لثه ها از مهمترین بخش های داخل دهان هستند که نه تنها نقش محافظتی برای دندان ها دارند بلکه به زیبایی لبخند ما نیز کمک می کنند. آن ها در حالت عادی بخش کوچکی از لبخند ما را تشکیل می دهند و ریشه های دندان را می پوشانند. اما زمانی که از موقعیت طبیعی خود بالاتر بروند یا به اصلاح تحلیل لثه اتفاق بیفتد، ظاهری نامناسب به لبخند ما می دهند. در این مقاله از دنیای دندان درباره علل، علائم و نحوه درمان عقب نشینی لثه ها مطالبی خواهید خواند.
تحلیل لثه چیست؟ (بالا رفتن لثه ها به چه معنا است؟)
لثه بافتی به رنگ صورتی در دهان است که اطراف دندان را احاطه کرده و از استخوان و ریشه دندان محافظت می کند. بافت لثه یک بافت متراکم است و ادامه همان بافت های داخل دهانی مثل بخش داخلی لپ ها و سقف دهان است، با این تفاوت که خونرسانی بیشتری دارد و رنگش متمایز تر است. زمانی که لثه ها از حالت طبیعی خود بالا تر روند و ریشه دندان در معرض دید قرار بگیرد اصطلاحا گفته می شود که لثه دچار عقب نشینی شده، بالا رفته یا دچار تحلیل شده است. این موضوع می تواند باعث تجمع باکتری ها و حمله پلاک دندانی به ریشه دندان شده و مشکلات زیادی را در آینده برای افراد ایجاد کند.
به نقل از وبسایت PMC
ترجمه انگلیسی:
Gingival recession or soft tissue recession is defined as the displacement of the gingival margin apical to the cemento-enamel junction (CEJ) of a tooth.
ترجمه فارسی:
تحلیل لثه یا تحلیل بافت نرم، به عنوان جا به جایی لبه لثه به سمت ریشه (اپیکال) نسبت به خط اتصال مینا و سمان (CEJ) دندان تعریف می شود.
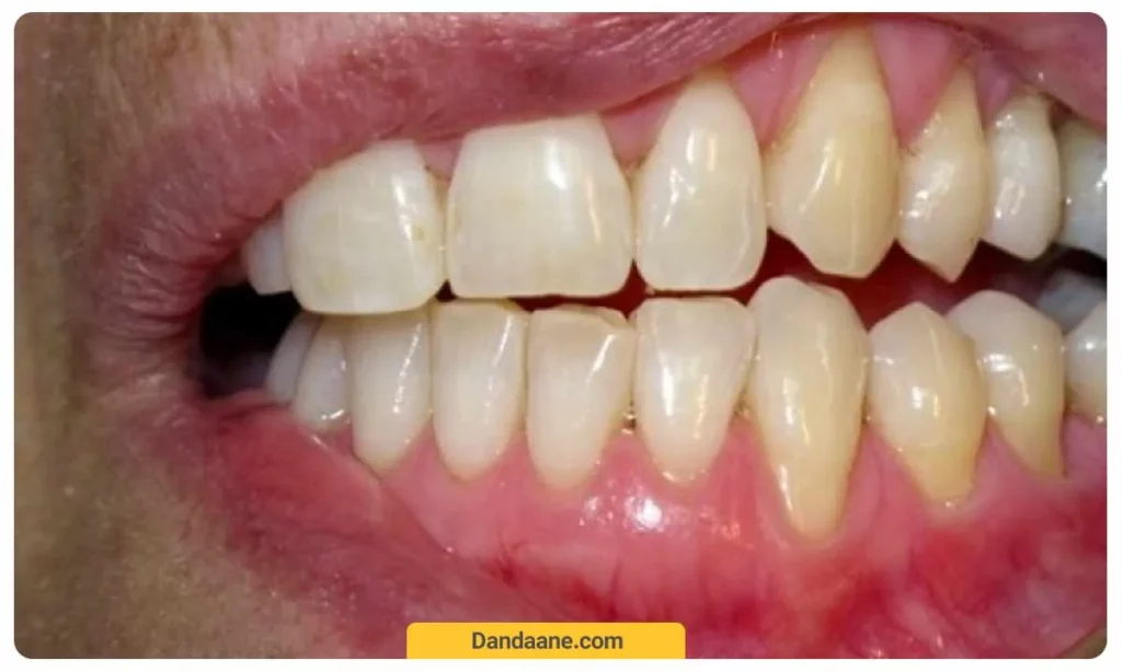
نمای عکس تحلیل لثه
اگر به دنبال درک روشنی از ظاهر پس روی لثه هستید، تصویر بخش ذیل را مشاهده کنید:

تحلیل لثه از داخل یعنی چی؟
تحلیل لثه از داخل یعنی پس روی بافت های متشکل لثه به سمت داخل فضای دهان شکل گیرد. لازم است تا بدانید که اگر پس روی لثه از داخل صورت گیرد، عقب نشینی ریشه دندان ها شکل خواهد گرفت. نمایان شدن قسمتی از ریشه واحدهای دندانی در صورت عقب نشینی لثه ها از داخل کاملا طبیعی است. به یاد داشته باشید که منشا این مشکل، حضور انواع بیماری لثه، تجمع بیش از اندازه جرم یا پلاک های دندانی و بهداشت ضعیف دهان است. در صورت تحلیل رفتن لثه ها، حساس شدن دندان ها به تغییرات دمایی با مرور زمان شکل خواهد گرفت.
