بسیاری از افرادی که به کاشت ایمپلنت دندان نیاز دارند، نگران درد بعد از جراحی و کاشت آن هستند. این افراد معمولا چون نمی دانند میزان درد ایمپلنت در چه حدی است و تا چه زمانی طول می کشد، از انجام جراحی هراس دارند. آنچه در این مقاله می خوانید اطلاعاتی درباره درد ایمپلنت دندان، میزان آن در روزها و هفته های مختلف پس از جراحی، علل و نحوه درمان آن است. اگر به دنبال پاسخ سوالات “کدام مرحله ایمپلنت درد دارد؟” و “برای کاهش درد ایمپلنت چه باید کرد؟” هستید، همراه ما باشید.
بله، پس از کاشت ایمپلنت ممکن است کمی درد تجربه کنید. البته در طول عمل کاشت ایمپلنت دندان، نباید دردی وجود داشته باشد، زیرا به شما بیهوشی داده خواهد شد و یا در ساده ترین حالت بی حس خواهید شد. با این حال، با از بین رفتن اثر بی حسی یا بیهوشی، به احتمال زیاد شروع به احساس ناراحتی و تجربه درد خواهید کرد. میزان درد بعد از آن نیز بستگی به نحوه جراحی و تعداد ایمپلنت های کاشته شده دارد.
حداقل و حداکثر زمان لازم برای اتمام درد ایمپلنت دندان 3 تا 7 روز است. اما باید بدانید که ادامه دار بودن روند درد ایمپلنت به شدت ناراحتی پروتز دندانی، سطح جراحت، واکنش های حساسیتی بدن فرد و مدت زمان لازم برای تطبیق پذیری بیمار با شرایط جدید وابسته است. دندانپزشک متخصص ترمیم و زیبایی معالج برای تسکین درد ایمپلنت معمولا داروهای کاهش دهنده درد و التهاب برای برای بیماران تجویز می کند تا روند درمان هموار تر شود.

لازم است که بدانید اگر پس از 7 روز، درد ایمپلنت با نشانه هایی نظیر بافت های دهانی تورم یافته غیرخفیف، شکل گیری عفونت و خونریزی از ناحیه پروتز مشاهده شود، باید سریعا مشکل را دندانپزشک معالج در میان بگذارید تا راهکارهای درمانی ارائه شود.
اینکه بگوییم که درد دقیقا تا چقدر طول می کشد دشوار خواهد بود. زیرا میزان تجربه درد از هر بیمار با بیمار دیگر متفاوت است. ولی به عنوان شخصی که جراحی کشت ایمپلنت انجام می دهید به طور معمول تا 10 روز پس از جراحی ممکن است کمی درد و ناراحتی را تجربه کنید. البته تورم نیز پس از جراحی وجود خواهد داشت و پس از حدود 3-5 روز کاهش می یابد.
| ردیف | شایع ترین علل | علل نسبتا رایج | نادر ترین علل |
|---|---|---|---|
| 1️⃣ | شکل گیری التهاب لثه | اجرای ناقص و نادرست جوش خوردن پروتز با ساختار استخوان فک | بیش از اندازه نزدیک شدن پروتز ثابت دندانی ایمپلنت به اعصاب فک |
| 2️⃣ | اعمال فشار بیش از اندازه به پروتز ایمپلنت | وارد شدن آسیب به بافت های دهانی در هنگام اجرای جراحی کاشت ایمپلنت | ورود به مجرای سینوسی فک فوقانی |
| 3️⃣ | بروز عفونت های پس از جراحی کاشت ایمپلنت | تحلیل یا پس روی ساختار استخوان نواحی اطراف پروتز ثابت ایمپلنت | فعال شدن واکنش های حساسیتی آلرژیک به جنس فلز پروتز |
از شایع ترین علت درد ایمپلنت دندان می توان به موارد زیر اشاره کرد:

از علل های نسبتا رایج درد ایمپلنت می توان به موارد فهرست بخش ذیل اشاره نمود:

نادرترین علل درد ایمپلنت عبارت اند از:

