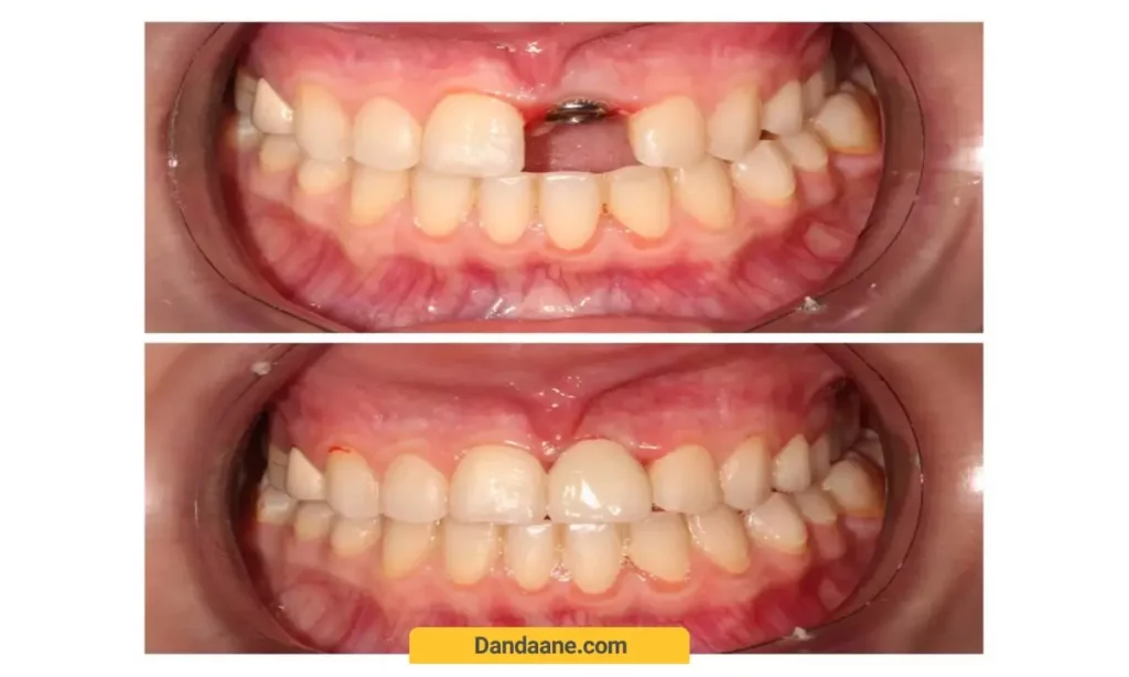
ایمپلنت دندان، یکی از روش های موثر و پایدار برای جایگزینی دندان های از دست رفته است. این درمان به عنوان یک راه حل پزشکی مدرن در زمینه بهبود ظاهر و عملکرد دهان شناخته می شود. با از دست دادن یک دندان در ناحیه های جلویی دهان، علاوه بر مشکلات عملکردی، از جمله مشکل در تکلم و خوردن غذا، زیبایی و جذابیت لبخند نیز به مخاطره می افتد. بهره گیری از ایمپلنت دندان جلو، این امکان را فراهم می کند که دندان از دست رفته را به شکل یک دندان طبیعی جایگزین کرده و زیبایی و عملکرد دهان را به حداکثر رساند. این مقاله از دنیای دندان به بررسی جزئیات و مزایا و معایب ایمپلنت دندان جلو پرداخته است.
ایمپلنت دندان جلو چیست؟
این درمان به عنوان یکی از روش های پیشرفته در جایگزینی دندان های از دست رفته در نواحی جلوی دهان شناخته می شود. دندان های جلو، که به عنوان دندان های Incisors نیز شناخته می شوند، شامل چهار دندان جلویی در هر نیمه دهان است و از نظر ظاهری یکی از مهم ترین عناصر زیبایی و اعتماد به نفس افراد محسوب می شوند.
این درمان به طور مخصوص برای جایگزینی دندان های از دست رفته در نواحی جلوی دهان استفاده می شود. این فرآیند، که به عنوان “کاشت یا ایمپلنت جلو” نیز شناخته می شود، اهمیت ویژه ای در معالجه و بهبود ظاهر و عملکرد دهان دارد.
دندان های جلو به دلیل قرارگیری در ناحیه زیبایی دهان، اهمیت بسیاری دارند. از این رو، ایمپلنت در این ناحیه باید به طور کامل طبیعی و هماهنگ با سایر دندان ها و طرح لبخند باشد. بنابراین، استفاده از روش های پیشرفته و فناورانه برای افرادی که به دنبال بازگشت سریع و مطمئن به زیبایی و عملکرد دهان خود هستند، بسیار حیاتی است.

دریافت نوبت دندانپزشکی در تهران
اگر در تهران هستید و نیازمند درمان دندانپزشکی، جهت دریافت نوبت فرم زیر را پر کنید. ما در اولین فرصت با شما تماس خواهیم گرفت.