علائم تحلیل لثه چیست؟
قرارگیری لثه و دندان در محدوده تجربه افزایش واکنش های حساسیتی مانند تغییرات دمایی به عنوان رایج ترین علائم پس روی یا عقب نشینی لثه ها شناخته می شود. شناخت نشانه های ابتدایی بیماری پس روی لثه ها به شما کمک می کند که تشخیص دهید آیا لثه دچار بالا رفته یا خیر. شایع ترین ومهم ترین علائم تحلیل لثه عبارتند از:
- تغییر ظاهر و طرح لبخند
- افزایش فاصله بین دندان ها
- افزایش طول دندان
- نمایان شدن ریشه دندان
- افزایش حساسیت دندان
- حالت قرمزی لثه ها
- شکل گیری ورم لثه
- مشاهده خونریزی از لثه ها حین اجرای فرآیند پاکیزه سازی سطوح دندان با مسواک
- مشاهده خونریزی از لثه ها حین میل کردن مواد غذایی با بافت سفت نظیر میوه سیب

چگونه تحلیل لثه را تشخیص دهیم؟
مشاهده تغییرات پس روی لثه نیازمند زمان است؛ سرعت شکل گیری عقب نشینی لثه از آن چیزی که تصور دارید بسیار کُندتر می باشد. شایان ذکر است که تشخیص تحلیل لثه کار ساده و آسانی نیست؛ اما نشانه هایی وجود دارد که می تواند در این امر به افراد کمک بسزایی کند:
- لق شدگی واحدهای دندانی
- افزایش واکنش های حساسیتی دندان
- نمایان شدن ریشه دندان
- بروز تغییرات رنگی بر روی سطوح دندانی
- افزایش فواصل بین واحدهای دندانی
- خروج خون از لثه
- قرمز شدن بافت های متشکل لثه
- بروز تورم در بافت های متشکل لثه
- انتشار و خروج بوی نامطلوب از دهان
- ایجاد حالت زبری در قسمت هایی از سطوح دندانی که در خط لثه قرار دارند
- شکل گیری پوسیدگی دندانی در ناحیه تحتانی خط لثه
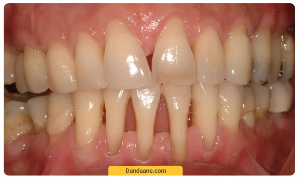
علت تحلیل لثه چیست؟
دو عامل مهم دست در دست هم می دهند تا لثه ها در مجموع از موقعیت طبیعی خود بالاتر بروند. بهداشت ضعیف دهان و دندان و بیماری لثه می توانند مهم ترین عوامل برای شکل گیری این وضعیت باشند. ساییدگی لثه ها با مسواک های سفت و سخت و التهاب بافت لثه نیز نقش مهمی در پس روی لثه ها دارد. در برخی افراد نیز به صورت ارثی لثه ها نازک هستند و خیلی زود بالا می روند. به دلیل فشاری که افراد به لثه ها با مسواک وارد می کنند در افراد چپ دست، لثه سمت راست آسیب می بیند و در افراد راست دست سمت چپ بیشتر دچار پس روی لثه است. به صورت کلی، عوامل تاثیرگذار بر بروز عقب نشینی لثه ها و نمایان شدن بافت های متشکل مجاور واحدهای دندان در فهرست بخش ذیل قابل مشاهده هستند:
- عدم رعایت بهداشت دهان و دندان
- عوامل ارثی
- بی نظمی، کجی و عدم هماهنگی دندان ها (مشکلات ارتودنسی)
