تقریبا این روزها همه می دانند که سیگار کشیدن کار درستی نیست. خیلی از ما می دانیم که دود سیگار چه تاثیری روی سلامتی کلی ما می گذارد. اما اولین و قابل مشاهده ترین تاثیر سیگار بر دندان ها دود خروجی استعمال شده از سیگار است؛ چراکه ابتدا با دندان ها تماس پیدا می کند و سپس وارد سایر بخش های بدن می شود. به دلیل اهمیت این موضوع، اجازه دهید این مقاله را درباره تاثیر سیگار بر دندان صحبت کنیم و اطلاعاتی در این زمینه ارائه دهیم.
تاثیر سیگار بر دندان چیست؟ (19 تا از محتمل ترین اثرگذاری های منفی)
اکثر مردم اکنون می دانند که سیگار کشیدن برای سلامتی آنها بد است. سیگار و سموم بیشمار موجود در دود آن می تواند باعث بروز و شکل گیری بسیاری از مشکلات پزشکی و در برخی موارد حتی بروز بیماری های کشنده مثل سرطان ریه شود. با این حال، بسیاری از مردم صدمه ای که سیگار کشیدن به دهان، لثه ها و دندان هایشان وارد می کند را درک نمی کنند. تاثیر سیگار بر دندان ها بسیار مضر و قابل توجه است. استعمال دخانیات و مخصوصا سیگار می تواند منجر به بروز مشکلات زیر شود:
- رنگ گرفتن و لکه پذیری دندان؛
- بیماری لثه؛
- عفونت لثه؛
- تحلیل لثه؛
- بروز تیرگی لثه دندان ها؛
- مرگ و افتادن دندان؛
- افزایش تشکیل پلاک و تارتار دندان؛
- پوسیدگی دندان؛
- ضعیف شدن اتصال دندان به لثه و لق شدن آن ها؛
- بوی بد دهان؛
- خشک شدن محیط دهان؛
- مشاهده شکل گیری آفت های دهانی (به صورت مکرر)؛
- به عقب انداخت زمان طبیعی ترمیم زخم های دهانی؛
- زخم های دهانی؛
- بروز اختلال در احساس چشایی؛
- بروز اختلال در احساس بویایی؛
- در موارد شدیدتر سرطان دهان؛
- تضعیف ساختار متشکل استخوان فک های بالا و پایین؛
- کم شدن احتمال دستیابی به موفقیت عملیات های درمانی مشکلات دندانی و دهانی؛
🦷 رایج ترین تاثیر سیگار بر دندان در یک نگاه
| 🚬 تاثیر سیگار | 📝 توضیح متخصر | 💯 عوارض طولانی مدت |
|---|---|---|
| ایجاد تغییرات رنگی در سطوح دندانی | نشست لکه های رنگی بر روی لایه های متشکل مینای دندان | – زرد شدن دائمی سطوح دندان – ایجاد جلوه بصری نازیبا در حین مشاهده طرح لبخند |
| خشکی فضای دهان | کم کردن سطح رطوبت دهان | – قرارگیری دندان ها در محدوده تجربه کردن پوسیدگی – تاثیرگذار در شکل گیری التهاب لثه |
| بوی ناخوشایند دهان | تضعیف عملکرد بزاق دهان و کمک به رویش بهتر باکتری های بی هوازی در فضای دهان | – ماندگاری بوی نامطلوب در داخل دهان – اختلال در برقراری تعاملات اجتماعی |
| پوسیدگی دندان ها | تجمع آلودگی های مضر دهانی | – ایجاد سوراخ در لایه های متشکل مینای دندان – تضعیف و تخریب ساختار بافت های متشکل مینای دندان |
| بیماری لثه | تاثیرگذار بر کاهش جریان خون در لثه ها و کمک کننده به تضعیف سطح ایمنی آن ها | – پس روی لثه – نابودی حتمی دندان |
| تضعیف سرعت التیام زخم های دهانی | کاهش سطح اکسیژن ارسالی به بافت های متشکل دهانی | – کُند شدن سرعت پروسه بهبودی پس از اجرای عملیات های درمانی مشکلات دندانی |
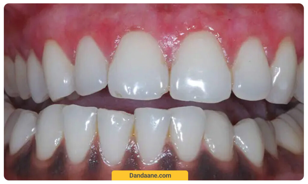
1️⃣ تغییر رنگ و زرد شدن دندان ها
مهم ترین تاثیر سیگار بر دندان ها، کمک به تغییر رنگ و لکه پذیری در آن ها است. دود سیگار و یا کلا دود تنباکو حاوی نیکوتین و تار است. این دو می توانند باعث تغییر رنگ هر سطحی شوند. آن ها قادرند ظرف مدت کوتاهی باعث زرد شدن دندان ها شوند. معمولا افرادی که اصصطلاحا به آن ها هووی سموکر (کسانی که خیلی سیگار میکشند)، بیشتر از زرد شدن دندان شکایت می کنند.