تعداد بسیار معدودی از متقاضیان کاشت پروتز ثابت دندانی ایمپلنت، درد آن را بعد از یکسال تجربه کرده اند. محتمل ترین علت درد ایمپلنت بعد از یکسال عبارت اند از:
مراجعه به دندانپزشک معالج در صورت مشاهده ادامه دار بودن یا شدیدتر شدن درد ایمپلنت بعد از یکسال الزامی است تا متخصص ترمیم و زیبایی با بررسی دقیق، منشا درد را شناسایی کند و راهکارهای درمانی را ارائه دهد.
در ادامه ابتدا جدول مربوط به بازه زمانی درد ایمپلنت دندان را میبینیم. پس از مشاهده جدول، توضیحات مربوط به جدول را در ادامه بخوانید.
| بازه زمانی | توضیحات |
|---|---|
| تا 1 هفته بعد از عمل | تجربه درد طبیعی است و تا 10 روز ممکن است طبیعی باشد. |
| 2 هفته بعد از عمل | درد نباید ادامه داشته باشد. |
| 3 تا 4 ماه پس از کاشت | درد طبیعی نیست و ممکن است نشانه بیماری یا وضعیت جدی باشد. |
| 1 سال بعد از جراحی و بیشتر از آن | غیر طبیعی است و ممکن است نشان دهنده وضعیت جدی مانند پس زدن و عفونت ایمپلنت باشد. |
طبیعی است که در این مرحله یعنی بلافاصله پس از اتمام جراحی تا 1 هفته بعد از آن هنوز کمی درد کنید. داشتن هرگونه درد در این هفته، با کمک داروهای تجویز شده توسط متخصص ایمپلنت شما تسکین پیدا خواهد کرد و جای نگرانی نخواهد داشت. درد ممکن است تا 10 روز به صورت جزئی وجود داشته باشد ولی درد ایمپلنت دندان بیش از 10 روز طول بکشد چندان طبیعی نیست.
🦷 این مقاله را از دست ندهید: متخصص ایمپلنت دندان در تهران
در این مرحله، درد باید فروکش کرده باشد. زیرا چندان معمول نیست که 2 هفته بعد از جراحی درد تجربه شود. در صورتی که تا این هفته درد داشتید و یا از این هفته درد تجربه می کنید باید فوراً با دندانپزشک خود تماس بگیرید زیرا ممکن است عفونت داشته باشید که باید سریع معاینه و درمان شوید.
درد ایمپلنت دندان در این مرحله طبیعی نیست و به احتمال زیاد به دلیل یکی موارد زیر است:
در صورت بروز هر یک از این موارد، باید بلافاصله با دندانپزشک یا متخصص ایمپلنت خود تماس بگیرید زیرا عدم رسیدگی و توجه به آن می تواند خطرناک باشد.

اگر یک یا چندین سال پس از عمل، دردی مرتبط با ایمپلنت و اطرف آن را تجربه می کنید و به صورت اتفاقی درد شروع شد احتمالا مرتبط با یکی از دلایل زیر باشد:
هر چند که درد ایمپلنت دندان ممکن است پس از جراحی تجربه شود عوامل دیگری هم وجود دارد که در مجموع باعث افزایش این درد می شود. به عنوان مثال موارد زیر همگی عواملی هستند که روی تجربه درد ایمپلنت دندان تاثیر گذار هستند:
پس از آنکه پایه ایمیپلنت در داخل استخوان فک کاشته شد، تا زمانی که با استخوان فک جوش بخورد روکش روی آن سوار نمی شود. برای محافظت از ایمپلنت تا زمان بهبودی کامل در چنین شرایطی قطعه ای کوچک به نام هیلینگ کپ روی پایه سوار می شود. اگر این قطعه شل شده یا بی افتد می تواند موجب ایجاد درد ایمپلنت یا افزایش آن در طول دوره بهبودی شود.
اگر فک توده استخوانی کافی نداشته باشد، ایمپلنت دندان ممکن است شل شود. این موضوع می تواند باعث ناراحتی و گاهی اوقات درد شود. در بیشتر موارد، دندانپزشک یا متخصص ایمپلنت شما نیاز به برداشتن و تعویض ایمپلنت احساس می کند.

بروز هر نوع عفونت لثه یا استخوان پس از کاشت ایمپلنت نیز می تواند باعث درد شود. اگر زود تشخیص داده شود، ممکن است قابل درمان باشد ولی در صورت عدم درمان، ممکن است باعث بروز درد شدید شود.
گاهی اوقات ایمپلنت دندان با استخوان بیمار ادغام نمی شود و بنابراین، بدن آن را پس می زند که این عارضه با نام ایمپلنت ناموفق، شکست ایمپلنت یا پس زدن ایمپلنت نیز شناخته می شود. اگر این اتفاق برای شما بیفتد، می تواند باعث شل شدن ایمپلنت و در نتیجه ایجاد درد ایمپلنت دندان شود.
لبته این یک عارضه شایع نیست، اما ممکن است در برخی افراد رخ دهد. گاهی اوقات گرمای مته دندانپزشک که استخوان فک را میشکافد، می تواند به استخوان اطراف محل جراحی آسیب برساند. این باعث ایجاد مقدار زیادی درد و ناراحتی می شود. اگر این اتفاق بیفتد، دندانپزشک باید ایمپلنت و هر استخوان آسیب دیده را خارج کند.
این یک مورد نیز معمولا بسیار نادر است. اگر متخصص ایمپلنت از طریق مته خود یا جایگذاری نامناسب ایمپلنت به عصب آسیب وارد کردهد باشد می تواند درد ایمپلنت و بی حسی موقتی تا دائمی ایحاد کند.