- صدمات ناشی از درمان های دندانپزشکی
- اعمال نیرو بیش از اندازه در فرآیند مسواک زدن
- بیماری پریودنتال لثه
- استعمال دخانیات و مصرف الکل
- دندان قروچه
- شکل گیری ساییدگی دندان ها
- سوراخ کردن لب (پرسینگ لب)
- سوراخ کردن زبان (پرسینگ زبان)
- عوارض ناشی از تغییرات هورمونی
بیشتر بدانید : 100% جزئیات تاثیر سیگار بر دندان (15 عارضه اصلی)

انواع تحلیل لثه را بشناسید …
انواع عقب نشینی لثه در بخش های بخش ذیل قابل مشاهده هستند:
+ تحلیل لثه بعد از ایمپلنت
احتمال شکل گیری فرآیند تحلیل لثه بعد از ایمپلنت در بسیاری از متقاضیان مربوطه برای جاگزین دندان از دست رفته وجود دارد. شایان ذکر است که بروز پس روی بافت های متشکل لثه هنگام اجرای عملیات کاشت ایمپلنت دندانی موجب تجربه کردن احساس درد غیرخفیف توسط بیماران خواهد شد.

نمی توان در چنین شرایطی از ارائه ظاهری نامناسب و نامطلوب توسط بست های فلزی پروتز ثابت دندانی ایمپلنت چشم پوشی نمود. باید بدانید که احتمال عدم دستیابی به نتایج موفقیت آمیز کاشت ایمپلنت دندان با شکل گیری عقب نشینی لثه ها بسیار افزایش می یابد. در چنین شرایطی، درمان عقب نشینی لثه و یا حتی کاشت مجدد پروتز ثابت دندانی ایمپلنت مطرح است.
+ تحلیل لثه دندان روکش شده
با شکل گیری پس روی بافت های متشکل لثه دندان روکش شده قسمتی از ریشه های واحد دندانی مذکور نمایان خواهد شد. طبیعی است که میزان واکنش های حساسیتی دندان روکش شده در زمان نمایان شدن ریشه های دندانی افزایش یابد. مسواک زدن نادرست و غیر اصولی بیشترین سهم را برای شکل گیری تحلیل لثه دندان روکش شده دارد.
البته باید بدانید که در بعضی مواقع، نصب باندینگ های نامناسب دندانی در شکل گیری این عارضه احتمالی بسیار تاثیرگذار هستند. اگر دندانپزشک از تجربه کافی و تخصص بالا بهره مند نباشد، روکش دندانی نصب شده با گذر زمان باعث تحریک بافت های متشکل لثه برای پس روی خواهد شد.

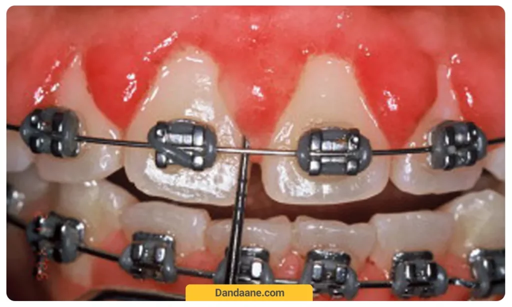
+ تحلیل لثه در ارتودنسی
قابلیت ایمن نگه داشتن ارتودنسی برای جلوگیری از تجربه کردن اکثر بیماری های دهان و دندان بسیار منحصر به فرد است. اما لازم است تا بدانید که شکل گیری تحلیل بعد از ارتودنسی قابل پیش بینی می باشد. متخصص ارتودنسی دندان باید با تخصصی بروز و تجربه کافی بتواند مسیر اصلاح ناهنجاری های دهانی و بی نظمی های دندانی را به بهترین شکل ممکن طی کند تا بیمار مشکل عقب نشینی لثه را تجربه نکند.

