندیدای نامناسب کامپوزیت چه کسانی هستند؟
اگر بدون تایید توسط دندانپزشک متخصص ترمیم و زیبایی بعد از ارزیابی اولیه وضعیت دهان، تصمیم بر نصب کامپوزیت در نظر بگیرید احتمال شکست پروسه درمان وجود دارد. فرآیند نصب کامپوزیت دندان همانند سایر عملیات های درمانی مشکلات دهانی نیازمند داشتن شرایط ویژه ای است. اگز جزو افراد فهرست بخش ذیل قرار دارید، نباید برای نصب کامپوزیت اقدام نمایید:
- عدم رعایت بهداشت دهان و دندان: در صورت عدم تعهد به اجرای منظم نکات بهداشت دهان، احتمال شکل گیری مشکلات دهانی نظیر پوسیدگی دندان و التهاب لثه افزایش خواهد یافت.
- دندان قروچه دارید: اعمال فشار از طریق دندان های فکین فوقانی و تحتانی بر روی یکدیگر، باعث شکسته شدن یا سایش سطوح کامپوزیت خواهد شد.
- بیماری های لثه دارید: باعث تضعیف نقطه اتصال بین کامپوزیت و لثه می شود؛ بیماری های لثه باعث آسیب دیدگی به کامپوزیت شده تا فرآیند درمان با شکست به اتمام برسد.
- پوسیدگی دندان دارید: ابتدا باید پوسیدگی را درمان نمایید و سپس به نصب کامپوزیت اقدام نمایید تا با مانعی در حین مسیر موفقیت درمان رو به رو نشوید.
- دندان های ضعیف دارید: ابتدا باید قوای دندان را تقویت نمایید.
- انتظارات واقع بینانه ندارید: برداشت های اغراق آمیز از نتیجه درمان نداشته باشید.
- حضور استعمال دخانیات و مصرف الکل در روتین زندگی: دشمن اصلی مراقبت از کامپوزیت دندان. ترکیبات متشکل دخانیات و الکل قادر به ایجاد تغییرات رنگی کامپوزیت هستند.
- برنامه غذایی نامناسب دارید: پرهیز از جویدن مواد تغذیه ای با بافت سفت، سخت و تیز برای جلوگیری از وارد شدن آسیب به سطوح کامپوزیت.
- حضور مشکلات فکی و ناهنجاری های دهانی: ابتدا باید ناهنجاری های دهانی و بی نظمی های دندانی را درمان کنید.

معرفی مزایای کامپوزیت دندان ها (شناخت 7 تا از فواید کامپوزیت)
دلایل محبوبیت روز افزون نصب کامپوزیت عبارت اند از:
- ارائه جلوه بصری کاملا طبیعی: پوشش گسترده رنگ کامپوزیت باعث ایجاد هماهنگی و تطابق رنگی با رنگ واحدهای دندانی اصلی می شود.
- مقرون به صرفه بودن هزینه پرداختی درمان: مهم ترین فرق کامپوزیت و لمینت دندان یعنی هزینه پرداختی درمان. هزینه کامپوزیت به مراتب از لمینت سرامیکی کمتر است.
- نیاز به اجرای فرآیند تراشیدن زیاد دندان ندارد: حداکثر 0.7 میلی متر از بافت های متشکل مینای دندان تراش می خورند. در بسیاری از مواقع اصلا دندانپزشک متخصص ترمیم و زیبایی تصمیم بر انجام فرآیند تراشیدن بافت های متشکل مینای دندان ندارد.
- برخورداری از قابلیت ترمیم شدن: با وارد شدن صدمه از سوی عوامل طبیعی و غیرطبیعی به کامپوزیت یا مشاهده لب پر شدن سطوح متشکل آن، اجرای فرآیند ترمیم به آسانی امکان پذیر است و نیازمند تعویض کامل واحد کامپوزیت نخواهد بود.
- مدت زمان کوتاه برای نصب: اجرای فرآیند نصب کامپوزیت بر روی سطوح دندانی نیازمند زمان زیادی نیست؛ نهایتا 2 جلسه.
- عدم تحریک بافت های لثه برای شکل گیری مشکلات مختلف مرتبط با آن: اگر فرآیند نصب کامپوزیت بدون نقص و با دقت بالا توسط متخصص باتجربه و حاذق صورت گیرد.
- بالا بودن سطح انعطاف پذیری: اصلاح شکستگی های سطوح دندانی یا لب پر شدن آن.