کارهای زیادی وجود دارد که می توانید برای مدیریت و به حداقل رساندن دردی که ممکن است در اثر جراحی ایمپلنت دندان تجربه کنید، انجام دهید. اگر با دندانپزشک خود در مورد درد تماس بگیرید، احتمالاً یکی یا برخی از این گزینه ها که در ادامه توضیح داده شده اند را به شما پیشنهاد خواهد کرد. راهکارهای درمان درد ایمپلنت دندان عبارت اند از:
قبل از انجام جراحی کاشت ایمپلنت حتما به دنبال پیدا کردن بهترین متخصص ایمپلنت در شهر خود باشید. زیرا اگر این متخصص به خوبی عمل را انجام دهید شما پس از جراحی درد بسیار کمی تجربه خواهید کرد یا اصلا دردی تجربه نمی کنید. به جای انتخاب یک متخصص ایمپلنت کم تجربه که هزینه ایمپلنت کمتری از شما درخواست می کند به نزد یک متخصص خوب و باتجربه که هزینه های منصفانه دریافت می کند برگزینید. بسیاری از متخصصین خوب و با تجربه خدماتی همچون امکان پرداخت اقساطی هزینه ایمپلنت دندان را فراهم کرده اند که می توانید به دنبال این مراکز باشید.
یکی از جواب های ابهام “برای کاهش درد ایمپلنت چه باید کرد؟” رعایت و اجرای مو به مو مراقبت های بعد از ایمپلنت دندان است. هر کاری که دندانپزشک در خصوص مراقبت های بعد از عمل می دهد را با دقت انجام دهید، مطمئن شوید که آن دستورالعمل ها را دقیقا مطابق با دستور و توصیه پزشک دنبال می کنید. برای سلامت دهان و کل بدن شما بسیار مهم است که مراحل داده شده را به طور کامل دنبال کنید.
ممکن است دندانپزشک به شما توصیه کند بعد از جراحی برای رفع ناراحتی و درمان درد ایمپلنت دندان خود مسکن مصرف کنید، این مسکن معمولاً ایبوپروفن خواهد بود. اگر دوز توصیه شده باعث کاهش درد در شما نمی شود، حتما با دندانپزشک خود تماس بگیرید تا در مورد افزایش دوز یا در نظر گرفتن داروهای جایگزین صحبت کنید.
در چند روز اول بعد از عمل و به خصوص در روز اول، می توانید از کمپرس یخ برای بی حس کردن صورت، و کاهش درد و تورم استفاده کنید. استفاده از این کمپرس بر روی گونه می تواند سبب کاهش حساسیت و تسریع روند بهبودی شود.
شستشوی آرام دهان با آب نمک ولرم می تواند به کاهش درد ایمپلنت و مبارزه با باکتری های ایجاد کننده عامل عفونت کمک کند. ممکن است هنگام شستشو داخل دهان شما و محل عمل کمی دچار سوزش شود، اما به طور کلی به شما برای راحتی بیشتر در طول دوره بهبودی کمک خواهد کرد.

در طول دوران نقاهت از خوردن غذاهای سفت و سخت و شیرین اجتناب کنید و رو به خوردن غذاهای سرد و نرم بیاورید. این غذاها می تواند شامل اسموتی ها، ماست و هر چیزی که پوره شده است باشد.
از مهم ترین راهکارهای درمان درد ایمپلنت دندان می توان به ممنوعیت استعمال دخانیات و مصرف الکل اشاره کرد. استعمال دخانیات باعث تضعیف پروسه التیام و ترمیم بافت های آسیب دیده ساختار استخوانی می شود. مصرف الکل باعث شکل گیری خشکی دهان و تضعیف عملکرد بزاق دهان شده تا فرصتی به باکتری های مضر دهانی برای افزایش فعالیت های آسیب زننده به ساختار دندانی هدیه دهد.
مسواک زدن و نخ دندان کشیدن 2 تا 3 بار در روز به افرادی که جراحی ایمپلنت انجام داده اند توصیه می شود. این نکته بسیار مهم است و شما باید همیشه آن را رعایت کنید. اما ممکن است دندانپزشک شما توصیه کند از مسواک زدن ناحیه جراحی خودداری کنید زیرا این کار خود منجر به افزایش درد ایمپلنت می شود.
متقاضیان کاشت پروتز ثابت دندانی ایمپلنت سوالی مبنی بر “کدام مرحله ایمپلنت درد دارد؟” در ذهنشان وجود دارد. در ادامه قصد داریم هر 3 مراحل ایمپلنت دندان را با یکدیگر بررسی نماییم:
دندانپزشک معالج بعد از انجام جلسات معاینه، مشاهده نتایج آزمایشات اولیه، ارزیابی وضعیت سلامت دندان ها و دهان، شروع به قرار دادن ساختار متشکل ایمپلنت در دندان های هدف می کند. دندانپزشک متخصص ترمیم و زیبایی در مرحله اول قرارگیری پروتز ثابت دندانی مذکور، عملیات قرارگیری پایه ایمپلنت در ساختار لثه را انجام می دهد.
اما آیا مرحله اول ایمپلنت درد دارد؟ بله، اما بسیار خفیف. دندانپزشک معالج با تزریق داروی بی حسی موضعی در ساختار لثه و تجویز مسکن های تسکین دهنده در حال تلاش برای تجربه کردن کمترین درد ایمپلنت دندان در مرحله اول است.