دندان های این افراد بعد از سال ها از زرد رنگ بودن به قهوه ای تغییر رنگ می دهند. و حتی اگر به ریش و سبیل آن ها توجه کرده باشید رنگ جالب و قابل توجهی رویشان را گرفته است. تاثیر سیگار روی افرای که استعمال سنگین دارند به مراتب بدتر از کسانیست که هرازچندگاهی به آن لب میزنند.
2️⃣ تاثیر سیگار بر لثه
سیگار کشیدن همچنین می تواند منجر به بیماری لثه شود. افرادی که سیگار می کشند بیشتر از هر شخص دیگری شاهد شکل گیری پلاک دندان خواهند بود. روی دندان های همه ما در حالت عادی روزانه پلاک تشکیل می شود که اگر مسواک نزنیم و یا اینکه بهداشت دهان و دندان را رعایت نکنیم در مجموع پلاک سفت و سخت میشود و بیماری لثه شکل می گیرد. این موضوع در خصوص افراد سیگاری خیلی جدی تر است. زیرا سیگار می تواند روند شکل گیری پلاک دندان را افزایش دهد. افراد سیگاری حتی اگر به طور منظم مسواک بزنند باز هم از تاثیرات منفی پلاک نجات پیدا نمی کنند. مگر اینکه کلا سیگار را ترک کنند. هر چه پلاک دندان هم بیشتر شود، لثه بیشتر دچار التهاب و عفونت خواهد شد.

جالب اینجا است که افراد سیگاری شاید الان متوجه عوارض تشکیل پلاک و بیماری لثه نشوند. اما به مرور زمان که سنشان بالا می رود، خیلی زودتر از افراد معمولی دچار ریزش دندان می شوند. در این صورت باید به فکر جایگزین کردن دندان با درمان هایی مانند ایمپلنت ، پل دندانی، پروتز (دندان مصنوعی) و .. باشند.
🦷 بیشتر بخوانید: ایمپلنت دندان چگونه است؟
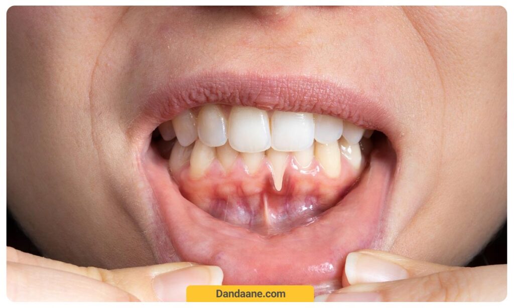
3️⃣ تاثیر سیگار بر خشکی دهان
از اصلی ترین تاثیر سیگار بر دندان ها می توان به کاهش رطوبت دهان برای محافظت از سطوح دندانی با شستشوی فضای دهان از طریق بزاق اشاره کرد. باید بدانید که گرمای ورودی و دود خروجی استعمال سیگار باعث ایجاد اختلال در عملکرد طبیعی بزاق دهان می شود. نیکوتین انتقال یافته از استعمال دخانیات باعث تضعیف جریان خون ارسالی به غدد بزاق دهان خواهد شد. با ضعیف شدن عملکرد بزاق، خشکی دهان در حال شکل گیری است؛ عدم توانایی لازم برای پاکیزه نمودن و نابودسازی باکتری های مضر دهانی جهت ایجاد یک محیط ایمن برای دندان ها.

رطوب ناکافی دهان باعث گسترده کردن محدوده قرارگیری افراد برای تجربه کردن پوسیدگی دندان و مشاهده التهاب لثه می شود. ترکیبات شیمیایی متشکل دود دخانیات، نوعی محرک برای تحریک پذیری غشاهای دهان است. سیگار با ایجاد اختلال در تعادل فعالیت های باکتری های مفید و مضر دهانی، باعث خروج بوی نامطلوب از دهان خواهد شد.
4️⃣ سیگار و پوسیدگی دندان ها
بافت های متشکل مینای دندان برای جلوگیری از عوامل تضعیف کننده نیازمند جریان خون منظم و مناسب هستند؛ گرما و دود ناشی از استعمال دخاینات در ارسال جریان خون نامناسب و ناکافی به لثه و دندان ها تاثیرگذار می باشند. همچنین شکل گیری خشکی دهان ناشی از استعمال دخانیات در افزایش فعالیت های باکتری های مضر دهانی و ترکیبات اسیدهای دستگاه گوارش بسیار تاثیرگذار است.

