عوارض ارتودنسی یکی از دغدغه های افرادی که قصد انجام درمان ارتودنسی را دارند، می باشد. در ادامه به بررسی عوارض ارتودنسی دندان خواهیم پرداخت؛ پس با ما همراه باشید.
| ردیف | عناوین | توضیحات |
|---|---|---|
| 1️⃣ | آیا ارتودنسی دندان عوارض دارد ؟ | بله به دلیل آن که ساختار دندان و بافت استخوان را تغیر میدهد. |
| 2️⃣ | عوارض ارتودنسی دندان چیست؟ | 1. درد دندان ارتودنسی شده 2. واکنش های آلرژیک 3. ایجاد زخم 4. عفونت لثه و پوسیدگی دندان 5. تحلیل طول ریشه 6. تخریب مینای دندان 7. ایجاد لکه روی دندان و زرد شدن آنها در طول درمان 8. بوی بد دهان در طول ارتودنسی |
| 3️⃣ | معایب ارتودنسی دندان | 1. تغییر ظاهر 2. کشیدن دندان 3. احتمال بازگشت نتایج درمان 4. قیمت بالای ارتودنسی دندان 5. طولانی بودن دوره درمان |
| 4️⃣ | روش های پیشگیری ار عوارض ارتودنسی | 1. رعایت اصول بهداشت دهان و دندان در طول ارتودنسی 2. پیروی از رژیم غذایی بعد از ارتودنسی دندان 3. مراجعات منظم به متخصص ارتودنسی |
آیا ارتودنسی دندان عوارض دارد؟
بله. ارتودنسی فرآیندی تقریبا پیچیده و طولانی مدت است که طی آن تغییراتی در ساختار دندان و بافت استخوان ها ایجاد می شود. بنابراین بروز عوارض در چنین درمانی نمی تواند خیلی دور از انتظار باشد.
خوشبختانه این عوارض تا حدی قابل کنترل هستند؛ اما چگونه؟ در مرحله اول، مهم ترین چیزی که در کاهش شدت بروز عوارض ارتودنسی دندان می تواند موثر باشد، انتخاب یک متخصص ارتودنسی حاذق و مناسب ترین روش درمانی برای بیمار است. در مرحله دوم نیز رعایت مراقبت های حین و بعد از ارتودنسی بسیار حائز اهمیت هستند.
طبق گفته کتابخانه ملی پزشکی مؤسسات ملی بهداشت ایالات متحده امریکا : (منبع)
Orthodontic treatment is associated with a number of adverse effects, such as root resorption, pain, pulpal changes, periodontal disease, and temporomandibular dysfunction (TMD)
درمان ارتودنسی با تعدادی عوارض جانبی مانند تحلیل ریشه، درد، تغییرات پالپ، بیماری پریودنتال و اختلال عملکرد مفصل گیجگاهی فکی (TMD) همراه است.
عوارض بعد از ارتودنسی دندان
از جمله عوارضی که بعد از ارتودنسی دندان ممکن است تجربه کنید عبارتند از:
1. درد دندان ارتودنسی شده
در روزهای اولیه نصب براکت های ارتودنسی، به دلیل عادت نکردن در خصوص وجود براکت ها، ممکن است تجربه درد و ناراحتی داشته باشید. همچنین به دلیل فشاری که براکت ها برای جابجایی دندان ها وارد می کنند، احساس ناراحتی و درد دندان های ارتودنسی شده یک اتفاق طبیعی است.

2. واکنش های آلرژیک
بدن برخی از افراد به لاتکس و نیکل حساس است. در صورت استفاده از الاستیک ها (از جنس پلاستیک) و براکت ها (از جنس فلز)، بدن آنها ممکن است واکنش های آلرژیک نشان دهد. در صورتی که به این مواد آلرژی دارید، در جلسه مشاوره پزشک خود را در جریان بگذارید تا از سایر فلزات و الاستیک های بدون لاتکس استفاده کند.
3. ایجاد زخم
برخی افراد در هنگام نصب براکت های ارتودنسی، در ناحیه لثه و زبان دچار زخم می شوند. البته این مورد بیشتر در افرادی دیده می شود که تحت درمان ارتودنسی پشت دندانی هستند. در صورت استفاده از این نوع براکت ها، زبان به طور مداوم به براکت های فلزی برخورد می کند و دچار زخم می شود.
4. عفونت لثه و پوسیدگی دندان
در حین استفاده از براکت های ارتودنسی، مسواک زدن و نخ دندان کشیدن کمی دشوارتر از حالت معمول است. به همین دلیل متخصصین ارتودنسی توصیه می کنند که در طول درمان ارتودنسی از مسواک بین دندانی در کنار مسواک معمولی استفاده کنید. تا ذرات غذایی که در میان دندان و شکاف های ارتودنسی شما گیر کرده اند، به خوبی از بین بروند تا به مرور زمان بیمار دچار پوسیدگی دندان، ورم لثه یا بیماری های مرتبط با لثه نشود.