همچنین متقاضیان اصلاح ناهنجاری های دهانی و نظم دادن به بی نظمی های دندانی باید بدانند که تنها انتخاب متخصص ارتودنسی حاذق و ماهر برای جلوگیری از شکل گیری تحلیل لثه در ارتودنسی کافی نیست؛ بیماران باید بهداشت دهان و دندان را رعایت کنند و پایبند به اجرای تمام دستورالعمل های مراقبتی تجویزی از سوی دندانپزشک معالج باشند. شایان ذکر است که هر گونه بیماری های لثوی باید قبل از اجرای فرآیند ارتودنسی درمان شوند.
✨ بیشتر بخوانید: بهترین متخصص ارتودنسی در تهران کیست؟
+ تحلیل رفتن لثه بعد از کشیدن دندان
عقب نشینی بافت های متشکل لثه بعد از کشیدن دندان امری طبیعی است و احتمالا دندانپزشکان قادر به اجرای تمام روش های درمانی برای جلوگیری از شکل گیری آن نخواهند بود. جامعه دندانپزشکان متخصص ترمیم و زیبایی توصیه می کنند که اگر به دنبال کاشت پروتز ثابت یا متحرک دندانی هستید، باید پیش از رسیدن به زمان تحلیل رفتن لثه بعد از کشیدن دندان نسبت به این موضوع اقدام کرد. کاشت پروتز ثابت دندانی ایمپلنت به عنوان بهترین راهکار درمانی جهت جلوگیری از شکل گیری پس روی کام بافت های لثه بعد از کشیدن دندان شناخته می شود.

+ تحلیل استخوان لثه چیست؟
لازم است تا بدانید شکل گیری فرآیند کاهش سطح تراکم استخوان فکی (پوکی استخوان) در پس روی بافت های متشکل لثه بسیار تاثیرگذار هستند. به یاد داشته باشید که عارضه تحلیل استخوان فک با بروز عفونت دندان همراه است.
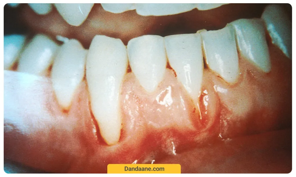
عوارض تحلیل رفتن لثه چیست؟
خطرات تحلیل لثه عبارت اند از:
- التهاب و عفونت لثه: عقب نشینی لثه به می تواند منجر به التهاب و عفونت در لثه ها شود که باعث تورم، خونریزی و درد در منطقه لثه همراه می شود.
- ایجاد حفره و فاصله بین لثه و دندان: در صورت عدم درمان عقب نشینی لثه، ممکن است حفره هایی بین دندان ها و لثه ها ایجاد شود که می تواند به مشکلات دندانی منجر شود.
- پوسیدگی ریشه دندان: پس روی لثه ممکن است منجر به آسیب ریشه دندان ها شود.
- احساس درد و حساسیت در دندان: پس از بالا یا پایین رفتن لثه، دندان ها ممکن است حساسیت به دما یا فشارهای مختلف نشان دهند، که باعث احساس درد می شود.
- لق شدن دندان ها: در موارد خاص، می تواند منجر به لق شدن دندان ها شود.
- تغییر شکل دندان ها: عقب نشینی لثه ممکن است باعث تغییر شکل دندان ها شود و منجر به شکل گیری ظاهری غیرطبیعی در آن ها شود.
- بوی بد دهان: عفونت ها و مشکلات لثه ای ممکن است منجر به بوی بد دهان شوند که می تواند برای فرد و دیگران احساس ناخوشایندی را به همراه آورد.
✨ بیشتر بدانید : لبخند لثه ای چیست و چگونه درمان می شود؟
هر 6 راهکار درمان تحلیل لثه را بشناسید …
در اغلب مواقع نیازی به درمان های تهاجمی خاصی جهت ترمیم و درمان تحلیل لثه ها نیست؛ زیرا با رعایت برخی نکات می توان به خوبی از پس درمان این مشکل بر آمد. زمانی درمان های تهاجمی برای ترمیم عقب نشینی لثه ها مطرح می شود که دندانپزشک تشخیص دهد بیماری پس روی لثه بیش از اندازه شکل گرفته باشد. برخی مواقع احتمال دارد دندانپزشک متخصص ترمیم و زیبایی با تجویز آنتی بیوتیک ها به ترمیم پس روی لثه و نابودی رویش باکتری های مضر دندانی کمک کند.