زمانی که فضای دهان تبدیل به یک محیط امن برای رشد و رویش بهتر باکتری های مضر دهانی شود، دندان ها بیشتر در معرض پوسیدگی قرار خواهند گرفت. همچنین استعمال دخانیات در تشدید التهاب لثه بسیار تاثیرگذار است. باید بدانید که دخانیات مسیر ورود باکتری های مضر دهانی را به ریشه دندان ها هموار می کند.
5️⃣ کاهش سرعت التیام زخم های دهانی
بافت های آسیب دیده دهانی برای التیام و ترمیم نیازمند دریافت اکسیژن هستند و دخانیات مانعی برای قرارگیری اکسیژن کافی در جریان خون ارسالی به سمت زخم های دهانی است. در صورت دریافت ناکافی اکسیژن توسط سلول های صدمه دیده زخم های دهانی، سرعت پروسه درمان کُند می شود.

ترکیبات سمی داخل دود استعمال شده از دخانیات در عملکرد طبیعی سیستم ایمنی بدن و کارکرد سلول های ترمیمی برای التیام بافت های دچار آسیب دیدگی اختلال ایجاد می کنند. شایان ذکر است که خشکی دهان ناشی از استعمال دخانیات باعث افزایش تجمع باکتری های مضر و بیشتر شدن فعالیت های آن ها در مناطق دچار آسیب دیدگی دهان خواهد شد.
❌ تاثیرات نسبتا رایج سیگار بر دندان در یک نگاه
| 🚬 تاثیر سیگار | 📝 توضیح متخصر | 💯 عوارض طولانی مدت |
|---|---|---|
| تحلیل لثه | عقب نشینی لایه های متشکل لثه برای به نمایش گذاشتن ریشه واحدهای دندانی | – فعال شدن واکنش های حساسیتی دندان ها – گسترده شدن محدوده قرارگیری دندان در پوسیده شدن ریشه های اعصاب آن |
| مشاهده تیرگی بافت های متشکل لثه | جمع شدن بیش از اندازه رنگدانه های ملانین در بافت های داخلی متشکل لثه دندان | – فاصله گرفتن از رنگ طبیعی قرمز یا صورتی لثه – ایجاد ظاهری نامطلوب |
| لقی دندان | آسیب دیدگی ساختار استخوانی و تضعیف ثبات قرارگیری دندان در موقعیت مکانی | – مشاهده افتادن دندان – از دست دادن دندان |
| دور شدن از نتایج موفقیت آمیز فرآیندهای درمانی مشکلات دندانی | تضعیف بافت های متشکل دندانی و استخوانی برای پذیرش عملیات های ترمیمی و بهبود جوش خوردن | – عدم دستیابی به پیروزی درمان – نیازمند اجرای مجدد فرآیندهای درمانی |
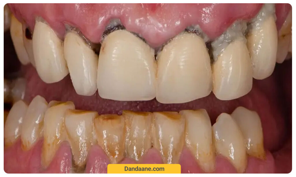
1️⃣ پس روی لثه
با شایع ترین تاثیر سیگار بر دندان آشنا شوید؛ تحلیل لثه. فرآیند منقبض شدن رگ های خونی متشکل لثه برای دریافت مواد تغذیه ای مورد نیاز، با نیکوتین ناشی از استعمال دخانیات، دارای ارتباطی مستقیم است. همچنین لازم به ذکر است که دود و گرمای منتشر شده از استعال دخانیات در کاهش سرعت جریان خون مورد نیاز استخوان فکین، دندان ها و لثه تاثیرگذار می باشد.

