منطقه زعفرانیه تهران به عنوان یکی از مناطق پرجمعیت شهر، به خدمات پزشکی و درمانی پیشرفته و باکیفیتی دسترسی دارد. در این مقاله قصد داریم به معرفی تعدادی از بهترین متخصص ارتودنسی در زعفرانیه و مناطق اطراف آن فعالیت می کنند، بپردازیم. همچنین در ادامه توضیح خواهیم داد که چرا انتخاب یک متخصص ارتودنسی ماهر نزدیک به محل سکونت، کار یا تحصیل می تواند روند درمان شما را ساده تر و کارآمدتر کند.
| ردیف | نام متخصص ارتودنسی در زعفرانیه | بورد تخصصی | سابقه کاری |
|---|---|---|---|
| 1️⃣ | دکتر هادی درویش پور | ✅ | 25 سال |
| 2️⃣ | دکتر امیر کامیار خضری | ✅ | 24 سال |
| 3️⃣ | دکتر محمد حسینی خواه | ✅ | 20 سال |
| 4️⃣ | دکتر محمد فراهانی | ✅ | 21 سال |
| 5️⃣ | دکتر الهام هرمزی | ✅ | 18 سال |
| 6️⃣ | دکتر مریم پوستی | ✅ | 28 سال |
| 7️⃣ | دکتر شیرین سعادت لاجوردی | ✅ | 35 سال |
لیست بهترین متخصص ارتودنسی در زعفرانیه

1. دکتر هادی درویش پور
هنر دکتر هادی درویش پور در اصلاح ناهنجاری های دهانی و درمان بی نظمی های دندانی غیر قابل توصیف است. ایشان معتقد هستند که فرآیند ارتودنسی صرفا اجرای عملیات هایی در راستای مرتب کردن دندان ها نبوده، نیست و نخواهد بود. اهمیت دادن دکتر هادی درویش پور در افزایش سطح سلامت دهان و طراحی یک لبخند خیره کننده با نهایت زیبایی جلوه بصری بی نظیر است.
تزریق انرژی مثبت به مراجعه کنندگان کلینیک دکتر هادی درویش پور بدون وقفه می باشد. بیش از هزاران متقاضی اصلاح ناهنجاری های فک، صورت و دهان در طول سال به کلینیک های دکتر هادی درویش پور در مناطق مرکز، شمال و غرب تهران مراجعه می کنند. جملات قادر به توصیف دلایل متعدد جایگاه اول دکتر هادی درویش پور در لیست بهترین متخصص ارتودنسی در زعفرانیه و کشور نیست. شایان ذکر است که مطب ایشان در قیطریه به عنوان یکی از بهترین کلینیک دندانپزشکی در شمال تهران شناخته می شود.
ویدئو معرفی دکتر هادی درویش پور
نمونه کار دکتر هادی درویش پور



- ساعت کاری: شنبه تا پنج شبنه از ساعت 09:00 صبح الی 21:00 شب.
- آدرس کلینیک: تهران، مترو قیطریه، ابتدای بلوار صبا نبش کوچه خلیلی، طبقه دوم
- شماره نظام پزشکی: ۱۱۱۲۹۹

2. دکتر امیر کامیار خضری
دکتر امیر کامیار خضری رویایی داشتن یک لبخند درخشان با دندان های مرتب را به واقعیت تبدیل می کند. وی در کلینیک های دندانپزشکی دُر تهران و طباطبایی کرج از مدرن ترین تجهیزات درمانی برای اصلاح ناهنجاری های دهان و فکین استفاده می کند. تعهد دکتر امیر کامیار خضری به درمان جهت دستیابی به بهترین نتایج و انتظارات بیماران اصلاح ناهنجاری های دهانی و بی نظمی های دندانی غیر قابل توصیف است. اخلاق حرفه ای پزشکی وی باعث شده است که به عنوان بهترین متخصص ارتودنسی در زعفرانیه و کرج شناخته شود.
ویدئو معرفی دکتر امیر کامیار خضری
نمونه کار دکتر امیر کامیار خضری