لازم است تا بدانید اگر دندانپزشک تشخیص دهد جرمگیری عمیق دندان از اثرگذاری کافی برای درمان عقب نشینی لثه برخوردار نباشد و میزان آسیب دیدگی بافت های متشکل لثه دندان بیش از اندازه باشد، جراحی لثه به عنوان راهکار درمانی بعدی مطرح می شود.

1️⃣ آیا جرمگیری دندان برای درمان تحلیل لثه تاثیرگذار است؟
شایان ذکر است که پیشروی پلاک و جرم های دندانی موجب شکل گیری مشکل التهاب لثه (جینجویت) و بیماری پریودنتیت لثه می شوند. این عوامل سهم بسیار زیادی در بالا رفتن و نازک شدن بافت های متشکل لثه دندان ها دارند. جامعه دندانپزشکی اجرای فرآیند جرمگیری دندان را زمانی به عنوان راهکاری برای درمان تحلیل لثه مطرح می کنند که سطح تجمع، تقویت و گسترش پلاک های دندانی زیاد نباشد. عدم تهاجمی بودن پاکسازی جرم از سطوح دندانی به کمک فرآیند جرمگیری دندان یک فرصت برای پیشگیری از قرارگیری در مسیر تجربه کردن جراحی لثه جهت درمان پس روی بافت های متشکل لثه دندان ها است.

2️⃣ برای تحلیل لثه چه کار کنیم؟
امکان ندارد کسی در جهان دچار بریدگی دست هنگام کار با چاقو نشده باشد؛ بافت های متشکل پوست ناحیه بریده شده با گذر زمان قابل احیا و ترمیم هستند، اما لازم است تا بدانید بافت های متشکل پوست در صورت پس روی و نمایان شدن قسمت های پنهان شده دندان، به تنهایی قادر به بازسازی مجدد جهت رشد و رویش دوباره نیستند. اما ممکن است برای شما سوال شود که اگر پیشرفت مشکل عقب نشینی لثه در حد جدی شکل نگیرد، درمان لثه تحلیل رفته بدون جراحی چیست؟
دندانپزشک با تجویز تعدادی از آنتی بیوتیک های موضعی، اجرای اصلاح مشکلات دهانی با کمک تجهیزات ارتودنسی دندان یا باندینگ گذاری (نصب روکش دندانی) قادر است برای ترمیم لثه های تحلیل رفته اقدامات درمانی مفیدی را انجام دهد. دندانپزشک ترمیمی ممکن است جهت پوشاندن ریشه دندان هایی که لثه روی آن ها بالا رفته است از پوشش هایی کامپوزیتی استفاده کند.

پرسلین یا کامپوزیت صورتی رنگ یکی دیگر از راهکارهای درمانی پزشکی برای درمان این مشکل است. این دو ماده به مظنور پر کردن بخشی هایی از لثه است که بافت کافی ندارد. از قصد رنگ کامپوزیت و پرسلین را صورتی و همر رنگ لثه انتخاب میکنند تا کسی متوجه ظاهر لثه در لبخند نشود.
احتمالا تاکنون نام ونیر دندان را شنیدید؛ ونیر ها همان روکش های دندان هستند که روی دندان ها قرار می گیرند و عیوب آن ها را ترمیم و پنهان می کنند. ونیر لثه هم همان روکش لثه است که یک راه حل درمانی و ترمیمی شایع برای افرادی است که با پس روی لثه در حال دست و پنجه نرم کردن هستند.
3️⃣ دهانشویه برای تحلیل لثه
شستشوی فضای دهان با محلول های شوینده مخصوص کاهش التهاب لثه در درمان لثه های دچار عقب نشینی تاثیرگذار است اما به عنوان یک راهکار دائمی توسط جامعه دندانپزشکی مورد تایید نمی باشد. ترکیبات دهانشویه مخصوص التهاب لثه باعث جلوگیری از فعالیت باکتری های مضر لثوی و دندانی می شود و در حفظ سلامت فضای دهان بسیار موثر است. فراموش نکنید که اگر افراد در مسیر نزدیک شدن به بیماری عقب نشینی لثه باشند و قبل از شکل گیری پس روی لثه تشخیص دهند که بیماری التهاب لثه (ژنژیویت) شکل گرفته است، می توانند با دهانشویه مخصوص التهاب لثه به راحتی این مشکل دهانی را درمان کنند.