اگر اکسیژن ارسالی و مواد تغذیه ای منتقل شده از سوی خون پمپاژ شده دهلیز چپ قلب از حد مورد نیاز کمتر شود، سطح مقاومت بافت های متشکل لثه و فرآیند ترمیم آن ها برای جبران صدمات وارد شده کاهش می یابد. همچنین لازم است که بدانید دخانیات علاوه بر اینکه مقاومت سیستم ایمنی بدن را کاهش می دهد، باعث کمک به رشد و رویش باکتری های مضر و بی هوازی دهان خواهد شد. پکیج مذکور باعث شکل گیری فرآیند تحلیل یا پس روی لثه ها خواهد شد. ریشه دندان ها با پس روی لثه ها به نمایش گذاشته خواهد شد.
2️⃣ مشاهده تیرگی بافت های متشکل لثه
محتمل ترین نشانه تاثیر سیگار بر دندان یعنی مشاهده تیره شدن بافت های متشکل لثه. باید بدانید که قیر دریافتی و نیکوتین استعمال شده از دود دخانیات، مانند محرکی برای افزایش شکل گیری رنگدانه های ملانین در سلول های متشکل لثه دندان ها عمل می کند. بالا رفتن سطح ملانین در سلول های متشکل لثه دندان ها به معنای بروز تیرگی یا شکل گیری لکه های رنگی بر روی بافت های متشکل آن ها است. نواحی قدامی لثه دندان ها بیشتر در معرض شکل گیری این عارضه هستند.

شایان ذکر است که با کم شدن سطح اکسیژن موجود در خون ارسالی به لثه ها، در افزایش قدرت تیرگی بافت های متشکل لثه موثر است. باید بدانید که این نشست لکه های رنگی بر روی بافت های متشکل لثه دائمی می باشد. راهکارهای درمانی تیرگی بافت های متشکل لثه در چنین شرایطی تنها ممنوعیت دائمی استعمال دخانیات و اجرای فرآیندهای ترمیمی زیبایی لثه است.
3️⃣ دور شدن از نتایج موفقیت آمیز فرآیندهای درمانی مشکلات دندانی
باید بدانید که استعمال دخانیات باعث افزایش مدت زمان مورد نیاز برای ترمیم بافت های صدمه دیده دندان است. استعمال دخانیات مانعی برای رسیدن به نتایج موفقیت آمیز عملیات های ترمیمی و زیبایی مشکلات دندانی می باشد. ترمیم دندان های آسیب دیده نیازمند دریافت جریان خون مناسب است؛ گرما و دود ناشی از استعمال دخانیات باعث کاهش گردش خون شده و اجازه ارسال مواد مغزی مناسب به واحدهای دندانی جهت ترمیم نمی دهد. با قرارگیری در محدوده تضعیف سیستم ایمنی بدن، احتمال شکل گیری عفونت بعد از درمان بالا می رود.
⚠️ نادرترین تاثیر سیگار بر دندان در یک نگاه
| 🚬 تاثیر سیگار | 📝 توضیح متخصر | 💯 عوارض طولانی مدت |
|---|---|---|
| شکل گیری مکرر زخم های دهانی | بروز اختلالات مداوم در تضعیف عملکرد مخاط دهان | – تجربه کردن احساس درد – بالا رفتن احتمال شکل گیری عفونت های ثانویه |
| تجربه کردن طمع و مزه فلزی در فضای دهان | برقراری پُلی برای شکل گیری ارتباط مستقیم با مواد متشکل ترکیبات موثر بر شکل گیری شرطان | – تجربه کردن احساسی ناخوشایند و نامطلوب به صورت دراز مدت در فضای دهان |
| بالا رفتن احتمال شکل گیری سرطان های دهان و گلو | تضعیف شدید کارکرد بزاق دهان و شکل گیری اختلال در گیرنده های سطح زبان برای ارسال مزه و طمع | – مشاهده ضایعات دهانی – موثر بر شکل گیری تومورهای بدخیم دهانی |
| ضعیف شدن ساختار استخوان فکین فوقانی و تحتانی | پایین آمدن سطح مواد معدنی موجود در فکین و نزدیک شدن به عدم داشتن تراکم استخوانی مناسب در فک ها | – تضعیف اتصال واحدهای دندانی و لق شدن آن ها – دشوار شدن فرآیند کاشت پروتز ثابت دندانی ایمپلنت |
| بالا رفتن احتمال شکل گیری عفونت ایمپلنت دندان | موثر بر تضعیف عملکرد سیستم ایمنی بدن و ایجاد اختلال در عملیات ترمیم استخوان | – شکل گیری التهاب دراز مدت مزمن – شکستگی ایمپلنت دندان |
1️⃣ کشیدن سیگار منجر به سرطان می شود
شاید شما فقط به فکر تاثیر سیگار بر دندان باشید، اما تاثیرات گسترده تر از این حرف ها است. سیگار از زبان و لثه گرفته تا گلو و ریه را میتواند به راحتی درگیر سرطان کند. شاید بسیاری از مردم هنوز هم نمیدانند که با کشیدن سیگار میتوانند به سرطان دهان مبتلا شوند.