مراحل ایمپلنت دندان جلو
- معاینات اولیه و عکس برداری: در این مرحله، گرفتن عکس از دندان های جلویی جلو یکی از مراحل اولیه است. پس از مشاوره با دندانپزشک، بررسی های لازم انجام می شود و با استفاده از عکس opg، وضعیت دندان فرد بررسی می شود.
- تهیه برنامه درمانی و زمان بندی: پس از بررسی های اولیه، برنامه درمانی خاصی برای ایمپلنت دندان های جلو تهیه می شود. این برنامه شامل پیش بینی ها و برنامه های جراحی دقیق است که براساس تصاویر سه بعدی دندان تهیه می شود.
- آزمایش سنجش تراکم استخوان فک بالا و پایین: تراکم استخوان فک برای ایمپلنت دندان یکی از عوامل اساسی است. در صورت نداشتن تراکم لازم، متخصص ایمپلنت دندان ممکن است از ایمپلنت کردن دندان جلو صرف نظر کند و روش های جایگزین را پیشنهاد دهد.
- پیوند استخوان: در صورت نیاز، پیوند استخوان برای فک بالا و پایین در نظر گرفته می شود تا بستر مناسب برای کاشت ایمپلنت فراهم شود.
- کاشت پایه ایمپلنت (فیکسچر) در فک: در این مرحله، پایه ایمپلنت کاشته می شود که بعد از تراش استخوان فک جایگزین ریشه دندان می شود. پس از جوش خوردن فیکسچر، مراحل بعدی ایمپلنت انجام می شود.
- نصب اباتمنت: اباتمنت قطعه ای است که برای اتصال فیکسچر و تاج دندان استفاده می شود. این قطعه به اندازه و شکل های مختلفی ساخته می شود.
- نصب روکش یا تاج دندان: در مرحله نهایی، روکش یا تاج دندان نصب می شود. این مرحله شامل قالب گیری خاص دندان و سپس طراحی و نصب روکش دندان بر اساس این قالب گیری می باشد.
تمام این مراحل با دقت و توسط تیم پزشکی متخصص و مجرب انجام میشود تا بهبود عملکرد و ظاهر دهان فراهم شود.
👋 شاید این مطلب به درد شما بخورد: مراقبت های بعد از ایمپلنت دندان چیست؟

ایمپلنت فوری دندان جلو
برخی از افراد از روش ایمپلنت فوری یا ایمپلنت یک روزه برای جایگزین کردن دندان جلویی خود استفاده می کنند. دلیل استفاده از این روش سرعت بخشیدن به پروسه انجام کار است . اهمیت دندان جلویی به دلیل آن که در حین صحبت کردن و یا خندیدن نسبت به سایر دندان ها بیشتر است، به همین علت برخی از بیماران ترجیح میدهند که زودتر آن را جایگزین کنند . به خاطر داشته باشید هزینه ایمپلنت فوری از ایمپلنت معمولی بالاتر است.
بیشتر بخوانید :
شرایط لازم برای ایمپلنت دندان جلو
قبل از اقدام به ایمپلنت دندان، باید به برخی از نکات اساسی توجه کنید تا مشکلات احتمالی بعد از جراحی برای شما پیش نیاید:
- کافی بودن تراکم استخوان در فک: برای موفقیت در این درمان، تراکم استخوان در فک بسیار مهم است. استخوان فک باید به اندازه کافی پشتیبانی کننده برای پایه های ایمپلنت باشد تا بتوانند به خوبی جوش بخورند و با بدن سازگاری داشته باشند.
- بهداشت دهان و دندان مناسب: وجود بیماری های عفونی در دهان و دندان می تواند مشکلاتی را برای ایمپلنت ایجاد کند. قبل از انجام ایمپلنت، باید همه بیماری های عفونی در دهان و دندان را اصلاح کرده و پس از بهبود کامل، مراجعه به پزشک برای ایمپلنت را در نظر بگیرید.
- سلامت عمومی فرد: داشتن وضعیت سلامت عمومی مناسب مهم است. بیماری های زمینه ای می توانند عملیات ایمپلنت را برای شما دشوارتر کنند و موفقیت را تحت تاثیر قرار دهند. بنابراین، قبل از ایمپلنت، بهتر است چکاپ کاملی از جانب پزشک متخصص داشته باشید تا از سلامت عمومی خود اطمینان حاصل کنید.
نوشته پیشنهادی : تغذیه پس از ایمپلنت دندان باید چگونه شود ؟
مزایای ایمپلنت دندان جلو
استفاده از ایمپلنت های دندانی می تواند برای افرادی که با از دست دادن دندان های جلو مواجه شده اند، مزایای بسیاری داشته باشد. یکی از مهم ترین مزایای این ایمپلنت ها، بازگرداندن قدرت جویدن به طور کامل است. افراد می توانند به طور عادی و بدون هیچ محدودیتی غذا بخورند و همچنین به شیوه های معمولی مسواک بزنند و نخ دندان بکشند، به طوری که تفاوت بین دندان های ایمپلنت و دندان های طبیعی به سختی قابل تشخیص است.