- ساعت کاری: شنبه تا پنج شبنه از ساعت 08:00 صبح الی 18:00 عصر
- آدرس کلینیک: تهران، خیابان مقدس اردبیلی، ابتدای خیابان فرخ، ساختمان فرخ، طبقه اول، واحد 5
- شماره نظام پزشکی: 79779

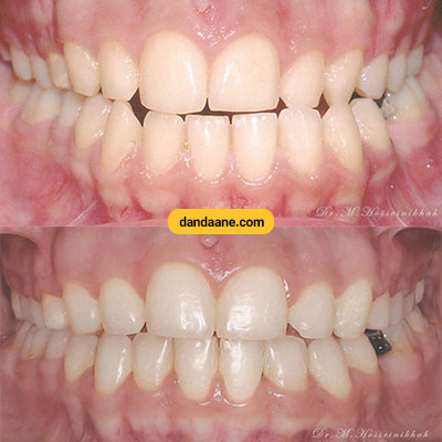
3. دکتر محمد حسینی خواه
رسالت دکتر محمد حسینی خواه ارائه تمام خدمات مرتبط با انواع روش های ارتودنسی دندان، اصلاح پیشگرانه ناهنجاری های دهان، جراحی فک و درمان دندان های نهفته برای گروه های مختلف سنی است. تمام تلاش دکتر محمد حسینی خواه برای درمان ناهنجاری های دهانی با بدون کشیدن دندان های دائمی همراه است. عضویت در انجمن متخصصان ارتودنتیست ایالات متحده آمریکا باعث قرارگیری ایشان در لیست بهترین متخصص ارتودنسی در زعفرانیه و کشور می شود. اگر به دنبال بهترین متخصص ارتودنسی در تهران برای درمان ناهنجاری های دهان کودکان هستید، دکتر محمد حسینی خواه جزو بهترین گزینه های پیشنهادی است.
ویدئویی از دکتر محمد حسینی خواه (ارتودنسی همراه با کشیدن دندان دائمی)
نمونه کار دکتر محمد حسینی خواه



- ساعت کاری: یک شنبه، سه شنبه و چهارشنبه از ساعت 10:00 صبح الی 18:00 عصر
- آدرس کلینیک: زعفرانیه، خیابان مقدس اردبیلی، بین خیابان پسیان و میدان الف، پلاک 98، طبقه سوم، واحد 301
- شماره نظام پزشکی: 41542

4. دکتر محمد فراهانی
دلسوزترین دکتر میان فهرست بهترین متخصص ارتودنسی در زعفرانیه دکتر محمد فراهانی است. ایشان در جلسات مشاوره و معاینه تمام نکات دستورالعمل های پزشکی نظیر نکات بهداشت دهان و لثه، مراقبت های دندان کودکان یا روش های نگهداری از کیفیت درمان ارتودنسی بعد از نصب تجهیزات ارائه می دهند. وی جزو متخصصانی در کشور است که بالاترین کیفیت درمان های ارتودنسی ثابت، متحرک، دیمون و نامرئی را تصمین می کند. ایشان به صورت تخصصی بر روی اصلاح ناهنجاری های دهانی و بی نظمی های دندانی کودکان می پردازد. همچنین وی دارای مهارت خاص در حوزه ارتوپدی فک و درمان های فانکشنال است.
- ساعت کاری: شنبه تا سه شنبه از ساعت 12:00 ظهر الی 20:00 شب و چهارشنبه از ساعت 12:00 ظهر الی 22:00 شب
- آدرس کلینیک: خيابان وليعصر، بالاتر از چهارراه پارك وى، خيابان فرشته، مجتمع تجارى سام سنتر، طبقه ششم، داخل پاركينگ طبقاتی، واحد ادارى ١٠٤
- شماره نظام پزشکی: 166429