برآوردها نشان میدهد که سالانه هزاران نفر تنها بر اثر سرطان دهان ناشی از استعمال سیگار جان خود را از دست میدهند. بنابراین زمانی که از عوارض و تاثیر سیگار بر دندان صحبت میکنیم تنها گوشه ای از عوارض و دردسرهای سیگار کشیدن را نشان میدهیم این درحالی است که عوارض به مراتب می توانند بدتر باشند.
2️⃣ تجربه کردن طمع و مزه فلزی در فضای دهان
نیکل و کادیم، 2 مورد از فلزات سنگین متشکل دود ناشی از استعمال دخانیات (به ویژه سیگار) است. شکل گیری فرآیند رسوب روی سطوح زبان و مخاط دهان با استعمال سیگار امکان پذیر است. باید بدانید که این فلزات سنیگن قادر به ایجاد اختلال در تعادل شیمیایی میان غدد بزاق و گیرنده جوانه های چشایی است.

آیا می دانید که استعمال سیگار یعنی تشدید احساس کردن مزه فلزی دهان؟ چراکه کاهش عملکرد غدد بزاق و کم شدن سطح رطوبت دهان ناشی از استعمال سیگار در این موضوع بسیار تاثیرگذار است. در صورت آسیب دیدگی گیرنده های چشایی، جوانه های دریافت طمع حس چشایی قادر به درک صحیحی از مزه دهان نشده و طمع فلزی را بیشتر احساس می کنند.
3️⃣ ضعیف شدن ساختار استخوان فکین فوقانی و تحتانی
تضعیف ساختار استخوان فکین بالا و پایین جزو منفی ترین تاثیر سیگار بر دندان در طولانی مدت است. ماده شیمیایی نیکوتین و انواع مواد سمی متشکل دود دخانیات قادر به کاهش میزان جریان خون مورد نیاز لثه دندان و استخوان فکین فوقانی و تحتانی هستند. سلول های متشکل ساختار استخوان های فکین، از خون پمپاژ شده دهلیز چپ قلب مواد تغذیه ای مورد نیاز را برای تامین نیازهای خود و التیام بافت های صدمه دیده استفاده می کنند.

با کاهش گردش خون لازم، چندین قدم به شکل گیری تراکم استخوانی فکین و پس روی ساختار آن ها نزدیک خواهید شد. اگر ثبات بین دندان و استخوان فکین دچار اختلال شود، فرآیند لق شدن واحدهای دندانی در حال شکل گیری است.
4️⃣ شکل گیری مکرر زخم های دهانی
از دیگر تاثیر سیگار بر دندان در دراز مدت می توان به تضعیف قدرت بافت های دهانی برای مقابله با آلودگی های موثر بر شکل گیری زخم های دهانی مانند آفت اشاره کرد؛ چراکه ترکیبات شیمیایی متشکل دود دخانیات به نوعی محرک برای افزایش تحریک پذیری مداوم بافت های دهانی عمل می کند. با کاهش مقاومت بافت های دهانی، پروسه التیام زخم ها دچار اختلال شده و نیازمند زمان بیشتری برای بهبودی هستند.