5. تحلیل طول ریشه
مکانیزم درمان ارتودنسی بر این اساس است که با تحلیل ریشه و استخوان و بازسازی مجدد آن، دندان حرکت کند و در جای مناسب خود قرار گیرد. در برخی موارد ممکن است بخشی از ریشه دندان نسبت به قبل کوتاه تر شود که همین اتفاق می تواند باعث کاهش طول عمر دندان شود.
6. تخریب مینای دندان
در صورت استفاده از ارتودنسی ثابت و سنتی، فشاری که براکت ها برای جابجایی دندان ها وارد می کنند ممکن است باعث ساییدگی و از بین رفتن مینای دندان شوند.
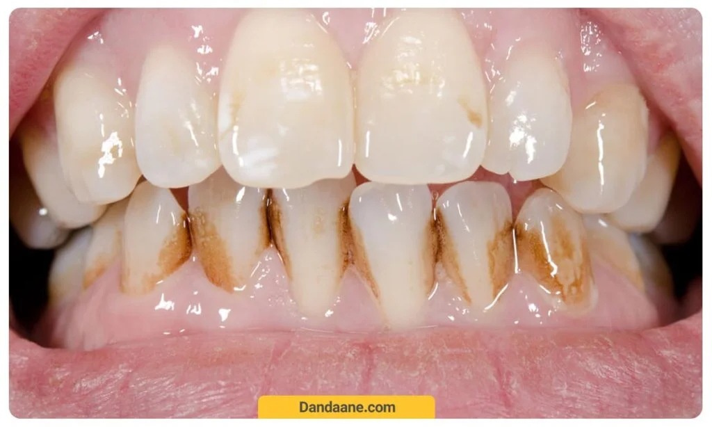
7. ایجاد لکه روی دندان و زرد شدن آنها در طول درمان
اجزای ارتودنسی ثابت دندان، بر روی قسمت هایی از سطح جلویی دندانها چسبانده می شوند و مانع از دسترسی به تمام قسمت های دندان می شوند. همینطور مسواک زدن را برای بیماران دشوار می کنند. در نتیجه برخی قسمت های دندان خوب تمیز نمی شود و شاید باعث زردی آنها شود. اما جاری نگرانی نیست زیرا بعد از پایان درمان ارتودنسی، می توان این مشکل را با بلیچینگ دندان برطرف کرد.

8. بوی بد دهان در طول ارتودنسی
در صورت عدم رعایت بهداشت دهان و دندان در طول درمان ارتودنسی، ممکن است ذرات غذا در بین شکاف های براکت ارتودنسی و همچنین بین دندان ها باقی بمانند. همین امر باعث متصاعد شدن بوی بد دهان می شود.
معایب ارتودنسی دندان
ارتودنسی دندان در کنار مزایای فراوانی که دارد، یک سری معایب نیز دارد که شامل موارد زیر می شود:
1. تغییر ظاهر
برخی از افراد به دلیل اینکه بریس های ارتودنسی ثابت روی سطح جلویی دندان ها قرار می گیرد و توسط سایر افراد قابل تشخیص است، تمایلی برای انجام این کار ندارند. این افراد اصولا از انواع ارتودنسی نامرئی برای درمان ناهنجاری های دندانی خود استفاده می کنند.
2. کشیدن دندان
برخی مواقع به دلیل نبود فضای کافی در فکین، بیش از حد بزرگ بودن دندان ها و … لازم است برای اثربخش شدن درمان ارتودنسی، تعدادی از دندان ها (حتی دندان های سالم) کشیده شوند.

