سیاه شدن دندان یکی از مشکلات شایع دهان و دندان است که می تواند نه تنها بر زیبایی لبخند، بلکه بر سلامت عمومی دهان تاثیر بگذارد. این تغییر رنگ ممکن است به دلایل مختلفی از جمله مصرف مواد غذایی رنگی، استعمال دخانیات، عدم رعایت بهداشت دهان و حتی بیماری های داخلی رخ دهد. بسیاری از افراد با مشاهده لکه های تیره یا سیاهی روی دندان های خود نگران می شوند، اما شناخت علل، روش های پیشگیری و راهکارهای درمانی می تواند به حفظ سلامت و زیبایی دندانها کمک کند. در این مقاله، به بررسی دقیق این مشکل و راهحلهای موجود خواهیم پرداخت.
سیاه شدن دندان چیست؟
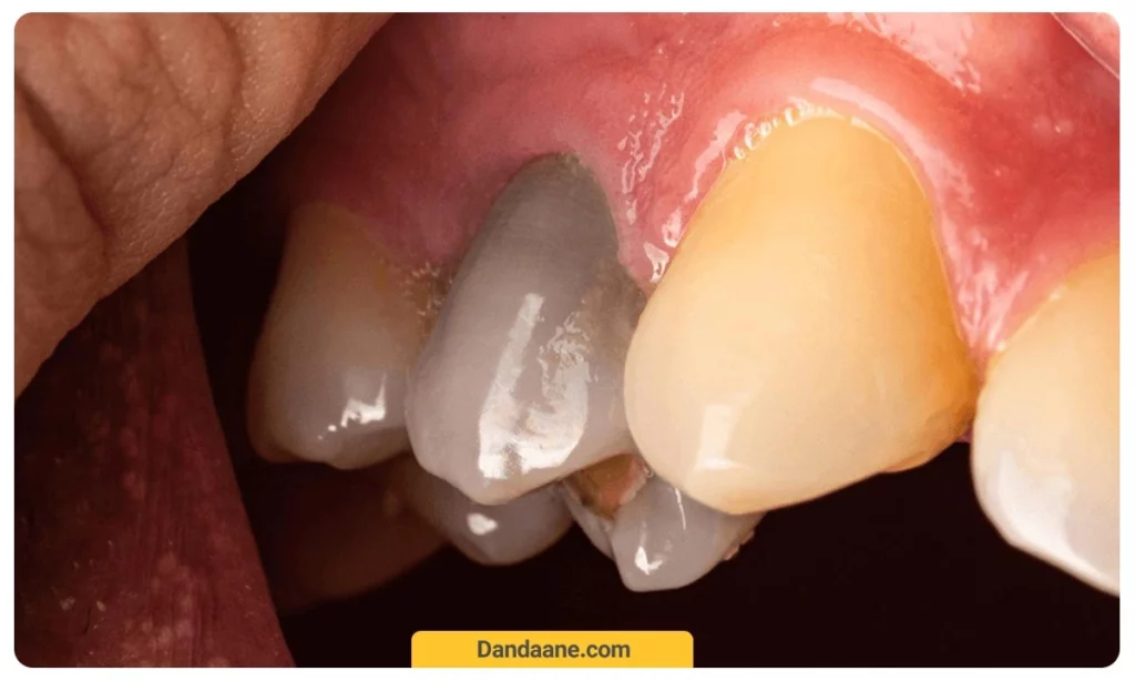
سیاه شدن دندان به تغییر رنگ از سفید یا زرد طبیعی به قهوه ای تیره یا سیاه گفته می شود که می تواند به صورت لکه های کوچک، خطوط سیاه نزدیک لثه یا در برخی موارد، تیرگی کامل دندان ظاهر شود. این مشکل ممکن است ناشی از عوامل خارجی مانند مصرف چای، قهوه، سیگار و مواد غذایی رنگی باشد یا به دلیل مشکلات داخلی مانند پوسیدگی شدید، عفونت ریشه دندان و حتی ضربه به دندان رخ دهد. بسیاری از افراد زمانی متوجه این تغییر رنگ می شوند که دندان هایشان به تدریج از سفیدی درخشان به رنگ های تیره متمایل می شود و در برخی موارد، این تغییرات می تواند با علائمی مانند درد، حساسیت یا بوی بد دهان همراه باشد.
سیاهی دندان می تواند دلایل مختلفی داشته باشد و در برخی موارد، نشانه ای از پوسیدگی عمیق یا حتی مرگ عصب دندان باشد. یکی از رایج ترین علل این مشکل، تجمع پلاک و جرم روی سطح دندان است که در صورت عدم رعایت بهداشت دهان و دندان، می تواند منجر به تغییر رنگ تدریجی شود.