شایان ذکر است که ضعیف شدن سیستم ایمنی بدن و کُند شدن سرعت گردش جریان خون ناشی از استعمال دخانیات، در زمینه سازی شکل گیری مکرر زخم های دهانی بسیار تاثیرگذار است. قرارگیری در چنین شرایطی یعنی افزایش مدت زمان طبیعی روند بهبودی زخم ها و بالا رفتن درصد احتمال شکل گیری عفونت.
دندانپزشکی چطور به افراد سیگاری کمک میکند؟
توصیه همه دندانپزشکان ترک سیگار است اما اگر نمی توانید به این زودی ها سیگار را ترک کنید و یا اینکه اصلا به فکر ترک نیستید نگران نباشید. یک سری محصولات دندانپزشکی وجود دارند که مخصوص افراد سیگاری تولید شده اند. برای مثال ما خمیر دندان هایی داریم که صرفا برای تاثیر بیشتر روی دندان افراد سیگاری ساخته شده اند. این خمیر دندان ها می توانند تاثیر سیگار بر دندان را کاهش دهند.
این خمیر دندان ها قدرت از بین بردن پلاک ها و مو تاثیر سیگار بر دندان را دارند و به عبارتی سایندگی بیشتری دارند. دندانپزشک به افراد سیگاری توصیه میکند که در کنار خمیر دندان های معمولی از این خمیر دندان های مخصوص هم به طور منظم استفاده کنند. علاوه بر این چندین نوع خمیر دندان سفید کننده در بازار وجود دارد که شاید تاثیر کمی روی سفید کردن دندان داشته باشد، اما میتوانید برای خلاص شدن از زرد یا قهوه ای شدن دندان ها در کنار روش های دیگر استفاده کنید.
افراد سیگاری چند وقت یک بار باید به دندانپزشک سر بزنند؟
سیگار کشیدن ریسک ابتلاء به بیماری را افزایش میدهد. اگر بد شانس باشید ممکن است که زمانی متوجه بیماری شوید که دیگر کار از کار گذشته باشد. برای مثال برخی از افرادی که سرطان گلو یا دهان میگیرند زمانی متوجه سرطان میشوند که سرطان به مراحل پیشرفته رسیده و یا درمانش سخت است یا اینکه دیگر امیدی به درمان نیست. زیرا سرطان به سایر بخش های بدن رفته است. اگر سیگاری هستید لطفا پیش از اینکه اوضاع به این مرحله برسد و مضرات آن فراتر از تاثیر سیگار بر دندان شود یا سیگار را ترک کنید یا اینکه به طور منظم به دندانپزشک مراجعه کنید.

زمانی که مرتبا به مطب دندانپزشک بروید بهتر میتوانید بهداشت دهان و دندان خود را کنترل کنید و هم اینکه با کوچکترین علائم بیماری آن را تشخیص داده و به دنبال درمان خواهید رفت.
دندانپزشک برای کسانی که سیگار میکشند چه کاری انجام میدهد؟
اولین کمکی که یک دندانپزشک می تواند به افراد سیگاری بکند این است که با دقت آن ها را ارزیابی کند. اونها به این کار میگن معاینه فیزیکی. یعنی اینکه دهان و دندان، لثه و خلاصه تمام ساختارهای داخل دهان شما را با دقت معاینه می کنند. تا بتواند پی به میزان سلامتی کلی دهان و دندان ببرد.
🦷 بیشتر بخوانید: معرفی انواع تخصص های دندانپزشکی
بعد از اینها، تیم دندانپزشکی زبان و گلو و گونه ها را برای یافتن علائم بیماری و یا آسیب وارسی می کنند تا اگر احیانا تاثیر سیگار بر دندان ، لثه ، زبان و گلو وجود دارد آن را بیابند. در خصوص علائم و آسیب هایی که به دهان و دندان شما رسیده، یک دندانپزشک هرکاری از دستش بر بیاید برای شما انجام میدهد و اگر شما سالها است که سیگار می کشید اما قصد ترک کردن آن را دارید شما را به ارگان ها و مراکزی که می توانند به شما در این زمینه کمک کند میفرستد.
پاسخ به سوالات رایج تاثیر سیگار بر دندان
دندانپزشک عمومی شما ممکن است علاوه بر اینکه خودش در این مورد به شما کمک کند، در بعضی موارد برای کمک بیشتر، شما را به یک متخصص دندانپزشکی ارجاع دهد. برای مثال اگه مشکل لثه پیدا کرده باشید، احتمالا شما را به متخصص پریودنتیست یا همان متخصص لثه ارجاع میدهد. به جز همه اینها، حتما به شما توصیه خواهد کرد که هر سه تا 6 ماه به مطب دندانپزشکی مراجعه کنید. و یا اینکه اگر برایتان مقدور نبود، همان سالی یکبار را به مطبش بروید. تا روی سلامتی دهان و دندان شما نظارت داشته باشد و بیشتر بتواند به شما کمک کند.
همانطور که میدانید افراد سیگاری در مقایسه با افراد معمولی بیشتر به هالیتوز یا بد بو شدن دهان روبرو میشوند و دلیلش همان نیکوتین و تار موجود در دود سیگار است. این افراد باید حتما از دهانشویه ها استفاده کنند. البته تنها کمکی که دهانشویه به این افراد میکند کاهش بوی بد دهان است نه چیز دیگری.