کاربرد کامپوزیت دندان چیست؟
1. ترمیم اینله دندان
دندان هایی که دچار آسیب دیدگی یا پوسیدگی جزئی می شوند را با کمک مواد پر کننده ترمیم می کنند. اما اگر پوسیدگی گسترده باشد، با روش معمول و رایج پر کردن دندان، نمی توان آن ها را ترمیم و درمان کرد. مثلا دندان های آسیاب که پهن تر هستند و سطوح بزرگتری دارند اگر دچار پوسیدگی گسترده در سطح جونده شوند باید با روش هایی مانند اینله و انله ترمیم شوند.

اینله نوعی ترمیم غیر مستقیم است که در چنین مواقعی کاربرد دارد. اگر پوسیدگی دندان در سطج جونده زیاد باشد و هنوز لبه های دندان را درگیر نکرده باشد، برای ترمیم آن از اینله استفاده می شود.
2. ترمیم انله دندان
انله نیز مشابه با اینله نوعی ترمیم غیر مستقیم است به این معنی که در لابراتوار ساخته می شوند. دندانپزشک ابتدا دندان آسیابی که دچار پوسیدگی دندان وسیع شده را از پوسیدگی و خرابی نجات می دهد (پوسیدگی را می تراشد) و بعد از آن از دندان قالب می گیرد. قالب به لابراتوار فرستاده می شود و سپس بر اساس آن ترمیم اینله و انله ساخته می شوند.
انله ترمیمی وسیع تر از انله است. به این شکل که اگر دندانی سطح جونده اش پوسیده باشد و به لبه ها نیز رسیده باشد، دیگر با اینله ترمیم نمی شود و باید آن را انله کرد. معمولا اینله و انله از جنس آمالگام یا کامپوزیت و یا سرامیک هستند. البته این روزها استفاده از کامپوزیت دندان برای ساخت این دو نوع ترمیم رایج تر است.
3. بریج دندان
بریج دندان نوعی پروتز دندانی است که جایگزین 1 یا تعداد معدودی دندان از دست رفته می شود. آن ها به نسبت ایمپلنت دندان هزینه کمتری دارند و کمی شکیل تر از دنچر یا دندان مصنوعی هستند.
انواع مختلف بریج دندان وجود دارد که هر کدام مناسب شرایط خاصی هستند. برای متصل کردن بریج معمولا می توان از چسب مخصوص یا کامپوزیت دندان استفاده کرد. کامپوزیت که ابتدا به حالت خمیری است به دندان متصل می شود و سپس با نور سفت و سخت می شود. (لازم به ذکر است که خود بریج از جنس کامپوزیت نیست بلکه با کامپوزیت به دندان های دیگر متصل می شود.)

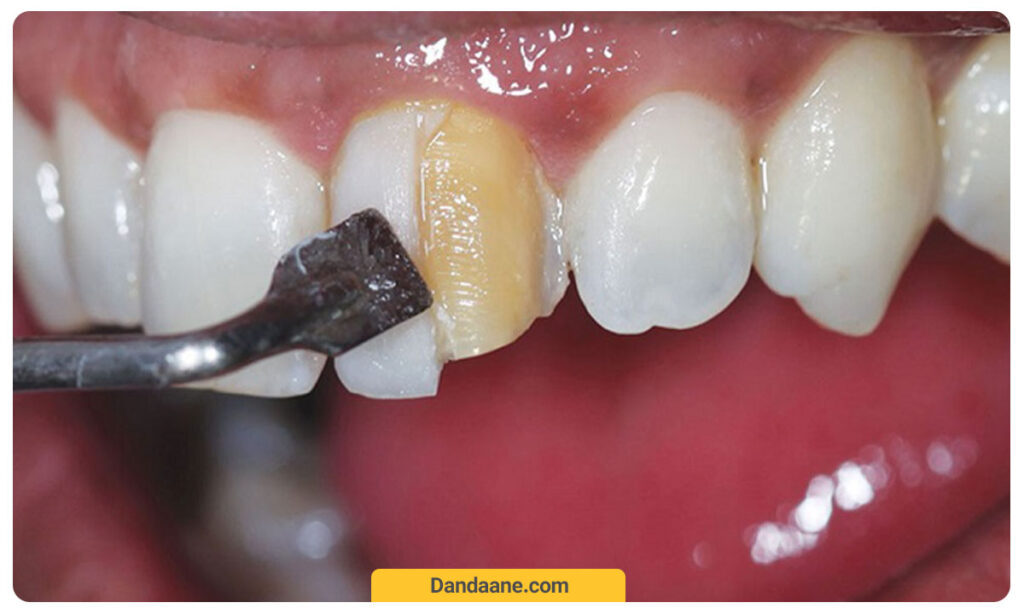
4. پر کردن دندان (اصلی ترین کاربرد کامپوزیت دندان در دندانپزشکی)
در دندانپزشکی، دندان های آسیب دیده (معمولا بر اثر پوسیدگی دندان) را با کمک مواد مخصوصی ترمیم می کنند. بعد از آنکه محل پوسیدگی را به اندازه کافی تراشیدند تا پوسیدگی از بین برود، حفره ای به جای می ماند که آن حفره را با کمک مواد پر کننده دندان مهر و موم می کنند. یکی از مواد پر کننده بسیار مهم در دندانپزشکی برای ترمیم دندان و یا پر کردن این حفره کامپوزیت دندان است. کامپوزیت همرنگ دندان بوده و ترمیم بسیار خوبی برای دندان های پوسیده است.
