ما در دندانپزشکی روش های بسیار زیادی برای زیباسازی و اصلاح طرح لبخند داریم و احتمالاً ونیر دندان در تمام دنیا رایج ترین روش باشد. ونیرها ظاهری بسیار زیبا دارند و چون همرنگ دندان های خودمان هستند، قادر اند زیبایی چشمگیری به طرح لبخند ما بدهند. احتمالا در نگاه اول متوجه نشدید که ونیرها چه هستند اما اگر بدانید که لمینت دندان و ونیر کامپوزیت دو نوع ونیر هستند دید بهتری نسبت به آن ها پیدا می کنید. آنچه در این مقاله می خوانید توضیحات کاملی درباره این روش زیباسازی طرح لبخند است.
ونیر دندان چیست؟
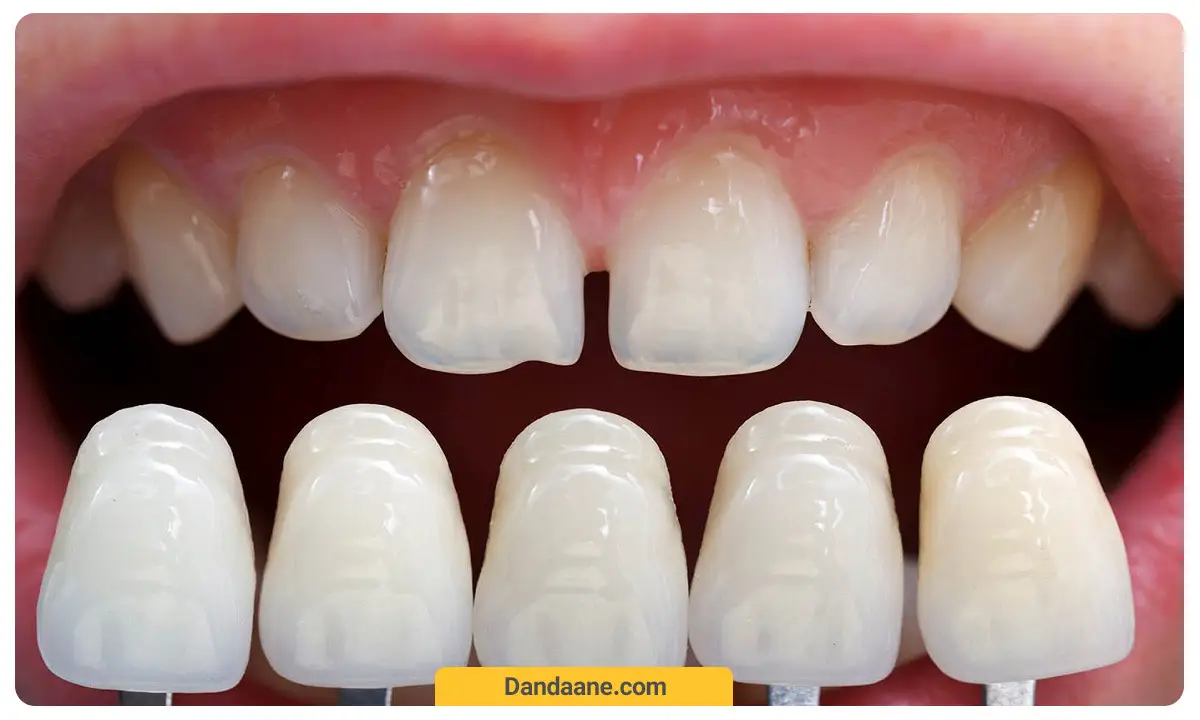
ونیر در انگلیسی (Veneer) لایه ها و پوسته های بسیار بسیار نازک و همرنگ دندان هستند که برای برطرف کردن عیوب ظاهری دندان ها، درخشان شدن و زیباتر شدن آن ها استفاده کاربرد دارند. این ونیر دندان را می توان نوعی پروتز دندانپزشکی در نظر گرفت؛ به این معنی که به دندان اضافه می شود و به بهبود ظاهر و عملکرد آن کمک می کند.
کاربرد اصلی این پروتزهای دندانپزشکی صرفاً زیبایی دندان ها است و کاربرد درمانی خاصی ندارند. به این معنی که تنها آن دسته از افرادی به آن ها نیاز پیدا می کنند که به دنبال رفع عیوب ظاهری دندان ها و زیباسازی طرح لبخند خود هستند. به عبارتی هر کسی که دندان هایش مشکل زیبایی نداشته باشد، معمولا به سراغ ونیرها نمی رود.
ونیرها دو نوع دارند یکی ونیر کامپوزیت دندان و دیگری ونیر پرسلن یا همان لمینت دندان. این روکش های دندان از مهمترین و پرتقاضاترین روش های دندانپزشکی زیبایی هستند که به جهت طراحی و یا اصلاح طرح لبخند و ساختن لبخندی جذاب تر مورد استفاده قرار می گیرند. استفاده از این روکش ها به هیچ عنوان جنبه درمانی ندارد و تنها برای زیبایی است.