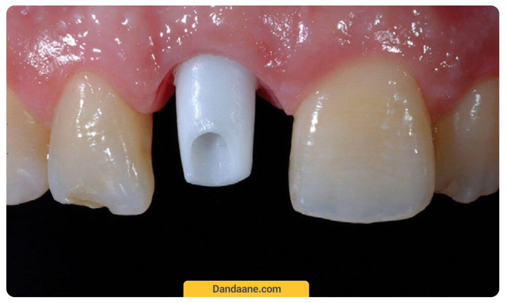
افرادی که جزو متقاضیان کاشت ایمپلنت دندان قرار دارند، حتما نام قطعه اباتمنت رو در جلسات مشاوره و معاینه با دندانپزشک متخصص ترمیم و زیبایی شنیده اند. این قطعه از ساختار متشکل ایمپلنت، نوعی متصل کننده برای تثبیت موقعیت مکانی پایه ایمپلنت با تاج دندان است. با گذشت 90 الی 180 روز از اجرای مرحله اول از مراحل ایمپلنت دندان، وقت نصب اباتمنت بر روی پایه پروتز ثابت ایمپلنت است.
اما آیا مرحله دوم ایمپلنت درد دارد؟ بله، اما بعد از اتمام تاثیرگذاری داروی بی حسی موضعی. دندانپزشک معالج برای قرارگیری اباتمنت در لثه از داروی بی حسی موضعی کمک می گیرد تا بیمار هیچ دردی را در حین اجرای فرآیند تجربه نکند. با رسیدن به زمان اتمام اثرگذاری داروی بی حسی موضعی، بیمار کمی درد جزئی و بسیار خفیف را تجربه خواهد کرد که با مصرف داروهای تسکین دهنده تجویزی از سوی دندانپزشک معالج قابل حل است.

نوبت اجرای عملیات قابل گیری دندان و قرارگیری باندینگ بر روی پروتز ثابت ایمپلنت می رسد. دندانپزشک معالج در آخرین بخش از مرحله سوم ایمپلنت دندان به نصب عاج دندان بر روی پایه پروتز ثابت دندانی ایمپلنت می پردازد. اما آیا مرحله سوم ایمپلنت درد دارد؟ بله، اما بسیار خفیف.

درد ایمپلنت دندان نشانه ای از شکل گیری مشکلات احتمالی بعد از اجرای فرآیند کاشت را به نمایش می گذارد:
درد ایمپلنت دندان پس از جراحی طبیعی است اما درد نباید بیش از 10 روز طول بکشد. اگر چنین شد، با دندانپزشک خود تماس بگیرید.
بازه زمانی لازم برای قرارگیری افراد در مسیر شروع کاهش درد ایمپلنت دندان 1 الی 3 روز است. به یاد داشته باشید که شرایط بیماران با یکدیگر متفاوت است و برخی از افراد احتمال دارد تا 1 هفته درد بعد از جراحی ایمپلنت را تجربه کنند.
قرص استامینوفن به عنوان رایج ترین مسکن قوی برای کاهش درد ایمپلنت شناخته می شود.
این پست برایتان چقدر مفید بود؟
برای امتیاز دهی روی ستاره ها کلیک کنید
میانگین امتیازات / 5. تعداد امتیازات
هیچ امتیازی ثبت نشده، شما اولین امتیاز را ثبت کنید
مجله تخصصی دنیای دندان یکی از مهم ترین پایگاه های سلامت دهان و دندان است؛ که به کلیه موارد مربوط به چگونگی پیشگیری و درمان مشکلات مربوط به دهان و دندان به زبانی کاملا ساده می پردازد.
هر گونه سوالی در زمینه دندان درد، بیماری های دندان و لثه دارید را تنها با یک جستجوی ساده در مجله تخصصی دنیای دندان بیابید.
این پست برایتان چقدر مفید بود؟
برای امتیاز دهی روی ستاره ها کلیک کنید
میانگین امتیازات / 5. تعداد امتیازات
هیچ امتیازی ثبت نشده، شما اولین امتیاز را ثبت کنید