4️⃣ ارتودنسی دندان
بعضی اوقات ممکن است که دندان های کج و یا هر مشکل دیگری در رابطه با تراز بودن آن ها باعث دشواری در تمیز کردن و مسواک زدن شود، در این حالت باید دندان ها را با کمک ارتودنسی دندان صاف و منظم کرد تا بتوان هم دندان ها را بهتر تمیز کرد و هم اینکه ظاهری طبیعی به لثه ها و لبخند بخشید. همانطور که دندان ها صاف تر می شوند، خطر لثه و حواشی آن نیز در موقعیت بهتری قرار می گیرند و مشکل عقب نشینی لثه ها برطرف می شود.
5️⃣ جراحی تحلیل لثه
در موارد بسیار شدید که به طور جدی ریشه دندان نمایان می شود و لثه حسابی عقب نشینی می کند، احتمالا نیاز به عمل جراحی لثه خواهیم داشت:
- اجرای جرمگیری دندان و پرکردن ریشه فلپ: این جراحی با ایجاد یک برش کوچک در ناحیه ای از بافت های متشکل لثه برای استخراج و تخلیه پلاک های دندانی صورت می گیرد. پس از نابودی فعالیت باکتری های مضر دندانی ناحیه تجمع پلاک و ضدعفونی کردن ناحیه هدف، بافت های متشکل ریشه فلپ مجددا به محل ابتدایی بازگردانی می شوند. در انتها دندانپزشک معالج با اجرای فرآیند بخیه زدن، ناحیه برش خورده را می بندد.
- انجام فرآیند بازسازی ساختار استخوان فکی: اگر آسیب دیدگی به قدری شدید باشد که ساختار استخوان فکی قادر به نگه داشتن دندان ناشی از پس روی لثه نباشد.
- اجرای عملیات پیوند بافت نرم: طی این عمل (جراحی لثه) جراح دهان و دندان از سایر بخش های دهان (معمولا سقف دهان) پیوند بافتی بر میدارد و به لثه ها متصل می کند تا بتواند ریشه دندان را پوشش دهد و کمک کند که به حالت طبیعی سابق برگردند.
- جراحی تحلیل لثه با لیزر: دندانپزشک به کمک لیزر، امواجی را برای نابودی بافت های ناسالم به سمت لثه های مورد هدف می تاباند. باید بدانید که دندانپزشک با اجرای این کار، باعث نابودسازی باکتری و آلودگی های مضر دندانی موجود در حفره های قسمت تحتانی خط لثه می شود.
لازم است بدانید که اجرای جراحی پس روی لثه با استفاده از امواج لیزر نسبت به سایر روش های مطرح جراحی از خونریزی بسیار کمتری برخوردار است. همچنین طول مدت زمان دوران نقاهت بعد از این جراحی کمتر از سایر روش های جراحی است. محدوده تجربه کردن عفونت لثه در جراحی عقب نشینی لثه با کمک لیزر در مقایسه با سایر روش ها کوچک تر است.
6️⃣ ژل تحلیل لثه
حضور اسید هیالورونیک در ترکیبات ژل تحلیل لثه باعث کاهش احساس ناراحتی لثه های بسیار آسیب دیده در یک چشم بهم زن می شود. اسید هیالونیک قادر است بافت های متشکل لثه را که دچار صدمه دیدگی هستند، ترمیم نماید. جامعه دندانپزشک ترمیمی، زمان استفاده از این ژل را موقعی الزامی می دانند که بیماری های ژینژیویت و پریودنتیت لثه یا پس روی بافت های آن پیشرفت کرده اند و باعث ایجاد اختلال در کیفیت زندگی شده اند.
زمانی که عقب نشینی بافت های متشکل لثه صورت گیرد، قدرت چسبندگی سلول های متشکل لایه های لثه دندان بسیار کاهش می یابد و باعث جداسازی آن ها از یکدیگر می شود. ژل مذکور قادر است که به عدم جداسازی بیشتر و بسته شدن لایه های متشکل لثه بعد از پس روی کمک بسزایی نماید. همچنین این ژل قادر است که تسکین درد ناشی از متلهب شدن لثه را در فرآیند عقب نشینی لثه هدیه دهد.