کاربرد ونیر دندان چیست؟
از ونیرها می توان برای اصلاح طیف گسترده ای از مسائل دندانپزشکی مانند موارد زیر استفاده کرد:
- برطرف یا پنهان کردن رنگ و لکه های دندانی که با بلیچینگ دندان و سایر روش های دیگر از بین نمی روند.
- برای اصلاح یا پنهان کردن فرسایش دندان
- برای اصلاح دندان های نسبتا کج
- وجود فاصله قابل توجه بین دندان ها مخصوصا در بخش جلوی دندان
- برای اصلاح کوتاه بودن دندان
- برطرف کردن شکستکی ها، لب پر شدگی ها و ترک های دندانی
- و …..
نوشته پیشنهادی : هزینه کامپوزیت دندان در سال 1403
انواع ونیر دندان: شناخته شده ترین و مهمترین ونیرها کدامند؟
ونیر پرسلین یا لمینت سرامیکی دندان
ونیرهای پرسلین همان لمینت های دندانی هستند. آن ها آنقدر شبیه دندان های طبیعی شما هستند که تشخیصشان از دندان واقعی دشوار است. زیرا لمینت ها در برابر نور همان عکس العمل و رفتاری را دارند که دندان واقعی دارد و کاملا ویژگی های مینای دندان را تقلید می کنند.
لمینت دندان یک ونیر بسیار نازک و کاملا همرنگ دندان است و به آن نام هایی همچون ونیر سرامیکی یا لمینت سرامیکی دندان نیز گفته می شود. آن ها به راحتی طیف وسیع و تعداد زیادی از مشکلات زیبایی دندان ها مانند ترک برداشتن، کج بودن و … را پنهان می کنند و اگر به صورت اصولی انجام شوند می توانند لبخند را کاملا طبیعی جلوه دهند. بدین گونه کسی متوجه نخواهد شد شما لمینت انجام داده اید.

تنها ایراد لمینت ها این است که برای نصبشان نیاز است بخشی از ضخامت مینای دندان تراشیده شود و این یعنی فرآیند نصب لمینت برگشت ناپذیر است. شما می توانید با مراجعه به مقاله “لمینت دندان چیست؟” به طور کامل با ونیر پرسلین آشنا شوید و به جواب تمام سوالات خود در خصوص آن برسید.
ونیر کامپوزیت دندان
نوع دیگری از ونیرهای دندانی، کامپوزیت ها هستند که احتمال بسیار زیاد تاکنون نامشان را بسیار شنیده اید چون به دلیل قیمت پایینشان سطح استقبال از آن ها بسیار زیاد شده است. آن ها از جنس رزین کامپوزیت هستند و دقیقا همان مشکلاتی که لمینت دندان برطرف می کند را حل می کنند با این تفاوت که هزینه کمتری دارند و کاملا برگشت پذیر هستند.
متخصص ترمیمی و زیبایی برای نصب این ونیرهای دندانی مینای دندان را تراش نمی دهد و تنها ماده بسیار کاربردی کامپوزیت را به صورت لایه لایه به سطح دندان متصل می کند. در مجموع بعد از اینکه چند لایه به دندان متتصل شد، کامپوزیت فرم داده می شود تا شبیه به مینای دندان شود. برای آشنایی بیشتر می توانید به مقاله “ونیر کامپوزیت دندان چیست؟” مراجعه کنید. شما می توانید در آن مقاله به پاسخ سوالات خود در این خصوص دست پیدا کنید.
مقایسه کامپوزیت و لمینت دندان
- ونیر کامپوزیتی باید سالی یک بار پالیش شود در حالی ونیرهای سرامیکی نیازی به پالیش ندارند.
- طول عمر لمینت دندان حدود 10 الی 15 سال است در حالی طول عمر کامپوزیت دندان حدود 5 الی 7 سال است.
- هزینه لمینت دندان بیشتر از هزینه کامپوزیت دندان است.
مزایای ونیر دندان چیست؟
برخی از مهمترین مزایا و جوانب مثبت ونیر دندان عبارتند از:
آن ها ظاهر دندان را بهبود می بخشند
پوسته های سرامیکی و کامپوزیتی دندان به از بین بردن لکه ها، دندان های کج یا ناهموار، فاصله دندان ها و بسیاری دیگر از مشکلات دندان کمک می کند تا لبخند و ظاهر چهره شما بهتر شود.
ونیرها از مینای دندان محافظت می کنند
لمینت ها و ونیرکامپوزیت ها با محافظت از مینای دندان به بقای بیشتر دندان کمک می کنند. مینای دندان قوی ترین قسمت دندان شما است و با نصب ونیر عملا مستحکم تر می شود.
آن ها یک راه حل سریع و بادوام برای اصلاح طرح لبخند هستند
تمامی انواع ونیرها مخصوصا لمینت های دندانی محکم و بادوام هستند و می توان آنها را در یک یا دو بار مراجعه به دندانپزشکی نصب کرد. علاوه بر این، آن ها مقرون به صرفه تر از سایر روش های درمانی مانند روکش دندان هستند.

آمادگی های لازم قبل از متصل کردن ونیرهای دندانی
برای اینکه بتوانید با آمادگی بهتر و در موقعیتی ایده آل به مطب دندانپزشکی زیبایی خود مراجعه کنید حتما به چند نکته زیر توجه کنید.