علل سیاه شدن دندان ها
سیاه شدن دندان ها می تواند به دلایل مختلفی از جمله عوامل خارجی مانند تغذیه نامناسب و استعمال دخانیات یا عوامل داخلی مانند پوسیدگی و عفونت های دندانی رخ دهد. شناخت این علل به شما کمک می کند تا از بروز این مشکل پیشگیری کرده و سلامت دندانهای خود را حفظ کنید. در ادامه دلایل تیره شدن دندان را با هم مرور می کنیم:
عوامل خارجی:
- مصرف مواد غذایی و نوشیدنی های رنگی مانند قهوه، چای، نوشابه های گازدار و سس ها.
- استعمال دخانیات مانند سیگار و تنباکو.
- استفاده از برخی داروها مانند مکمل های آهن مایع.
- عدم رعایت بهداشت دهان و دندان، که منجر به تجمع پلاک و تارتار می شود.
عوامل داخلی:
- پوسیدگی دندان و ایجاد حفره های عمیق.
- عفونت یا مرگ پالپ دندان.
- ضربه یا تروما به دندان که منجر به قطع خون رسانی و تغییر رنگ می شود.
علائم و نشانه های سیاه شدن دندان
سیاه شدن دندان ها معمولا به صورت تدریجی اتفاق می افتد و در مراحل اولیه ممکن است چندان قابل تشخیص نباشد. با گذشت زمان، تغییر رنگ و علائم دیگری ظاهر می شوند که می توانند نشان دهنده مشکلات اساسی تر در سلامت دندان باشند. توجه به این نشانه ها می تواند به تشخیص زودهنگام و جلوگیری از پیشرفت آسیب های دندانی کمک کند. در ادامه به مهم ترین علائم می پردازیم.

1. تغییر رنگ دندان از زرد به قهوه ای و در نهایت سیاه
یکی از اولین نشانه های سیاه شدن دندان، تغییر رنگ تدریجی آن است. در ابتدا، ممکن است دندان ها کمی زردتر از حد معمول به نظر برسند، اما با گذشت زمان و به دلیل تجمع جرم، پوسیدگی یا مصرف مواد غذایی رنگی، رنگ آن ها به قهوه ای و سپس سیاه تبدیل می شود. این تغییر رنگ معمولا نشان دهنده پیشرفت پوسیدگی یا ایجاد جرم و پلاک دندانی است که در صورت عدم رسیدگی، ممکن است منجر به آسیب های جدی تر شود.
2. وجود لکه های تیره روی سطح دندان، به ویژه نزدیک لثه
در برخی موارد، سیاهی دندان به صورت لکه های کوچک و تیره روی مینای دندان ظاهر می شود. این لکه ها می توانند در هر قسمت از دندان ایجاد شوند، اما معمولا در نزدیکی لثه و در نواحی که پلاک و جرم بیشتر تجمع می کنند، دیده می شوند. این لکه ها ممکن است ناشی از مصرف دخانیات، نوشیدنی های رنگی یا وجود باکتری های تولید کننده رنگدانه در دهان باشند. اگر این لکه ها به مرور زمان گسترش یابند، ممکن است نشان دهنده پوسیدگی عمیق یا تشکیل جرم های مقاوم باشند که نیاز به جرم گیری حرفه ای دارند.
3. درد یا حساسیت در دندان های مبتلا
حساسیت یا درد دندان یکی از علائم هشدار دهنده سیاه شدن دندان است که معمولا نشان دهنده آسیب عمیق تر مانند پوسیدگی گسترده یا عفونت پالپ دندان می باشد. این درد می تواند هنگام مصرف غذاها و نوشیدنی های سرد، گرم، ترش یا شیرین تشدید شود. در موارد پیشرفته تر، ممکن است درد خود به خودی و مداومی احساس شود که نشان دهنده عفونت ریشه یا حتی مرگ عصب دندان است. در چنین شرایطی، مراجعه سریع به دندانپزشک ضروری است تا از پیشرفت آسیب جلوگیری شود.
👋 به مقالات زیر سر بزنید :
درمان های دندانپزشکی سیاه شدن دندان
روش درمان به علت ایجاد این مشکل بستگی دارد و می تواند از روش های ساده خانگی تا درمان های حرفه ای دندانپزشکی متغیر باشد. اگر سیاهی دندان ناشی از لکه های سطحی یا تجمع جرم باشد، می توان با رعایت بهداشت دهان و دندان و روش های سفید کننده آن را برطرف کرد. اما اگر علت سیاه شدن دندان پوسیدگی یا عفونت عمیق باشد، نیاز به درمان های تخصصی تر وجود دارد. در ادامه، روش های مختلف درمان سیاه شدن دندان را بررسی می کنیم.