5. دکتر الهام هرمزی
ایجاد ارتباط ایده آل میان دندان و فک برای خلق لبخندی زیبا جزو مهارت های یک متخصص ماهر ارتودنسی است که نیازمند تجربه بالا و تخصص بروز می باشد؛ دکتر الهام هرمزی از دیگر بهترین متخصص ارتودنسی در زعفرانیه و تهران، سوار بر امواج مسیر ممتد آلوده بر زیبایی لبخند هستند. اگر نگران پرداخت هزینه ارتودنسی دندان هستید، دکتر الهام هرمزی با ایجاد شرایط اقساطی اجازه انتقال نگرانی های مالی را به متقاضیان روند درمان بی نظمی های دندانی و اصلاح ناهنجاری های دهان و فکین نمی دهد.
ویدئویی معرفی دکتر الهام هرمزی
- ساعت کاری: شنبه تا پنج شنبه به صورت شبانه روزی
- آدرس کلینیک: زعفرانیه، خیابان مقدس اردبیلی ،جنب سفارت ژاپن، ساختمان مهر،شماره 158، واحد 524
- شماره نظام پزشکی: 140294

6. دکتر مریم پوستی
دکتر مریم پوستی تنها دکتر میان اسامی بهترین متخصص ارتودنسی در زعفرانیه است که دارای بورد تخصصی بین المللی (ناسیونال) می باشد. 30 سال سابقه فعالیت درمان و اصلاح ناهنجاری های دهانی نشان دهنده حرفه ای بودن ایشان در حوزه ارتودنسی است. ایشان بالای 16 سال در معروف ترین دانشگاه های کشور ایران مشغول تدریس بوده اند. لازم است که بدانید ایشان جزو معدود کسانی هستند که دارای تجربه کاری حرفه ای حوزه ارتودنسی دندان در خارج از کشور ایران می باشند.
دکتر مریم پوستی معتقد هستند که هیچ یک از دسته بندی اقشار نباید نگران پرداخت هزینه های درمان باشند؛ ایشان علاوه بر آنکه شرایط اقساطی را با پیش پرداخت کم ایجاد کرده اند، هزینه پرداختی برای اجرای عملیات ارتودنسی دندان را 50 درصد ارزان تر نسبت به تعرفه های سایر مراکز تخصصی اصلاح ناهنجاری های دهان و فکین در نظر می گیرند.
نمونه کار دکتر مریم پوستی



- ساعت کاری: شنبه تا پنج شنبه از ساعت 10:00 صبح الی 19:00 عصر و جمعه به صورت شبانه روزی
- آدرس کلینیک: زعفرانیه، 400 متر بعد از پالادیوم، بعد از کردوانی (کیهان)، پلاک 31، طبقه 3 شمالی، واحد 16
- شماره نظام پزشکی: 47712

7. دکتر شیرین سعادت لاجوردی
پروسه تحصیل دندانپزشکی دکتر شیرین سعادت لاجوردی در یکی از معتبرترین دانشگاه های کشور انگلستان به اتمام رسید. باید بدانید که فارغ التحصیلی دکتر شیرین سعادت لاجوردی در رشته دندانپزشکی با درجه افتخاری از دانشگاه University College London شهر لندن واقع در کشور انگلستان شکل گرفت. ایشان بورد تخصصی ارتودنسی دندان را از بیمارستان Eastman Dental Hospital شهر لندن دریافت کرد. همچنین وی از سال 1370 تا 1381 در سمت استادیاری دانشکده دندانپزشکی دانشگاه آزاد قرار داشت. دکتر شیرین سعادت لاجوردی با ارائه یک مرکز درمانی مجهز به جدیدترین تکنولوژی روز دنیا و تسلط کامل به روش های نوین اصلاح ناهنجاری های دهان، توانسته اند با کمک کادر درمان مجرب خویش به عنوان نگین اسامی بهترین متخصص ارتودنسی در زعفرانیه و کشور شناخته شوند.
- ساعت کاری: شنبه تا چهارشنبه از ساعت 15:00 بعد از ظهر تا 19:00 شب
- آدرس کلینیک: زعفرانیه، خیابان مقدس اردبیلی، رو به روی مرکز خرید پالادیوم، پلاک 81، ساختمان پیراسته، طبقه دوم، واحد 22
- شماره نظام پزشکی: 43628
معیارهای انتخاب لیست بهترین متخصص ارتودنسی در زعفرانیه
انتخاب بهترین متخصص ارتودنسی برای درمان مشکلات دندانی و بهبود زیبایی لبخند، تصمیمی مهم و تاثیرگذار است. برای تهیه لیست بالا که از بهترین متخصصان ارتودنسی در زعفرانیه هستند، معیارهایی مورد توجه قرار گرفته است تا افراد بتوانند با اطمینان بیشتری تصمیم گیری کنند.
1. سابقه کاری
یکی از اصلی ترین معیارها، تجربه و سابقه کاری متخصص است. متخصصی که سال ها در این حوزه فعالیت کرده و با انواع کیس های درمانی مواجه شده، از مهارت بیشتری در تشخیص و درمان مشکلات دندانی برخوردار است. تجربه بالا به معنای احتمال موفقیت بیشتر درمان و کاهش خطرات احتمالی است.