7️⃣ داروی درمان تحلیل لثه چیست؟
اگر شدت باکتری های موجود در ریشه دندان بسیار زیاد باشد، دندانپزشک با تجویز داروهای ضد باکتریایی (آنتی بیوتیک) درمان این مشکل را انجام خواهد داد. یکی از دیگر داروهای مفید برای درمان تحلیل لثه، ژل دهانی حاوی اسید هیالورونیک است که علاوه بر بهبود وضعیت لثه، باعث کاهش درد نیز میشود.

8️⃣ جلوگیری از تحلیل لثه با طب سنتی
اگر به دنبال جلوگیری از تحلیل لثه با طب سنتی هستید، دستورالعمل های گیاهی بخش ذیل را مطالعه نمایید:
- روغن درخت چای: چندین قطره از روغن درخت چای را با مقداری آب ترکیب نمایید و سپس محلول نهایی را غرغره کنید تا نابودی باکتری های مضر دهانی صورت گیرد و مدیریت بهتر درمان عفونت لثه شکل گیرد.
- گیاه میخک: کافی است 1 مرتبه در طول روز، چند قطره از روغن میخک یا پودر آن را روی نُک انگشتتان بریزید و ماساژ دندان لثه های مورد نظر را شروع کنید تا بتوان سطح التهاب شکل گرفته را کاهش داد و باکتری های مضر دهانی را نابود کرد.
- روغن کنجد: در ساعات ابتدایی روز کافی است به مدت حداکثر 10 دقیقه روغن کنجد را در فضای دهان بچرخانید تا تقویت بافت های متشکل لثه صورت گیرد و جرم های دهانی کاهش یابد.
- ژل آلوئه ورا: 2 مرتبه در طول روز، ژل آلوئه ورا را به مدت چند دقیقه بر روی لثه ها قرار دهید و سپس فضای دهان را بشورید تا از خواص کاهش دهنده التهاب، تسکین دهنده احساس درد و ترمیم کننده بافت های آسیب دیده استفاده کنید.
- روغن اوکالیپتوس: چندین قطره از روغن اوکالیپتوس با با تقریبا 1 قاشق غذاخوری روغن زیتون ترکیب کنید و حداکثر 3 مرتبه در طول ایام هفته برای ماساژ دادن لثه های مد نظر استفاده کنید تا بتوانید از خواص ضد عفونی کننده و کم کننده سطح التهاب لثه بهره مند شوید.
- گیاه مریم گلی: کافی است اجازه دهید که دمنوش مریم گلی بعد از دم کردن کمی خنک شود و سپس 2 مرتبه در طول روز به عنوان دهانشویه استفاده کنید تا مانند نوعی کمک کننده ترمیم بافت های آسیب دیده لثه عمل نماید و التهاب شکل گرفته را کاهش دهد.
8️⃣ درمان خانگی تحلیل لثه چگونه است؟
آیا به دنبال درمان لثه تحلیل رفته بدون جراحی هستید؟ بهترین روشهای درمان خانگی برای بهبود این مشکل به شرح زیر است:
- درمان تحلیل لثه با زردچوبه: زردچوبه شامل کورکومین است که دارای ویژگی های ضد التهابی و آنتی اکسیدانی است. استفاده از ژل زردچوبه به کاهش التهاب و پلاک لثه کمک می کند.
- درمان تحلیل لثه با نارگیل: روغن نارگیل برای مبارزه با بیماری های لثه و باکتریهای دندانی بسیار مفید است.
- درمان تحلیل لثه با عسل: عسل به جلوگیری از تجمع باکتری ها در لثه، که یک عامل مهم در عقب نشینی آن می باشد، کمک می کند.
- درمان عقب نشینی لثه با دهانشویه: استفاده از دهانشویه برای پس روی لثه یکی از روش های موثر در درمان این عارضه است. بهترین نوع دهانشویه برای بهبود عقب نشینی لثه حاوی پراکسید هیدروژن است. این دهانشویه با شستشوی دهان و دندان، از رشد باکتری هایی که می توانند باعث بیماری های لثه و پس روی آن شوند، جلوگیری می نماید.