یکی دیگر از مزایای بارز ایمپلنت های دندانی، طول عمر ایمپلنت دندان است. در حالی که پل های دندانی ممکن است تنها تا چند سال دوام بیاورند، ایمپلنت های دندانی می توانند تا زمانی که مراقبت های لازم انجام شود، به طور مداوم و بدون مشکل خدمت کنند. این ایمپلنت ها از جنس تیتانیوم ساخته شده و با استخوان فک ادغام می شوند. این امر باعث می شود که ایمپلنت بهطور دائمی در فک قرار گیرد.
همچنین، ایمپلنت های دندانی از تحلیل استخوان جلوگیری کرده و از افت حجم استخوان در ناحیه دندان های از دست رفته جلوگیری می کنند. این امر باعث می شود که استخوان فک در فضای خالی حفظ شود. ایمپلنت دندانی همچنین به طور مستقیم به استخوان فک متصل می شود و تحریک لازم برای رشد طبیعی استخوان را فراهم می کند. به طور کلی، استفاده از ایمپلنت باعث بازگرداندن عملکرد طبیعی دهان و ایجاد ظاهر طبیعی و زیبا می شود.
بیشتر بخوانید : همه چیز درباره ی ایمپلنت کامل دندان

معایب ایمپلنت دندان جلو
این درمان همانند بسیاری از روش های درمانی دیگر، معایب خاص خود را دارد. با این حال، با پیشرفت تکنولوژی و استفاده از ایمپلنت های بهبود یافته، بسیاری از معایب آن کاهش یافته است. معایب مهمی که ممکن است در مورد ایمپلنت دندان جلو وجود داشته باشد عبارتند از:
- هزینه بالاتر نسبت به درمان های رقیب: یکی از معایب مهم این درمان، هزینه بالاتر آن نسبت به روش های درمانی دیگر مانند پروتزهای متحرک یا پل های دندانی است. ایمپلنت های دندانی نیاز به تجهیزات و مواد با کیفیت دارند که این موضوع می تواند هزینه ها را افزایش دهد.
- طولانی بودن مدت درمان: اگر استفاده از ایمپلنت فوری ممکن نباشد، طول درمان برای جایگزینی دندان های جلو ممکن است نسبتا طولانی باشد. این مسئله ممکن است برای برخی افراد که نیاز به جایگزینی سریع دارند مشکل ساز شود.
- نیاز به شرایط خاص: برای انجام این درمان، برخی شرایط خاص مانند تراکم استخوان مناسب و بهداشت دهان و دندان لازم است. این موضوع ممکن است برای برخی افراد که با مشکلاتی مانند ضعف استخوان یا بیماری های دهانی روبرو هستند، یک چالش باشد.
با این وجود، با توجه به پیشرفت های اخیر در حوزه دندانپزشکی، این معایب نیز به حداقل رسیده است. بنابراین بسیاری از افراد می توانند با اطمینان از این روش برای جایگزینی دندان های جلو استفاده کنند.
👋 شاید این مطلب به درد شما بخورد: عوارض ایمپلنت دندان (کوتاه مدت و بلند مدت)

هزینه ایمپلنت دندان جلو چقدر است؟
هزینه ایمپلنت دندان جلو معمولا بین 24 تا 36 میلیون تومان متغییر است. این تفاوت قیمت به عوامل مختلفی نظیر جنس و برند ایمپلنت، میزان حساسیت درمان و تجربه پزشک مربوط است. پیشنهاد می شود که از ایمپلنت فوری یا ایمپلنت دیجیتال برای دندان های جلویی استفاده شود زیرا جای خالی دندان باید به سرعت پر شود. همچنین بهتر است برای روکش ایمپلنت دندان جلو از روکش تمام سرامیکی استفاده نمایید.
سوالات پرتکرار در زمینه ایمپلنت دندان جلو
مدت زمان درمان معمولا به شرایط استخوان فک شما و نوع ایمپلنت بستگی دارد اما در صورت استفاده از روش معمولی، بین 3 تا 6 ماه و در صورت استفاده از روش ایمپلنت دندان جلو فوری در چند هفته بهبودی انجام می شود.
در حین جراحی برای ایمپلنت دندان به دلیل استفاده از بی حسی شما دردی احساس نخواهید کرد، اما بعد از جراحی ممکن است مقداری درد داشته باشید که با مصرف مسکن برطرف می شود.
خیر بیمه تامین اجتماعی و اکثر شرکت های بیمه هزینه ایمپلنت را پرداخت نمی کنند. در صورتی که بیمه تکمیلی داشته باشید شاید مقداری از این هزینه پرداخت شود .
بهترین روش برای جایگزین کردن دندان جلو مشورت با متخصص و معاینه دندان شما توسط دندانپزشک است تا بهترین تصمیم گرفته شود.