2. تخصص و مدارک تحصیلی
تخصص نیز عامل مهم دیگری است. ارتودنتیست های حرفه ای معمولا دوره های تخصصی ارتودنسی را پس از پایان تحصیلات عمومی دندانپزشکی گذرانده اند. این آموزش های تخصصی تضمین می کند که متخصص با جدیدترین تکنیک ها و روش های درمانی آشنا است.
3. استفاده از فناوری های مدرن
استفاده از فناوری های مدرن و تجهیزات پیشرفته نیز نقش مهمی در انتخاب بهترین ها دارد. مطب هایی که از دستگاه ها و مواد به روز استفاده می کنند، معمولا خدماتی باکیفیت تر و راحت تر برای بیماران فراهم می کنند. تکنولوژی های جدید، علاوه بر افزایش دقت درمان، می توانند زمان درمان را کاهش دهند و تجربه بیمار را بهبود بخشند.
4. نظرات و نتایج درمان بیماران قبلی
نظرات و تجربیات بیماران قبلی نیز یکی از منابع ارزشمند برای ارزیابی متخصصان است. بازخوردهای مثبت بیماران نشان دهنده مهارت، اخلاق حرفه ای و توانایی متخصص در ایجاد رابطه ای مطمئن با بیماران است.
این معیارها به شما کمک می کنند تا بهترین انتخاب را بر اساس نیازها و شرایط خود داشته باشید. لیستی که بر اساس این عوامل تهیه شده، شامل متخصصانی است که علاوه بر مهارت بالا، تجربه درمانی رضایت بخشی برای بیماران خود فراهم کرده اند.
چرا انتخاب متخصص ارتودنسی نزدیک به محل زندگی اهمیت دارد؟
درمان ارتودنسی یکی از فرآیندهای زمان بر و طولانی مدت در حوزه دندانپزشکی است که نیازمند مراجعات مکرر به مطب متخصص است. این مراجعات معمولا هر چند هفته یک بار برای تنظیم دستگاه ها، بررسی پیشرفت درمان و رفع مشکلات احتمالی انجام می شود. از این رو، انتخاب متخصص ارتودنسی نزدیک به محل زندگی یا محل کار شما می تواند در صرفه جویی زمان و هزینه ها نقش مهمی داشته باشد.
یکی از مهم ترین مزایای نزدیکی مطب، کاهش زمان رفت و آمد است. در شهرهای شلوغی مانند تهران، ترافیک می تواند به عاملی استرس زا و خسته کننده تبدیل شود. داشتن مطبی در نزدیکی خانه یا محل کار شما به این معناست که می توانید زمان ارزشمند خود را صرف کارهای دیگر کنید و نیاز به صرف ساعت ها در ترافیک نخواهید داشت.