چگونه از تحلیل لثه جلوگیری کنیم؟ (9 روش تاثیرگذار)
بهترین راهکار جهت پیشگیری از شکل گیری مشکل عقب نشینی لثه اجرای دستورالعمل های بهداشتی دهان و دندان است. همچنین مراجعه به مطب دندانپزشکی در طول سال برای بررسی وضعیت سلامت دندان و دهان بسیار حائز اهمیت می باشد. اگر به طور مظنم به یک دندانپزشک مراجعه کنید، توصیه های لازم جهت ارتقاء بهداشت دهان و دندان را یاد خواهید گرفت و هم اینکه از بروز هر مشکلی در رابطه با دندان پیشگیری خواهید کرد. برای پیشگیری از بروز عقب نشینی لثه ها، اجرای راهکارهای درمانی بخش ذیل را در روتین زندگی قرار دهید:
- حداقل 2 بار در طول روز مسواک بزنید.
- از مسواک نرم و استاندارد برای پاکسازی سطوح دندانی و لثه استفاده کنید.
- خواستار آموزش نحوه صحیح مسواک زدن از دندانپزشک شوید.
- آرام مسواک بزنید تا آسیبی به بافت های متشکل لثه وارد نشود.
- حداقل 1 بار از نخ دندان در طول روز برای خارج کردن ذرات باقی مانده در فواصل بین دندانی استفاده کنید.
- 2 بار در طول سال برای ارزیابی وضعیت سلامت دندان و لثه به دندانپزشک مراجعه کنید؛ برای افرادی که با مشکل عقب نشینی لثه ها در حال دست و پنجه نرم کردن هستند باید تعداد دفعات مراجعه افزایش یابد.
- برنامه تغذیه ای سالم و مغذی را وارد روتین زندگی کنید.
- اگر دندان قروچه دارید به دنبال راهکارهای درمانی باشید.
- اگر ناهنجاری های دهانی و دندانی دارید، به دنبال راهکارهای درمانی باشید.
آیا تحلیل لثه خطرناک است؟
بدون تردید و شک، عدم توجه به درمان عقب نشینی لثه ها نهایتا منجر به قرارگیری افراد در مسیر تجربه کردن مشکلات بسیار جدی تر دهانی به مرور زمان خواهد شد. بی توجهی به درمان تحلیل لثه منجر به شکل گیری نابودی ساختارهای استخوان فکین فوقانی یا تحتانی، کاهش استحکام بین دندان و لثی برای بروز لق شدگی دندان ها، احساس شل شدگی بافت های متشکل لثه و دندان یا حتی بروز بیماری های قبلی و عروقی می شود.

تحلیل لثه از چه سنی شروع میشود؟
بیماری عقب نشینی لثه از محدودیت سنی برخوردار نمی باشد و قادر است که تمام گروه های سنی مختلف را درگیر کند. البته باید بدانید که آمار شکل گیری این بیماری لثوی در افراد 65+ بیشتر است. لازم است تا بدانید افرادی که در حال دست و پنجه نرم کردن با بیماری پریودنتال لثه هستند، بیشتر مستعد تجربه کردن عقب نشینی بافت های متشکل لثه می باشند.
برای تحلیل لثه پیش چه دکتری باید رفت؟
برای درمان عقب نشینی بافت های متشکل لثه باید نزد دندانپزشک متخصص لثه مراجعه نمود. پریودنتیست از تخصص بالا و تجربه کافی برای درمان بیماری های لثه برخوردار است. جامعه پریودنتیست ها قادر هستند هر مشکل و بیماری مرتبط با لثه و استخوان فک را شناسایی کنند و بهترین راهکار درمانی را ارائه دهند.
پاسخ به سوالات رایج عقب نشینی لثه ها
عدم رعایت بهداشت دهان، بالا رفتن سن، استعمال دخانیات، مصرف الکل، عوامل ژنتیکی، دیابت و سایر بیماری های مزمن مشابه.
پس روی لثه تحت عوامل تاثیرگذار متعددی صورت می گیرد. درمان پس روی بافت های متشکل لثه به جلوگیری از شدید شدن عقب نشینی بافت های متشکل لثه اطراف دندان کمک بسزایی می کند.
تعهد کافی به اجرای دستورالعمل های بهداشت دهان نظیر روزی 3 بار مسواک زدن و حداقل 1 بار نخ دندان کشیدن در روز، ممنوعیت دائمی استعمال دخانیات، داشتن برنامه غذایی مغذی مناسب و توجه بالا به انجام ویزیت های دوره ای دندانپزشکی.
پس روی لثه به دلیل داشتن بافتی غیر قابل احیا، برگشت پذیر نیست.