سلامتی دندان و لثه خود را ارتقاء دهید
دندان و لثه شما باید پیش از شروع روند روکش دندان حتما و حتما از سلامتی بالایی برخوردار باشد. اگر هر مشکلی متوجه دندان و یا لثه های شما باشد (مثلا لثه عفونت کرده باشد) شما باید با کمک دندانپزشک عمومی خود آن مشکل ها را برطرف کنید و بعد از سلامتی کامل اقدام به روش کردن دندان کنید.
ونیر دندان همیشه گزینه ایده آلی برای شما نیست
برخی اوقات اصلا لزومی به روکش دندان نیست و شاید باید برای محافظت و زیبا کردن دندان ها و لبخندتان از روش های دیگری استفاده کنید. برای مثال اگر شما دندان قروچه دارید و یا عادت دارید که دندان هایتان را به هم میسابید، شاید بهتر باشد از خیر ونیر بگذرید زیرا ونیر دندانپزشکی اصولا لایه های نازک و ظریفی هستند و با دندان قروچه ممکن است بشکنند و یا ترک بردارند.
ونیر دندان روشی غیر قابل بازگشت است
دندانپزشک زیبایی برای اینکه بتواند روکش دندان را به سطح دندانتان متصل کند باید حتما لایه نازکی از مینای دندانتان را خراش دهد. و از آنجایی که مینا توانایی رویش و ترمیم مجدد ندارد، زمانی که دندان خود را روکش کردید دیگر نمیتوانید پشیمان شوید و بگویید من دندان واقعی خودم را میخواهم. زیرا دندان شما خراش خورده و مثل سابق نمیشود. مگر اینکه دوباره روکش ها را عوض کنید.
ممکن است ونیر دندانپزشکی شل شود
اگر به درستی نتوانید بهداشت دندان و دهان خود را رعایت کنید و یا حادثه ای رخ دهد ممکن است که روکش شما شل شود. چاره کار شل شدن ونیر دندان چیست؟ 100 درصد باید دوباره به متخصص دندانپزشک زیبایی خود مراجعه کرده و دوباره آن را ترمیم کنید.
به طور مرتب به دندانپزشک زیبایی خودتان مراجعه کنید
بعد از اینکه کارتان با روکش دندان تمام شد و صاحب یک یا تعدادی از آن ها شدید باید به طور منظم برای ارزیابی و بررسی به دندانپزشک مراجعه کنید تا اگر مشکلی در خصوص آن ها وجود داشت سریعا تشخصی داده شده و اصلاح شود.

نکاتی درباره نحوه نگهداری و مراقبت از ونیرهای دندانپزشکی
برای اینکه بتوانید از ونیرها و روکش های دندانی خودتان بهترین استفاده را ببرید و آن ها را برای مدت طولانی سالم نگاه دارید به چند نکته زیر توجه کنید:
دندان های خود را تحت فشار قرار ندهید
ونیر دندانپزشکی میتوانند تحت فشار متوسط تا شدید ترک برداشته و یا حتی بشکنند. بنابراین از انجام هر کاری مانند جویدن ناخن ها، گاز زدن اجسامی مثل خودکار، جویدن خوراکی ها و مواد سختی مثل یخ و …. که به دندان و مشخصا روکش دندان فشار وارد کند میتواند باعث آسیب به آن ها شود.
به خودتان فرصت دهید تا به روکش دندان عادت کنید
از موقعی که کار ونیر دندان به اتمام رسید معمولا تا چند روز طول میکشد که کاملا به وجود آن ها عادت کنید. اما اگر بعد از چند روز متوجه شدید که با وجود ونیرها جویدن برایتان سخت است و یا احاسس غیر طبیعی دارید حتما به دندانپزشک زیبایی خودتان اطلاع دهید.
هر روز مسواک بزنید و نخ دندان بکشید
اگر بپرسید که مهمترین نکته بعد از ونیر دندان چیست که باید رعایت کنیم خواهیم گفت مسواک زدن و نخ دندان کشیدن. از این به بعد قرار است که مهترین وظیفه شما در قبال دندان ها و ونیر دندانپزشکی رعایت بهداشت دهان و دندان باشد. برای همین باید هر روز حداقل دوبار مسواک بزنید و همیشه نخ دندان هم استافده کنید.
سوالات متداول
بله ونیر کامپوزیت قابلیت برداشت و حتی ترمیم را دارد.
افرادی که ساییدگی شدید دندانی، نامرتبی شدید دندانی و همچنین عادت به تکرار برخی رفتار غلط مانند دندان قروچه دارند، نباید از ونیر کامپوزیت استفاده کنند.
لمینت به نسبت ونیرهای کامپوزیتی مقاومت بیشتری دربرابر تغییر رنگ و ضربه دارند.
خیر در صورتی که این کار توسط دندانپزشک متبحر انجام شود و در انتخاب رنگ و مواد ونیر دقت داشته باشد، اطرافیان شما متوجه استفاده از روش های ترمیمی دندانپزشکی نخواهند شد.