علاوه بر زمان، کاهش هزینه ها نیز اهمیت دارد. رفت و آمدهای مکرر به مناطق دورتر، به ویژه در صورت استفاده از وسایل نقلیه شخصی یا تاکسی های اینترنتی، می تواند هزینه های جانبی زیادی به همراه داشته باشد. انتخاب مطب نزدیک می تواند این هزینه ها را به حداقل برساند.
نزدیکی مطب به شما همچنین در مواقع اضطراری بسیار کاربردی است. گاهی اوقات ممکن است مشکلات ناگهانی مانند شکستن سیم ها یا نیاز فوری به بررسی دستگاه ها پیش بیاید. در چنین شرایطی، مراجعه سریع به متخصص نزدیک از بروز ناراحتی های بیشتر جلوگیری می کند.
در نهایت، درمان ارتودنسی یک فرآیند تعاملی است و نیاز به همکاری نزدیک بین بیمار و متخصص دارد. نزدیکی به مطب می تواند این ارتباط را راحت تر و موثرتر کند و به شما کمک کند تا تجربه ای مثبت تر و نتیجه ای بهتر از درمان خود داشته باشید.
توصیه های پایانی برای انتخاب بهترین متخصص ارتودنسی در زعفرانیه
انتخاب متخصص ارتودنسی یکی از مهم ترین گام ها برای دستیابی به لبخندی زیبا و درمانی موفقیت آمیز است. درمان ارتودنسی نه تنها یک فرآیند پزشکی، بلکه تجربه ای است که می تواند تاثیر ماندگاری بر کیفیت زندگی شما بگذارد. به همین دلیل، عجله در تصمیم گیری برای انتخاب متخصص می تواند به مشکلات و نارضایتی هایی منجر شود که با کمی دقت و تحقیق قابل پیشگیری بودند.
توصیه می کنیم پیش از هر تصمیمی، متخصصان مختلف را از جنبه های مختلف بررسی کنید. تجربه و تخصص متخصص، استفاده از تجهیزات و تکنولوژی های مدرن و نظرات بیماران قبلی از جمله معیارهایی هستند که می توانند در ارزیابی شما موثر باشند. علاوه بر این، مکانی که برای درمان انتخاب می کنید، باید فضایی راحت و اطمینان بخش داشته باشد تا در طول فرآیند درمان احساس آرامش کنید.

به یاد داشته باشید که ارتودنسی یک فرآیند زمان بر است و شما نیاز دارید به طور مکرر با متخصص خود در ارتباط باشید. انتخاب کسی که بتواند به سوالات شما پاسخ دهد، به شما اعتماد به نفس بدهد و از روش های درمانی مطابق با نیازهای شما استفاده کند، بسیار حیاتی است.
با دقت و تحقیق کافی، می توانید بهترین متخصص ارتودنسی در زعفرانیه را پیدا کنید که نه تنها درمانی موفقیت آمیز ارائه دهد، بلکه تجربه درمانی مثبت و خوشایندی برای شما فراهم کند. تصمیم درست امروز، لبخند زیباتر و سلامت دندان های شما را در آینده تضمین می کند. پس وقت بگذارید، تحقیق کنید و بهترین انتخاب را انجام دهید.
سایر مقالات این سایت:
- بهترین متخصص ارتودنسی در شمال تهران
- لیستی از بهترین متخصص ارتودنسی در نیاوران
- بهترین متخصص ارتودنسی در میرداماد
- بهترین متخصص ارتودنسی در فرمانیه
- بهترین متخصص ارتودنسی در آجودانیه
- بهترین متخصص ارتودنسی در ولنجک
- بهترین متخصص ارتودنسی در الهیه
- بهترین متخصص ارتودنسی در ظفر
- لیست بهترین متخصص ارتودنسی در دروس
- بهترین متخصص ارتودنسی در قیطریه
پاسخ به سوالات پرتکرار در مورد بهترین متخصص ارتودنسی در زعفرانیه
متخصص ارتودنسی دندانپزشکی است که به طور تخصصی در زمینه اصلاح ناهنجاری های دندانی و فکی آموزش دیده است. مراجعه به متخصص به شما اطمینان می دهد که درمان شما بر اساس جدیدترین روش ها و با بهترین نتیجه انجام می شود.
تجربه کاری، تخصص در ارتودنسی، استفاده از تجهیزات مدرن و نظرات بیماران قبلی از مهم ترین معیارها هستند. بهتر است قبل از تصمیم گیری، درباره سابقه و خدمات متخصص تحقیق کنید.