سایر مواد پر کننده دندان که این روزها برای ترمیم به کار می روند طلا، آمالگام و سرامیک هستند. البته مواد دیگری هم بکار گرفته می شوند اما این 4 مورد از همه پرطرفدارتر و رایجتر هستند.

امروزه در بیشتر کشورهای توسعه یافته به جای آمالگام از کامپوزیت جهت ترمیم و پر کردن دندان ها استفاده می شود. کامپوزیت هیچ عوارضی برای دندان ندارد و به راحتی به دندان متصل می شود. یکی از مزایای کامپوزیت این است که برای اتصالش نیاز کمتری به تراش دندان است این در حالی است که برای اتصال آمالگام باید میزان بیشتری از دندان تراش بخورد.
این نوشته به دردتون می خوره :
5. ارتودنسی دندان
یکی از مصارف بسیار رایج کامپوزیت در دندانپزشکی، کمک به اتصال براکت های ارتودنسی دندان به سطح دندان ها است. متخصص ارتودنسی برای اینکه بتواند براکت ها را به دندان متصل کند، باید از یک ماده خوب، چسبنده و مستحکم استفاده کند که در اغلب اوقات این ماده رزین کامپوزیت است.
عوارض کامپوزیت دندان چیست؟
هزینه پرداختی مقرون به صرفه، سریع بودن مدت زمان نصب و جلوه زیبای بصری طبیعی، دال بر عدم وجود معایب و عوارض کامپوزیت دندان نیست. سطح بروز، نمایان شدن و تشدید عوارض کامپوزیت به دلایل مختلفی نظیر مهارت و تجربه ناکافی دندانپزشک متخصص ترمیم و زیبایی معالج، نقص فرآیند نصب صحیح کامپوزیت، عدم درمان مشکلات دهانی قبل از اجرای عملیات، مواد مصرفی بی کیفیت یا نادرست و عدم اجرای نکات بهداشت دهان توسط بیمار بستگی دارد.
در قدم اول، باید بدانید که برای جلوگیری از شکل گیری بیشتر عوارض احتمالی لازم است تمام نکات بهداشت دهان بعد از کامپوزیت رعایت شود. در قدم دوم، از مسیر درمان نتایج موفقیت آمیز غیر واقع بینانه انتظار نداشته باشید. لیست کامل عوارض و معایب کامپوزیت دندان در فهرست بخش ذیل قابل مشاهده است:
- شکل گیری لکه های رنگی بر روی سطوح کامپوزیت با گذشت زمان
- مدت زمان ماندگاری بیشتر لمینت سرامیکی نسبت به کامپوزیت
- احتمال شکل گیری لب پر شدن سطوح کامپوزیت
- احتمال شکل گیری ترک خوردگی سطوح کامپوزیت
- نیازمند ترمیم سطوح کامپوزیت به صورت دوره ای و مداوم
- فعال شدن واکنش های حساسیتی به تغییرات دمایی بعد از نصب کامپوزیت
- افزایش احتمال شکل گیری مشکل پوسیدگی زیر نواحی کامپوزیت (در صورت قرارگیری نامناسب و نادرست کامپوزیت)
- افزایش احتمال سایش سطوح متشکل کامپوزیت (ناشی از قرارگیری نادرست دندان های رو به رو هم در فکین فوقانی و تحتانی)
- شکل گیری بوی بد دهان (ناشی از نصب غیراصولی و نادرست روکش بر روی سطوح دندان)
- امکان مشاهده ناهماهنگی بین رنگ مواد متشکل کامپوزیت با سایر دندان های اصلی (در صورت انتخاب نادرست بهترین متخصص ترمیم و زیبایی)
- مشاهده زبری سطوح دندان پس از نصب کامپوزیت (متخصص ترمیم و زیبایی باید دارای تجربه کافی و تخصص بالا باشد)
- مشاهده فواصل بین دندانی (اگر فرآیند نصب با دقت انجام نشود)
ارزیابی جزئیات عکس کامپوزیت دندان قبل و بعد
بخش بالایی عکس قبل از کامپوزیت بخش ذیل با نواص جزئی نظیر حضور فواصل بین دندانی، کمی زرد شدن سطوح دندان، وجود لب پر شدن، فرسایش بافت های مینای دندان، شکستگی های خفیف و عدم تطبیق پذیری در شکل و اندازه آن ها قابل مشاهده است. نواقص خفیف مذکور در جلوه زیبایی بصری طرح لبخند تداخل ایجاد کرده است.

