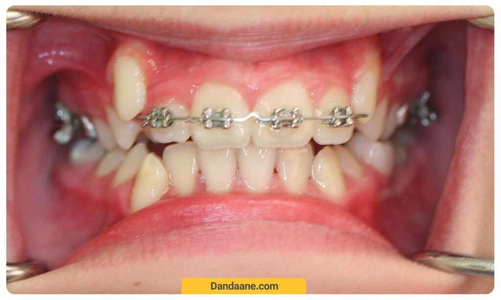
درآمدن دندان بالای لثه یک ناهنجاری رویشی است که در آن یک یا چند دندان دائمی، به جای این که در مسیر طبیعی خود به سمت قوس دندانی حرکت کنند، در جایی بالاتر از خط لثه و گاهی داخل کام یا نزدیک گونه رشد می کنند. این مشکل که بیشتر در دندان نیش فک بالا دیده می شود، می تواند باعث بهم ریختگی دندان ها، آسیب به ریشه دندان های کناری، مشکلات لثه ای و کاهش زیبایی لبخند شود.
این ناهنجاری حتما باید توسط یک متخصص ارتودنسی باتجربه درمان شود؛ زیرا درمان دیرهنگام یا اشتباه می تواند باعث آسیب دائمی به دندان و استخوان فک شود. در ادامه این مقاله از دنیای دندان به طور کامل دلایل این مشکل، علائم آن، عوارض و بهترین روش های درمانی توضیح داده شده است.
درآمدن دندان بالای لثه دقیقا چه معنایی دارد؟
در حالت طبیعی تمام دندان های دائمی باید از داخل استخوان فک به سمت لثه حرکت کنند و در نهایت در خط قوس دندانی قرار بگیرند. اما وقتی جوانه دندان در موقعیت غیرطبیعی قرار بگیرد یا مسیر رویش آن منحرف شود، تاج دندان ممکن است در محلی بالاتر از لثه دیده شود.
به این حالت رویش اکتوپیک دندان (درآمدن دندان بالای لثه) گفته می شود. این وضعیت معمولا بی درد است اما در طول زمان باعث مشکلات جدی می شود و نیاز به مداخله تخصصی دارد.
کدام دندانها بیشتر دچار این مشکل می شوند؟
هر دندان دائمی ممکن است دچار رویش اکتوپیک شود، اما شایع ترین دندان ها عبارتند از:
- دندان نیش فک بالا (شایعترین مورد)
- پیش مولرها
- دندان های قدامی فک بالا در کودکان

دلایل اصلی درآمدن دندان بالای لثه
کمبود فضا در قوس دندانی
وقتی فک کوچکتر از حد معمول باشد یا دندان های شیری دیر بیفتند، فضای کافی برای رویش دندان دائمی وجود ندارد. در نتیجه دندان نیش به سمت بالا یا سمت کام منحرف می شود و در محلی بالاتر از لثه بیرون میزند.
عوامل ژنتیکی
ژنتیک نقش بسیار مهمی در تعیین موقعیت جوانه دندان، اندازه دندان ها و پهنای استخوان فک دارد. در بسیاری از موارد، علت درآمدن دندان بالای لثه سابقه خانوادگی و ارثی است.
وجود دندان اضافه
وجود دندان اضافه یا همان سوپرنومری باعث انسداد مسیر رویش دندان دائمی می شود و دندان مجبور به خروج از مسیر طبیعی و رویش در محل غیرطبیعی می شود.

موقعیت غیرطبیعی جوانه دندان
اگر جوانه دندان در زمان رشد در زاویه نادرست قرار گرفته باشد، مسیر رویش تغییر می کند و باعث درآمدن دندان بالای لثه می شود.
تاخیر در افتادن دندان شیری
اگر دندان شیری زمان زیادی در دهان باقی بماند، دندان دائمی مجبور می شود مسیر خود را تغییر دهد و این باعث رویش اکتوپیک می شود.