1. جرم گیری و تمیز کردن حرفه ای دندان ها
اگر سیاهی دندان به دلیل جرم و پلاک ایجاد شده باشد، بهترین راه برای از بین بردن آن مراجعه به دندانپزشک و انجام جرم گیری حرفه ای است. در این روش، دندانپزشک با استفاده از ابزارهای مخصوص، پلاک های سخت شده و جرم های سیاه روی دندان را حذف کرده و دندان ها را تمیز می کند. در برخی موارد، استفاده از روش های سفید کننده مانند بلیچینگ پس از جرم گیری می تواند به بازگرداندن رنگ طبیعی دندان کمک کند.

2. بلیچینگ یا سفید کردن دندان
برای از بین بردن لکه های عمیق و سیاه هایی که هنوز دچار پوسیدگی نشده اند، می توان از روش های سفید کردن دندان یا بلیچینگ استفاده کرد. این روش شامل استفاده از مواد سفید کننده ای مانند هیدروژن پراکسید است که به عمق مینای دندان نفوذ کرده و تغییر رنگ را اصلاح می کند. بلیچینگ می تواند در مطب دندانپزشک یا با استفاده از کیت های خانگی انجام شود، اما روش های حرفه ای نتایج سریع تر و ماندگارتری دارند.
3. ترمیم دندان های پوسیده
اگر سیاهی دندان ناشی از پوسیدگی باشد، لازم است که بخش های آسیب دیده دندان برداشته و با مواد ترمیمی مانند کامپوزیت یا آمالگام پر شوند. این کار علاوه بر بهبود ظاهر دندان، از گسترش پوسیدگی و آسیب بیشتر جلوگیری می کند. در مواردی که میزان تخریب زیاد باشد، ممکن است نیاز به استفاده از روکش دندان برای بازگرداندن استحکام و زیبایی دندان وجود داشته باشد.
4. درمان ریشه (عصبکشی)
در صورتی که سیاهی دندان ناشی از عفونت و مرگ پالپ (عصب دندان) باشد، درمان ریشه یا عصب کشی ضروری است. در این روش، دندانپزشک بخش داخلی دندان را تخلیه کرده، آن را ضد عفونی می کند و سپس با مواد مخصوص پر می کند. پس از درمان، ممکن است دندان نیاز به روکش داشته باشد تا عملکرد و ظاهر آن حفظ شود.
5. کشیدن دندان در موارد شدید
اگر میزان تخریب و سیاهی دندان به حدی باشد که امکان ترمیم وجود نداشته باشد، ممکن است دندانپزشک کشیدن دندان را توصیه کند. در این شرایط، برای جایگزینی دندان ازدست رفته می توان از روش هایی مانند ایمپلنت دندان، بریج یا دندان مصنوعی استفاده کرد.
درمان های خانگی برای کاهش لکه های سیاه دندان
در صورتی که سیاهی دندان ناشی از لکه های سطحی باشد، برخی از روش های خانگی می توانند به کاهش تیرگی دندان ها کمک کنند:
- استفاده از جوش شیرین: ترکیب جوش شیرین با کمی آب و مسواک زدن با آن می تواند به حذف لکه های سطحی کمک کند.
- روغن نارگیل: شست و شوی دهان با روغن نارگیل (روغن کشی) ممکن است به کاهش باکتری های دهان و بهبود رنگ آن کمک کند.
- سرکه سیب: غرغره کردن سرکه سیب رقیق شده با آب می تواند به پاکسازی دندان ها کمک کند، اما باید با احتیاط انجام شود تا به مینای دندان آسیب نرسد.
روش های پیشگیری از سیاه شدن دندان
- مسواک زدن منظم حداقل دو بار در روز با خمیردندان حاوی فلوراید.
- استفاده روزانه از نخ دندان برای حذف پلاک و جرم.
- محدود کردن مصرف مواد غذایی و نوشیدنی های رنگی.
- ترک یا کاهش مصرف دخانیات.
- مراجعه منظم به دندانپزشک برای معاینات دوره ای و جرم گیری حرفه ای.
پاسخ به سوالات پرتکرار در مورد سیاه شدن دندان
در بسیاری از موارد، سیاه شدن دندان می تواند نشانه پوسیدگی پیشرفته باشد، اما ممکن است به دلایل دیگری مانند لکه های سطحی ناشی از جرم و پلاک نیز ایجاد شود.
سیاه شدن دندان های شیری در کودکان می تواند ناشی از پوسیدگی، مصرف شیر شبانه یا عدم رعایت بهداشت دهان باشد و در صورت عدم درمان، ممکن است بر دندان های دائمی تاثیر منفی بگذارد.
بله، پس از عصبکشی، دندان ممکن است به دلیل از بین رفتن عصب و کاهش خون رسانی به تدریج تیره شود، که در این صورت بلیچینگ داخلی یا روکش دندان می تواند به بهبود رنگ آن کمک کند.
منبع :