حال قسمت پایین تصویر را مشاهده کنید؛ با پر کردن فواصل بین دندانی، پوشش بافت های مینای دندان، تطابق رنگی بین دندان ها و پولیش دقیق آن ها، تاثیر بسیار مثبتی در زیبایی لبخند ایجاد شده است. چنین لبخند زیبا و منحصر به فردی در افزایش سطح اعتماد به نفس نقش بسزایی دارد.
مراقبت های بعد از کامپوزیت دندان چیست؟
باید بدانید که ماندگاری مدت زمان نتایج موفقیت آمیز نصب کامپوزیت، نیازمند رعایت تمام دستورالعمل های پزشکی تجویزی از سوی متخصص معالج است. مهم ترین لیست مراقبت های بعد از کامپوزیت در فهرست بخش ذیل قابل مشاهده است:
- ممنوعیت میل کردن مواد غذایی با بافت سفت و سخت: جایگزین با لیست غذاهایی با بافت نرم.
- ممنوعیت مصرف مواد غذایی یا نوشیدنی های داغ: تضعیف بافت های متشکل کامپوزیت.
- ممنوعیت عدم رعایت بهداشت دهان: بعد از مصرف مواد غذایی حاوی رنگ دانه حتما مسواک بزنید. حداقل 2 بار در طول روز از نخ دندان برای بیرون کشیدن ذرات مواد غذایی بین فواصل دندان استفاده کنید.
- ممنوعیت جویدن و گاز زدن اجسام سخت: مانند خودکار و یخ.
اگر به دنبال دستیابی به نهایت نتایج موفق از نصب کامپوزیت هستید، علاوه بر رعایت مراقبت های ضروری، در انتخاب بهترین متخصص ترمیم و زیبایی دقت کنید.
بیش تر بخوانید: بهترین دکتر کامپوزیت دندان در تهران
هزینه کامپوزیت دندان در سال 1404 چقدر است؟
هزینه کامپوزیت دندان در ایران در سال 1404 با توجه به تجربه و تخصص دندانپزشک متخصص ترمیم و زیبایی، موقعیت جغرافیایی مرکز درمانی، نوع کامپوزیت و رفع مشکلات قبل درمان به ازای هر واحد حداقل 4.5 میلیون تومان و حداکثر 6 میلیون تومان تخمین زده می شود.
پاسخ به سوالات رایج
ارتودنسی دندان برای اصلاح ناهنجاری های غیرخفیف فکین و درمان نامرتبی دندان ها کاربرد دارد. کامپوزیت برای زیباسازی ظاهر دندان آسیب دیده و درمان عیوب و نواقص بسیار خفیف و جزئی کاربرد دارد. انتخاب بهترین روش درمانی پس از ارزیابی دقیق وضعیت دهان، بررسی سطح شدت نواقص و ناهنجاری ها توسط دندانپزشک متخصص اعلام می شود.
بله، فرآیند نصب کامپوزیت یک روش برگشت پذیر است. متخصص ترمیم و زیبایی با تجهیزات تخصصی دندانپزشکی به برداشتن کامپوزیت از روی سطح لایه های متشکل دندان می پردازد. در انتخاب بهترین متخصص ترمیم و زیبایی دندان دقت نمایید؛ اجرای فرآیند برداشتن کامپوزیت نیازمند مهارت بالا و تجربه کافی است تا بافت های متشکل مینای دندان دچار صدمه دیدگی نشوند.
باید بدانید که مواد متشکل لمینت در مقایسه با کامپوزیت از کیفیت بیشتری برخوردار هستند. شایان ذکر است که بالا بودن کیفیت مواد سازنده لمینت، باعث گران تر شدن آن نسبت به فرآیند نصب کامپوزیت می شود. همچنین وجود مباحث بالا بودن طول عمر لمینت و طبیعی تر بودن ظاهر بصری آن، باعث افزایش مخارج درمان با این روش می شود. جهت طراحی اختصاصی و سفارش لمینت برای هر متقاضی، باید از فناوری های پیشرفته و تجهیزات بروز استفاده نمود.
لمینت دندان دارای سطح مقاومت و استحکام بیشتری برای مقابله با فشارهای ورودی جهت جلوگیری از شکل گیری شکستگی و ترک خوردگی می باشد.