3. احتمال بازگشت نتایج درمان
یکی از نگرانی های اکثر افرادی که تصمیم به ارتودنسی دندان دارند این است که آیا واقعا احتمال بازگشت نتیجه درمان و تغییر فرم دندان ها به همان فرم قبلی وجود دارد؟ در جواب این سوال باید بگوییم بله. اما در صورتی که در انجام مراقبت ها و انتخاب یک ارتودنتیست خوب دقت داشته باشید، احتمال بازگشت نتایج درمان تقریبا به صفر می رسد.
4. قیمت بالای ارتودنسی دندان
قیمت ارتودنسی دندان به نسبت سایر خدمات دندانپزشکی نسبتا بالا است. البته دلیل بالا بودن هزینه ارتودنسی تقریبا توجیه پذیر است. زیرا این درمان زمانبر است و نیاز به تخصص و مهارت و همچنین استفاده از ابزارهای مختلف دارد.

5. طولانی بودن دوره درمان
ارتودنسی یکی از درمان های طولانی مدت است و برای رسیدن به نتیجه دلخواه می بایست صبر و همکاری لازم را با پزشک خود داشته باشید. البته برخی مواقع ممکن است طول دوره درمان ارتودنسی حتی طولانی تر از مدت زمان پیش بینی شده باشد. این اتفاق در اکثر مواقع به دلیل عدم همکاری بیمار با پزشک رخ می دهد. به طور متوسط درمان ارتودنسی حدود 18 الی 24 ماه طول می کشد. البته این مدت زمان به سن بیمار، روش درمانی و شدت ناهنجاری بستگی دارد.
روش های پیشگیری از بروز عوارض ارتودنسی دندان
همان طور که گفتیم بسیاری از مشکلات و عوارض ارتودنسی قابل کنترل و پیشگیری هستند. شما با انجام چند اقدام ساده می توانید احتمال بروز عوارض ارتودنسی دندان را به حداقل برسانید که در این صورت ماندگاری و طول عمر نتایج درمان ارتودنسی نیز طولانی تر خواهد بود. از جمله روش های پیشگیری از عوارض و مشکلات ارتودنسی دندان عبارتند از:
رعایت اصول بهداشت دهان و دندان در طول ارتودنسی
در طول درمان ارتودنسی، رعایت اصول بهداشت دهان و دندان بیش از پیش اهمیت پیدا می کند؛ بنابراین مسواک زدن و نخ دندان کشیدن در این ایام را به هیچ عنوان پشت گوش نیندازید. متخصصین توصیه می کنند که در طول درمان ارتودنسی از مسواک ارتودنسی، مسواک معمولی و دهانشویه حاوی فلوراید استفاده کنید. در صورت رعایت این اصول، از عوارضی مانند بوی بد دهان، پوسیدگی دندان، عفونت لثه و تخریب مینای دندان در طول درمان ارتودنسی در امان خواهید بود.

پیروی از رژیم غذایی بعد از ارتودنسی دندان
اصولا پزشکان توصیه می کنند که در طول درمان ارتودنسی از رژیم غذایی خاصی استفاده کنید و مصرف قند و شیرینی جات را به حداقل ممکن برسانید.
مراجعات منظم به متخصص ارتودنسی
بسته به روش درمانی و نوع براکت استفاده شده، نیاز است که در فواصل زمانی تعیین شده به متخصص ارتودنسی مراجعه کنید تا او به تنظیم براکت ها و همچنین بررسی روند درمان بپردازد.
سوالات متداول عوارض ارتودنسی دندان
درست است که ارتودنسی دندان سن خاصی ندارد اما بهترین سن آن در سن رشد یعنی بین 7 تا 14 سال است که استخوان فک و دندان های کودک هنوز به طور کامل رشد نکرده اند و ساده تر جا به جا می شوند.
در پاسخ به این سوال باید گفته که درد ارتودنسی در روزهای اول کاملا طبیعی است و به دلیل عادت نداشتن فرد به براکت ها و فشارهای ناشی از آنها، ممکن است در هفته های دردهایی را تجربه کنند.
لق شدن دندان بعد از درمان ارتودنسی کاملا طبیعی است اما نگران نباشید زیرا بعد از تمام شدن پروسه درمان و استفاده از نگهدارنده ارتودنسی، دندان ها در جای خود ثابت می شوند.
خیر نوع جنس براکت تاثیری در کاهش عوارض ارتودنسی دندان نخواهد داشت .