نشانه های درآمدن دندان بالای لثه
- دیده شدن قسمتی از تاج دندان بالاتر از لثه: گاهی بخشی از تاج دندان در محل غیرطبیعی دیده می شود.
- احساس برجستگی یا فشار در لثه: این علامت پیش از بیرون زدن دندان ظاهر می شود.
- جابجایی یا کجی دندان های کناری: چون دندان در مسیر اشتباه حرکت می کند و دندان های مجاور را هم هل می دهد.
- گیر کردن دندان شیری: اگر دندان شیری در محل خود قفل شود، نشانه آن است که دندان دائمی در جای درست در حال حرکت نیست.
- درد خفیف یا حساسیت: در بیشتر موارد درد شدید وجود ندارد، اما فشار مزمن ممکن است حساسیت ایجاد کند.
اگر این مشکل درمان نشود چه عوارضی دارد؟
- آسیب ریشه دندان های کناری: دندان نیش منحرف شده می تواند فشار زیادی به ریشه دندان های جلویی وارد کند و موجب تحلیل ریشه دندان شود.
- تغییر فرم لبخند و چرخش دندان ها: دندان ها کج و نامرتب می شوند و ممکن است نیاز به درمان طولانی مدت ارتودنسی باشد.
- تحلیل استخوان: فشار نادرست می تواند باعث تحلیل استخوان ناحیه شود.
- مشکلات لثه ای: رویش در محل غیرطبیعی باعث تجمع پلاک، التهاب و خونریزی لثه در اطراف دندان می شود.
- نیاز به جراحی سنگین: اگر درمان به تعویق بیفتد، ممکن است دندان در استخوان قفل شود و درمان ارتودنسی به تنهایی جوابگو نباشد.

چگونه این ناهنجاری تشخیص داده می شود؟
- معاینه بالینی دندانپزشک: متخصص وجود برآمدگی، زاویه دندان و محل قرارگیری لثه را بررسی می کند.
- عکس پانورامیک: بهترین روش اولیه برای مشاهده موقعیت دندان های نهفته یا اکتوپیک است.
- سی بی سی تی: در موارد پیچیده، تصویر سه بعدی برای تشخیص دقیق درآمدن دندان بالای لثه مورد استفاده قرار می گیرد.
درمان درآمدن دندان بالای لثه
یکی از اصلی ترین دلایل درآمدن دندان بالای لثه، کمبود فضا در قوس دندانی است. زمانی که دندان های کناری در محل طبیعی خود قرار نگرفته باشند یا ازدحام دندانی وجود داشته باشد، دندان نیش راهی برای رویش پیدا نمی کند و ناچار در نقطه ای بالاتر از لثه یا داخل کام توقف می کند.
درمان ارتودنسی در این مرحله با هدف باز کردن فضا و منظم کردن قوس دندانی انجام می شود. بهترین متخصص ارتودنسی از براکت های ثابت، سیم های ارتودنسی، فنرهای باز کننده فضا یا پلاک های ارتودنسی متحرک استفاده می کند تا:
- عرض قوس دندانی افزایش یابد.
- دندان های فشرده از هم فاصله بگیرند.
- موقعیت دندان های اطراف اصلاح شود.
- مسیر طبیعی رویش دندان نیش باز گردد.
این مرحله کاملا ضروری است، چون تا زمانی که فضای کافی فراهم نشود، دندان نه قابل هدایت است و نه امکان رویش طبیعی دارد.

بهترین زمان برای مراجعه چه زمانی است؟
اگر دندان نیش فرزند شما دیرتر از سن طبیعی رشد کرده است، دندان شیری در محل خود گیر کرده، در لثه برآمدگی غیرطبیعی دیده می شود یا تاج دندانی در محل غیرطبیعی دیده شده است، فورا باید به متخصص ارتودنسی مراجعه شود. درمان زودهنگام باعث جلوگیری از جراحی وسیع و درمان های سنگین آینده می شود.
جمع بندی
درآمدن دندان بالای لثه یک ناهنجاری مهم رویشی است که بیشتر در دندان نیش فک بالا دیده می شود. این مشکل اگر درمان نشود باعث آسیب ریشه، به هم ریختگی دندان ها، التهاب لثه و مشکلات زیبایی می شود. تشخیص زودهنگام و شروع درمان توسط متخصص ارتودنسی می تواند از آسیب های بعدی جلوگیری کند و دندان را به شکل کنترل شده به جای طبیعی خود منتقل کند.